You have no items in your shopping cart.
PKM2 Antibody (C-term C474)
Description
Research Area
Images & Validation
−| Tested Applications | IHC-P, WB |
|---|---|
| Dilution range | WB: 1:1000, IHC-P: 1:10~50 |
| Reactivity | Human |
| Predicted Reactivity | Rabbit |
Key Properties
−| Antibody Type | Primary Antibody |
|---|---|
| Host | Rabbit |
| Clonality | Polyclonal |
| Isotype | Rabbit IgG |
| Clone No. | RB15339 |
| Target | This PKM2 antibody is generated from rabbits immunized with a KLH conjugated synthetic peptide between 460-489 amino acids from the C-terminal region of human PKM2. |
| Molecular Weight | 57937 Da |
| Conjugation | Unconjugated |
Storage & Handling
−| Storage | Maintain refrigerated at 2-8°C for up to 2 weeks. For long term storage store at -20°C in small aliquots to prevent freeze-thaw cycles |
|---|---|
| Form/Appearance | Purified polyclonal antibody supplied in PBS with 0.09% (W/V) sodium azide. This antibody is prepared by Saturated Ammonium Sulfate (SAS) precipitation followed by dialysis against PBS. |
| Disclaimer | For research use only |
Alternative Names
−Similar Products
−
Quality Guarantee
Explore bioreagents carefree to elevate your research. All our products are rigorously tested for performance. If a product does not perform as described on its datasheet, our scientific support team will provide expert troubleshooting, a prompt replacement, or a refund. For full details, please see our Terms & Conditions and Buying Guide. Contact us at support@biorbyt.com.

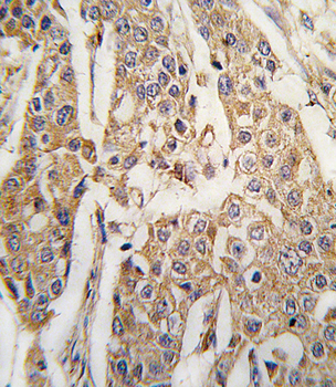
Formalin-fixed and paraffin-embedded human breast carcinoma tissue reacted with PKM2 antibody (C-term C474), which was peroxidase-conjugated to the secondary antibody, followed by DAB staining. This data demonstrates the use of this antibody for immunohistochemistry; clinical relevance has not been evaluated.

Western blot analysis of anti-PKM2 Antibody (C-term C474) in CEM cell line lysates (35 ug/lane). PKM2 (arrow) was detected using the purified Pab.
Quick Database Links
UniProt Details
−NCBI Reference Sequences
−Documents Download
Request a Document
Protocol Information
PKM2 Antibody (C-term C474) (orb1929508)
Participating in our Biorbyt product reviews program enables you to support fellow scientists by sharing your firsthand experience with our products.
Login to Submit a Review

