You have no items in your shopping cart.
HDAC9 Antibody
Description
Research Area
Images & Validation
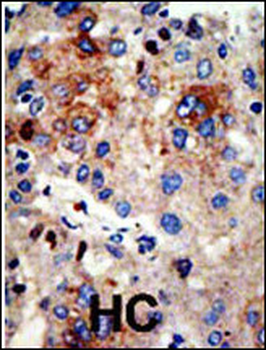
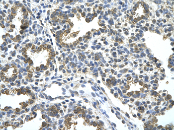
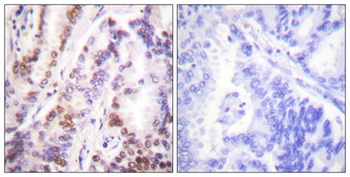
−| Tested Applications | ELISA, IF, IHC, WB |
|---|---|
| Dilution Range | WB: 1:500-1:2000, IHC-P: 1:100-1:300, IF: 1:200-1:1000, ELISA: 1:10000 |
| Reactivity | Human |
Key Properties
−| Host | Rabbit |
|---|---|
| Clonality | Polyclonal |
| Isotype | IgG |
| Immunogen | Synthesized peptide derived from the C-terminal region of Human Histone deacetylase 9. |
| Target | HDAC9 |
| Purification | The antibody was affinity-purified from rabbit antiserum by affinity-chromatography using epitope-specific immunogen. |
| Conjugation | Unconjugated |
Storage & Handling
−| Storage | Maintain refrigerated at 2-8°C for up to 2 weeks. For long term storage store at -20°C in small aliquots to prevent freeze-thaw cycles. |
|---|---|
| Form/Appearance | Liquid |
| Buffer/Preservatives | Liquid in PBS containing 50% glycerol, 0.5% rAlbumin and 0.02% sodium azide. |
| Disclaimer | For research use only |
Alternative Names
−Similar Products
−HDAC9 Antibody (N-term) [orb1938455]
IF, IHC-P, IP, WB
Gallus
Human, Mouse
Rabbit
Polyclonal
Unconjugated
100 μl, 50 μlHDAC9 Rabbit Polyclonal Antibody [orb578600]
ChIP, IHC, WB
Guinea pig, Mouse, Sheep
Human
Rabbit
Polyclonal
Unconjugated
100 μlHistone deacetylase 9 rabbit pAb Antibody [orb765397]
ELISA, IF, IHC, WB
Human, Mouse, Rat
Polyclonal
Unconjugated
100 μl, 50 μlHDAC5/9 (phospho Ser259/220) rabbit pAb Antibody [orb767281]
ELISA, IF, IHC, WB
Human, Mouse
Polyclonal
Unconjugated
50 μl, 100 μl

Quality Guarantee
Explore bioreagents carefree to elevate your research. All our products are rigorously tested for performance. If a product does not perform as described on its datasheet, our scientific support team will provide expert troubleshooting, a prompt replacement, or a refund. For full details, please see our Terms & Conditions and Buying Guide. Contact us at support@biorbyt.com.

Western blot analysis of K562 cells using HDAC9 antibody

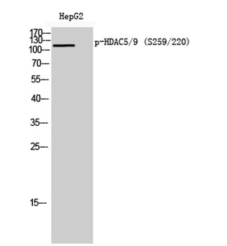
Western blot analysis of HepG2 cells using HDAC9 antibody
Quick Database Links
UniProt Details
−Documents Download
Request a Document
Protocol Information
HDAC9 Antibody (orb675615)
Participating in our Biorbyt product reviews program enables you to support fellow scientists by sharing your firsthand experience with our products.
Login to Submit a Review





















