You have no items in your shopping cart.
GLI2 Antibody
Description
Images & Validation
−| Tested Applications | ELISA, IF, IHC, WB |
|---|---|
| Dilution range | WB: 1:500-1:1000; IHC: 1:20-1:200; IF: 1:10-1:100 |
| Reactivity | Human, Mouse, Rat |
Key Properties
−| Antibody Type | Primary Antibody |
|---|---|
| Host | Rabbit |
| Clonality | Polyclonal |
| Isotype | IgG |
| Immunogen | GLI-Kruppel family member GLI2 |
| Target | GLI2 |
| Molecular Weight | 88 kDa |
| Purity | ≥95% as determined by SDS-PAGE |
| Purification | Immunogen affinity purified |
| Conjugation | Unconjugated |
Storage & Handling
−| Storage | Maintain refrigerated at 2-8°C for up to 2 weeks. For long term storage store at -20°C in small aliquots to prevent freeze-thaw cycles. |
|---|---|
| Form/Appearance | liquid |
| Disclaimer | For research use only |
Similar Products
−GLI2 Antibody (C-term) [orb1927138]
FC, IF, IHC-P, WB
Human
Rabbit
Polyclonal
Unconjugated
100 μl, 50 μlZinc finger protein GLI2 GLI2 Antibody [orb546293]
ELISA, IHC, WB
Human, Mouse, Rat
Rabbit
Polyclonal
Unconjugated
100 μgGLI2 Rabbit Polyclonal Antibody [orb329628]
IHC, WB
Human
Human, Mouse
Rabbit
Polyclonal
Unconjugated
100 μlGLI2 Rabbit Polyclonal Antibody [orb329627]
IHC, WB
Human
Human, Mouse
Rabbit
Polyclonal
Unconjugated
100 μl

Quality Guarantee
Explore bioreagents carefree to elevate your research. All our products are rigorously tested for performance. If a product does not perform as described on its datasheet, our scientific support team will provide expert troubleshooting, a prompt replacement, or a refund. For full details, please see our Terms & Conditions and Buying Guide. Contact us at support@biorbyt.com.

HEK-293 cells were subjected to SDS PAGE followed by western blot with orb395083 (GLI2-Specific antibody) at dilution of 1:400.

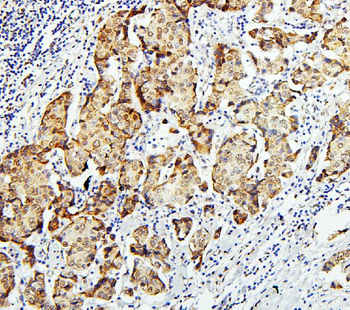
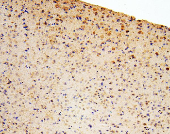
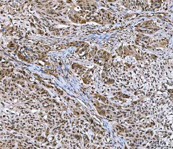
Immunohistochemistry of paraffin-embedded human kidney using orb395083 (GLI2-Specific antibody) at dilution of 1:50.
Quick Database Links
UniProt Details
−Documents Download
Request a Document
Protocol Information
GLI2 Antibody (orb395083)
Participating in our Biorbyt product reviews program enables you to support fellow scientists by sharing your firsthand experience with our products.
Login to Submit a Review




























