You have no items in your shopping cart.
MYC Epitope Tag Antibody
Description
Images & Validation
−| Tested Applications | ELISA, WB |
|---|---|
| Dilution Range | ELISA: 1:135,000, WB: 1:500 - 1:5,000 |
| Application Notes |
Key Properties
−| Antibody Type | Primary Antibody |
|---|---|
| Host | Rabbit |
| Clonality | Polyclonal |
| Isotype | IgG |
| Immunogen | This antibody was purified from whole rabbit serum prepared by repeated immunizations with Myc epitope tag peptide, E-Q-K-L-I-S-E-E-D-L, conjugated to KLH using maleimide. The sequence corresponds to amino acids 410-419 of human c-Myc. |
| Purity | This affinity purified antibody is directed against human c-Myc and is useful in determining its presence in various assays. This polyclonal anti-Myc-tag antibody detects overexpressed proteins containing the Myc epitope tag. The antibody recognizes the Myc-tag (Glu-Gln-Lys-Leu-Ile-Ser-Glu-Glu-Asp-Leu) fused to either the amino- or carboxy- termini of targeted proteins in transfected or transformed cells. |
| Conjugation | Unconjugated |
Storage & Handling
−| Storage | Store vial at -20° C prior to opening. Aliquot contents and freeze at -20° C or below for extended storage. Avoid cycles of freezing and thawing. Centrifuge product if not completely clear after standing at room temperature. This product is stable for several weeks at 4° C as an undiluted liquid. Dilute only prior to immediate use. |
|---|---|
| Form/Appearance | Liquid (sterile filtered) |
| Buffer/Preservatives | Preservative: 0.01% (w/v) Sodium Azide. Stabilizer: None; Buffer: 0.02 M Potassium Phosphate, 0.15 M Sodium Chloride, pH 7.2 |
| Concentration | 1.0 mg/ml |
| Expiration Date | 12 months from date of receipt. |
| Dry Ice Shipping | Please note: This product requires shipment on dry ice. A dry ice surcharge will apply. |
| Disclaimer | For research use only |
Alternative Names
−Similar Products
−Anti-c-myc epitope tag [9E10] [orb396136]
IF, IHC-Fr, IHC-P, IP, WB
Human
Mouse
Monoclonal
Unconjugated
0.1 mgAnti-c-myc epitope tag [9E10] [orb256348]
IF, IHC-Fr, IHC-P, IP, WB
Human
Mouse
Monoclonal
Unconjugated
0.2 mgAnti-c-myc epitope tag [9E10] [orb256349]
IF, IHC-Fr, IHC-P, IP, WB
Human
Mouse
Monoclonal
Unconjugated
0.1 mgAnti-c-myc epitope tag [9E10] [orb256350]
IF, IHC-Fr, IHC-P, IP, WB
Human
Mouse
Monoclonal
Unconjugated
0.2 mg

Quality Guarantee
Explore bioreagents carefree to elevate your research. All our products are rigorously tested for performance. If a product does not perform as described on its datasheet, our scientific support team will provide expert troubleshooting, a prompt replacement, or a refund. For full details, please see our Terms & Conditions and Buying Guide. Contact us at support@biorbyt.com.

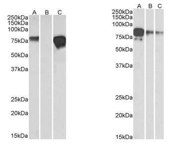
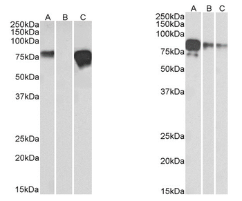
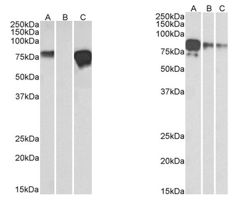
Anti-Myc epitope tag polyclonal antibody detects ~ 100 kDa CARBOXY terminal linked Myc-tagged recombinant protein present in ~35 µg of lysate by western blot.

Anti-Myc epitope tag polyclonal antibody detects both AMINO and CARBOXY terminal linked Myc-tagged recombinant proteins by western blot. Polyclonal rabbit host anti-Myc epitope tag antibody was diluted to 1.0 µg/ml to detect either recombinant protein. 4-20% gradient gels were used to resolve the proteins by SDS-PAGE. The proteins were transferred to nitrocellulose using standard methods. After blocking, the membranes were probed with the primary antibody overnight at 4°C followed by washes and reaction with a 1:10000 dilution of IRDye® 800 conjugated Gt-a-Rabbit IgG (H&L) MX10 for 45 min at room temperature (Green, 800 nm channel). Pre-stained molecular weight markers are also shown (lane M, Red, 700 nm channel).

Git1 phosphorylation at Tyr-554 was enhanced by co-expression of paxillin. A, Western blotting of protein expression levels in HEK293T cells exogenously expressing the FLAG-tagged Git1-Y9F-Y554 mutant together with Myc-tagged paxillin, Myc-tagged Hic-5, or a control mock. B, Tyrosine phosphorylation of Y9F-Git1 proteins in anti-FLAG immunoprecipitates. The lower graph shows the densitometric analysis of the Western blotting data. Data are the mean ± S.E. (error bars; n = 3). *, P < 0.05 significantly different from Hic-5-transfected cells by ANOVA with Fisher's PLSD post hoc tests.

Git1 phosphorylation at Tyr-554 weakened its association with Hic-5. A, Western blotting of protein expression levels, and tyrosine phosphorylation of all proteins in HEK293T cells expressing FLAG-tagged Git1 proteins (Fig. 1A) together with Myc-tagged Hic-5. Cells were treated with 100 µm pervanadate or vehicle for 15 min, and then analyzed by Western blotting using anti-FLAG M2, anti-Myc 9E10, or anti-phosphotyrosine PY20. B, Co-immunoprecipitaion of Git1 mutants with Hic-5. The immunoprecipitates from cell extracts with anti-FLAG beads were analyzed by Western blotting with an anti-FLAG or anti-Myc antibody. To verify the tyrosine phosphorylation of FLAG-tagged Git1 proteins, the same membrane was reacted with anti-phosphotyrosine PY20. Ig, immunoglobulin. The lower part shows the densitometric analysis of the relative amount of Myc-Hic-5 to FLAG-Git1 in the immunoprecipitates. Data are the mean ± S.E. (error bars; n = 3). **, P < 0.01 significantly different from the wild-type with the same treatment; #, P < 0.05 or ##, P < 0.01 significant difference between vehicle- and pervanadate-treated groups by ANOVA with Fisher's PLSD post hoc tests.

SARS 3a induces NLRP3 inflammasome activation by multiple mechanisms. A) Immunoblot analysis of the pro- and cleaved forms of caspase-1 and IL-1β after reconstitution of inflammasome in HEK 293T cells transfected with SARS 3a with or without NEK7 shRNA. B) Immunoblot analysis of the pro- and cleaved forms of caspase-1 and IL-1β after reconstitution of inflammasome and transfection with SARS 3a or SARS 3a C133A. C) Immunoblot analysis of the pro- and cleaved forms of caspase-1 and IL-1β after co-transfection with caspase-1, IL-1β, and SARS 3a or SARS 3a C133A. D) Immunoprecipitation analysis of interaction between SARS 3a or SARS 3a C133A and caspase-1. All western blot data are representative of two or three independent experiments.
Documents Download
Request a Document
Protocol Information
MYC Epitope Tag Antibody (orb345393)
Participating in our Biorbyt product reviews program enables you to support fellow scientists by sharing your firsthand experience with our products.
Login to Submit a Review
![Anti-c-myc epitope tag [9E10]](/images/pub/media/catalog/product/NewWebsite/35/orb396136_1.png)
![Anti-c-myc epitope tag [9E10]](/images/pub/media/catalog/product/NewWebsite/35/orb396136_2.png)
![Anti-c-myc epitope tag [9E10]](/images/pub/media/catalog/product/NewWebsite/35/orb256348_1.png)
![Anti-c-myc epitope tag [9E10]](/images/pub/media/catalog/product/NewWebsite/35/orb256348_2.png)
![Anti-c-myc epitope tag [9E10]](/images/pub/media/catalog/product/NewWebsite/35/orb256349_1.png)
![Anti-c-myc epitope tag [9E10]](/images/pub/media/catalog/product/NewWebsite/35/orb256349_2.png)
![Anti-c-myc epitope tag [9E10]](/images/pub/media/catalog/product/NewWebsite/35/orb256350_1.png)
![Anti-c-myc epitope tag [9E10]](/images/pub/media/catalog/product/NewWebsite/35/orb256350_2.png)