You have no items in your shopping cart.
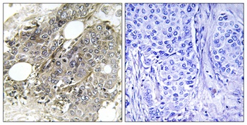
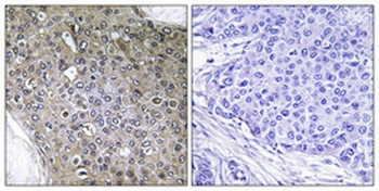
TGFBR3 Antibody
SKU: orb635655
Description
Images & Validation
−
| Tested Applications | WB |
|---|---|
| Dilution range | WB: 1/500 - 1/2000; ELISA: 1/10000 |
| Reactivity | Human, Mouse |
Key Properties
−| Antibody Type | Primary Antibody |
|---|---|
| Host | Mouse |
| Clonality | Monoclonal |
| Isotype | Mouse IgG2b |
| Clone No. | 1C5H11 |
| Immunogen | Purified recombinant fragment of human TGFBR3 (AA: 147-328 ) expressed in E. Coli. |
| Target | TGFBR3 |
| Molecular Weight | 93.4kDa |
| Conjugation | Unconjugated |
Storage & Handling
−| Storage | Maintain refrigerated at 2-8°C for up to 2 weeks. For long term storage store at -20°C in small aliquots to prevent freeze-thaw cycles. |
|---|---|
| Buffer/Preservatives | Purified antibody in PBS with 0.05% sodium azide |
| Concentration | Approximately 1mg/ml (varies from batch to batch). Please inquire for precise concentration. |
| Disclaimer | For research use only |
Alternative Names
−BGCAN; betaglycan
Similar Products
−TGFβ RIII rabbit pAb Antibody [orb770256]
ELISA, IF, WB
Human, Mouse, Rat
Polyclonal
Unconjugated
100 μl, 50 μlTGFβ RIII (phospho Thr842) rabbit pAb Antibody [orb770255]
ELISA, IF, IHC
Human, Mouse, Rat
Polyclonal
Unconjugated
100 μl, 50 μl

Quality Guarantee
Explore bioreagents carefree to elevate your research. All our products are rigorously tested for performance. If a product does not perform as described on its datasheet, our scientific support team will provide expert troubleshooting, a prompt replacement, or a refund. For full details, please see our Terms & Conditions and Buying Guide. Contact us at support@biorbyt.com.
Documents Download
Datasheet
Product Information
Request a Document
TGFBR3 Antibody (orb635655)
Based on 0 reviews
Participating in our Biorbyt product reviews program enables you to support fellow scientists by sharing your firsthand experience with our products.
Login to Submit a Review







