You have no items in your shopping cart.
PTPRC Antibody
Description
Images & Validation
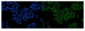
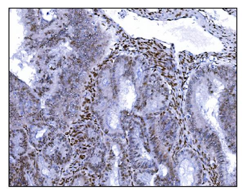
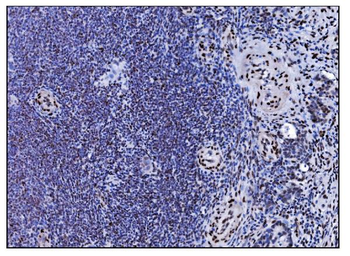
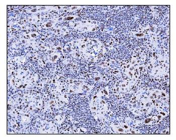
−| Tested Applications | FC, IF, IHC, WB |
|---|---|
| Dilution range | FACS: 0.5-1 μg/million cells, IF/ICC: 1-2 μg/ml, IHC-P: 0.5-1 μg/ml |
| Reactivity | Human |
| Application Notes |
Key Properties
−| Host | Mouse |
|---|---|
| Clonality | Monoclonal |
| Isotype | IgG2a |
| Clone No. | SPM568 |
| Immunogen | Stimulated human leukocytes |
| Target | PTPRC |
| Source/Expression System | HEK293 cells |
| Molecular Weight | 205-220kDa |
| Conjugation | Unconjugated |
Storage & Handling
−| Storage | Maintain refrigerated at 2-8°C for up to 2 weeks. For long term storage store at -20°C in small aliquots to prevent freeze-thaw cycles. |
|---|---|
| Form/Appearance | 200ug/ml of Ab Purified from Bioreactor Concentrate by Protein A/G. Prepared in 10mM PBS with 0.05% rAlbumin & 0.05% azide. Also available WITHOUT rAlbumin & azide at 1.0mg/ml. |
| Disclaimer | For research use only |
Alternative Names
−Similar Products
−DRP1/DNM1L Antibody [orb669172]
ELISA, FC, ICC, IF, IHC, WB
Human, Mouse, Rat
Rabbit
Polyclonal
Unconjugated
100 μgCD45 Monoclonal Antibody [orb688878]
ELISA, FC, IF, IHC, WB
Human
Mouse
Monoclonal
Unconjugated
50 μl, 100 μlCD45 Rabbit Polyclonal Antibody [orb1179]
FC
Mouse, Rat
Human
Rabbit
Polyclonal
Unconjugated
100 μl, 200 μl, 50 μlSerum Response Factor/SRF Antibody [orb763083]
ELISA, FC, ICC, IF, IHC, WB
Human
Rabbit
Polyclonal
Unconjugated
100 μgCD45 Rabbit Polyclonal Antibody [orb312177]
ICC, IF, IHC-Fr, IHC-P, WB
Bovine
Human
Rabbit
Polyclonal
Unconjugated
200 μl, 100 μl, 50 μl

Quality Guarantee
Explore bioreagents carefree to elevate your research. All our products are rigorously tested for performance. If a product does not perform as described on its datasheet, our scientific support team will provide expert troubleshooting, a prompt replacement, or a refund. For full details, please see our Terms & Conditions and Buying Guide. Contact us at support@biorbyt.com.

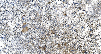
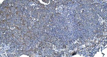
Immunohistochemical staining of human Tonsil tissue using CD45 antibody
Quick Database Links
UniProt Details
−Documents Download
Request a Document
Protocol Information
PTPRC Antibody (orb389226)
Participating in our Biorbyt product reviews program enables you to support fellow scientists by sharing your firsthand experience with our products.
Login to Submit a Review









































