You have no items in your shopping cart.
Description
Research Area
Images & Validation
−| Tested Applications | IHC, WB |
|---|---|
| Reactivity | Human |
| Predicted Reactivity | Human |
Key Properties
−| Host | Rabbit |
|---|---|
| Clonality | Polyclonal |
| Immunogen | The immunogen is a synthetic peptide directed towards the N terminal region of human ADAR |
| Target | ADAR |
| Protein Sequence | Synthetic peptide located within the following region: GEGKATTAHDLSGKLGTPKKEINRVLYSLAKKGKLQKEAGTPPLWKIAVS |
| Molecular Weight | 136kDa |
| Purification | Affinity Purified |
| Conjugation | Unconjugated |
Storage & Handling
−| Storage | Maintain refrigerated at 2-8°C for up to 2 weeks. For long term storage store at -20°C in small aliquots to prevent freeze-thaw cycles. |
|---|---|
| Buffer/Preservatives | Liquid. Purified antibody supplied in 1x PBS buffer with 0.09% (w/v) sodium azide and 2% sucrose. |
| Concentration | 0.5 mg/ml |
| Expiration Date | 12 months from date of receipt. |
| Disclaimer | For research use only |
Alternative Names
−Similar Products
−ADAR1/ADAR Rabbit Polyclonal Antibody [orb1098125]
ELISA, ICC, IF, IHC, WB
Human, Mouse, Rat
Rabbit
Polyclonal
Unconjugated
100 μgADAR1 Rabbit Polyclonal Antibody [orb13237]
IF, IHC-Fr, IHC-P, WB
Mouse, Rat
Human, Mouse, Rat
Rabbit
Polyclonal
Unconjugated
50 μl, 100 μl, 200 μlADAR1 Rabbit Polyclonal Antibody [orb5984]
FC, WB
Human
Human
Rabbit
Polyclonal
Unconjugated
50 μl, 100 μl, 200 μlADAR Rabbit Polyclonal Antibody [orb624503]
ELISA, IF, IHC, IP, WB
Human, Mouse, Rat
Rabbit
Polyclonal
Unconjugated
50 μg, 100 μgADAR Rabbit Polyclonal Antibody [orb576083]
IHC, WB
Equine, Guinea pig, Mouse, Rabbit, Rat
Human
Rabbit
Polyclonal
Unconjugated
100 μl

Quality Guarantee
Explore bioreagents carefree to elevate your research. All our products are rigorously tested for performance. If a product does not perform as described on its datasheet, our scientific support team will provide expert troubleshooting, a prompt replacement, or a refund. For full details, please see our Terms & Conditions and Buying Guide. Contact us at support@biorbyt.com.

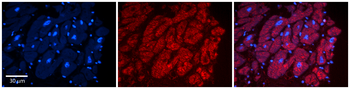
Rabbit Anti-ADAR Antibody, Catalog Number: orb576084, Formalin Fixed Paraffin Embedded Tissue: Human heart Tissue, Observed Staining: Cytoplasmic, Primary Antibody Concentration: N/A, Other Working Concentrations: 1:600, Secondary Antibody: Donkey anti-Rabbit-Cy3, Secondary Antibody Concentration: 1:200, Magnification: 20X, Exposure Time: 0.5-2.0 sec.

WB Suggested Anti-ADAR Antibody Titration: 0.2-1 ug/ml, ELISA Titer: 1:62500, Positive Control: Human Muscle.
Documents Download
Request a Document
Protocol Information
ADAR Rabbit Polyclonal Antibody (orb576084)
Participating in our Biorbyt product reviews program enables you to support fellow scientists by sharing your firsthand experience with our products.
Login to Submit a Review
















