You have no items in your shopping cart.
CTGF Antibody
Description
Images & Validation
−| Tested Applications | IF, IHC, WB |
|---|---|
| Dilution range | Western Blot 1:500-1:1000 Immunofluorescence 1:200–1:300 Immunohistochemistry (Paraffin) 1: 100-1:150 |
| Reactivity | Human, Mouse, Rat |
Key Properties
−| Host | Rabbit |
|---|---|
| Clonality | Polyclonal |
| Isotype | Rabbit-IgG |
| Immunogen | Synthetic peptide / encompassing a sequence within the center region |
| Target | CTGF |
| Conjugation | Unconjugated |
Storage & Handling
−| Storage | Maintain refrigerated at 2-8°C for up to 2 weeks. For long term storage store at -20°C in small aliquots to prevent freeze-thaw cycles. |
|---|---|
| Disclaimer | For research use only |
Similar Products
−CTGF Rabbit Polyclonal Antibody [orb317569]
WB
Canine, Gallus, Human, Porcine, Rabbit
Mouse, Rat
Rabbit
Polyclonal
Unconjugated
100 μl, 200 μl, 50 μlWISP2 Rabbit Polyclonal Antibody [orb4993]
IF, IHC-Fr, IHC-P, WB
Bovine, Mouse, Porcine, Rabbit, Rat, Sheep
Human
Rabbit
Polyclonal
Unconjugated
100 μl, 50 μl, 200 μlConnective Tissue Growth Factor Antibody [orb422483]
ELISA, IF, IHC
Canine, Human
Mouse, Rat
Goat
Polyclonal
Unconjugated
100 μg

Quality Guarantee
Explore bioreagents carefree to elevate your research. All our products are rigorously tested for performance. If a product does not perform as described on its datasheet, our scientific support team will provide expert troubleshooting, a prompt replacement, or a refund. For full details, please see our Terms & Conditions and Buying Guide. Contact us at support@biorbyt.com.

Anti-CTGF antibody at 1/700 dilution, Lysates at 50 µg per lane. This blot was produced using a 12% SDS-PAGE. Nitrocellulose membrane was then blocked for an hour before being incubated with orb1294294 overnight at 4°C.

Anti-CTGF antibody at 1/700 dilution, Lysates at 50 µg per lane. This blot was produced using a 12% SDS-PAGE. Nitrocellulose membrane was then blocked for an hour before being incubated with orb1294294 overnight at 4°C.

Immunofluorescence: cells were fixed with 4% paraformaldehyde for 10 min at RT, permeabilized with 0.1% NP-40 for 10 min at RT then blocked with 5% BSA for 30 min at room temperature. Cells were stained with orb1294294 anti-CTGF antibody (red) at 1:200 and 4°C. DAPI (blue) was used as the nuclear counter stain.

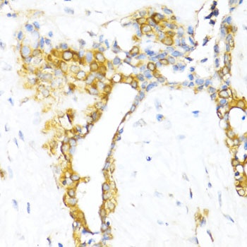
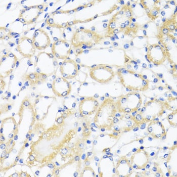
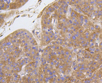
Immunohistochemical analysis of paraffin embedded Human cancer tissue labeling CTGF with orb1294294 at 1/100.
Quick Database Links
Documents Download
Request a Document
Protocol Information
CTGF Antibody (orb1294294)
Participating in our Biorbyt product reviews program enables you to support fellow scientists by sharing your firsthand experience with our products.
Login to Submit a Review






















