You have no items in your shopping cart.
MAP3K5 Antibody
Description
Research Area
Images & Validation
−| Tested Applications | ELISA, WB |
|---|---|
| Dilution range | WB: 1:100-1:1000 |
| Reactivity | Human, Mouse, Rat |
Key Properties
−| Antibody Type | Primary Antibody |
|---|---|
| Host | Rabbit |
| Clonality | Polyclonal |
| Isotype | IgG |
| Immunogen | mitogen-activated protein kinase kinase kinase 5 |
| Target | MAP3K5 |
| Molecular Weight | 155 kDa |
| Purity | ≥95% as determined by SDS-PAGE |
| Purification | Immunogen affinity purified |
| Conjugation | Unconjugated |
Storage & Handling
−| Storage | Maintain refrigerated at 2-8°C for up to 2 weeks. For long term storage store at -20°C in small aliquots to prevent freeze-thaw cycles. |
|---|---|
| Form/Appearance | liquid |
| Disclaimer | For research use only |
Alternative Names
−Similar Products
−Phospho-ASK1 (Thr845) Rabbit Polyclonal Antibody [orb6390]
FC, WB
Mouse, Rat
Human, Mouse, Rat
Rabbit
Polyclonal
Unconjugated
200 μl, 50 μl, 100 μlASK 1 rabbit pAb Antibody [orb764592]
ELISA, IF, IHC, WB
Human, Mouse, Rat
Polyclonal
Unconjugated
100 μl, 50 μlHuman Apoptosis Signal Regulating Kinase 1 (ASK1) ELISA Kit [orb775758]
Human
0.32-20 ng/mL
0.12 ng/mL
96 T, 48 TASK1/MAP3K5 Rabbit Polyclonal Antibody [orb763182]
ELISA, FC, ICC, IF, IHC, WB
Human, Mouse, Rat
Rabbit
Polyclonal
Unconjugated
100 μg

Quality Guarantee
Explore bioreagents carefree to elevate your research. All our products are rigorously tested for performance. If a product does not perform as described on its datasheet, our scientific support team will provide expert troubleshooting, a prompt replacement, or a refund. For full details, please see our Terms & Conditions and Buying Guide. Contact us at support@biorbyt.com.

Raji cells were subjected to SDS PAGE followed by western blot with orb624911 (ASK1 antibody) at dilution of 1:500.
Quick Database Links
UniProt Details
−Documents Download
Request a Document
Protocol Information
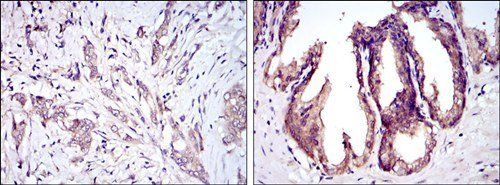
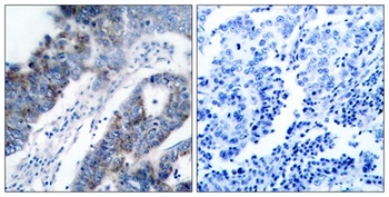
MAP3K5 Antibody (orb624911)
Participating in our Biorbyt product reviews program enables you to support fellow scientists by sharing your firsthand experience with our products.
Login to Submit a Review


















