You have no items in your shopping cart.
Aquaporin 3/AQP3 Rabbit Polyclonal Antibody
Description
Research Area
Images & Validation
−| Tested Applications | FC, ICC, IF, IHC, WB |
|---|---|
| Dilution Range | Western blot, 0.1-0.5μg/ml, Human, Mouse, Rat Immunohistochemistry (Paraffin-embedded Section), 2-5μg/ml, Human, Mouse, Rat Immunocytochemistry/Immunofluorescence, 5μg/ml, Human Flow Cytometry (Fixed), 1-3μg/1x10^6 cells, Human |
| Reactivity | Human, Mouse, Rat |
Key Properties
−| Antibody Type | Primary Antibody |
|---|---|
| Host | Rabbit |
| Clonality | Polyclonal |
| Isotype | Rabbit IgG |
| Immunogen | A synthetic peptide corresponding to a sequence at the C-terminus of human Aquaporin 3, different from the related rat and mouse sequences by one amino acid. |
| Target | Aquaporin-3 |
| Molecular Weight | 32-36 kDa |
| Purification | Immunogen affinity purified. |
| Conjugation | Unconjugated |
Storage & Handling
−| Storage | Maintain refrigerated at 2-8°C for up to 2 weeks. For long term storage store at -20°C in small aliquots to prevent freeze-thaw cycles. |
|---|---|
| Form/Appearance | Lyophilized |
| Buffer/Preservatives | Each vial contains 4mg Trehalose, 0.9mg NaCl and 0.2mg Na2HPO4. |
| Concentration | Adding 0.2 ml of distilled water will yield a concentration of 500 μg/ml. |
| Expiration Date | 12 months from date of receipt. |
| Disclaimer | For research use only |
Alternative Names
−Similar Products
−AQP3 Rabbit Polyclonal Antibody [orb10124]
FC
Mouse, Rat
Human
Rabbit
Polyclonal
Unconjugated
50 μl, 100 μl, 200 μlAquaporin 3 Antibody (Biotin) [orb152819]
ICC, IF, IHC, WB
Human, Mouse, Rat
Rabbit
Polyclonal
Biotin
100 μgAquaporin 3 Antibody (FITC) [orb152820]
ICC, IF, IHC, WB
Human, Mouse, Rat
Rabbit
Polyclonal
FITC
100 μg

Quality Guarantee
Explore bioreagents carefree to elevate your research. All our products are rigorously tested for performance. If a product does not perform as described on its datasheet, our scientific support team will provide expert troubleshooting, a prompt replacement, or a refund. For full details, please see our Terms & Conditions and Buying Guide. Contact us at support@biorbyt.com.

Immunohistochemical analysis of rat kidney tissue using Aquaporin 3 antibody

IHC analysis of hela cell using Aquaporin 3 antibody

IHC-Fr of rat kidney tissue using Aquaporin 3 antibody

Western blot analysis of Rat Kidney Tissue Lysate(lane 1), Rat Lung Tissue Lysate(lane 2), Mouse Kidney Tissue Lysate(lane 3), MM453 Whole Cell Lysate(lane 4), SMMC-7721 Whole Cell Lysate(lane 5) using Aquaporin 3 antibody.

IHC analysis of human renal cancer tissue using Aquaporin 3 antibody.

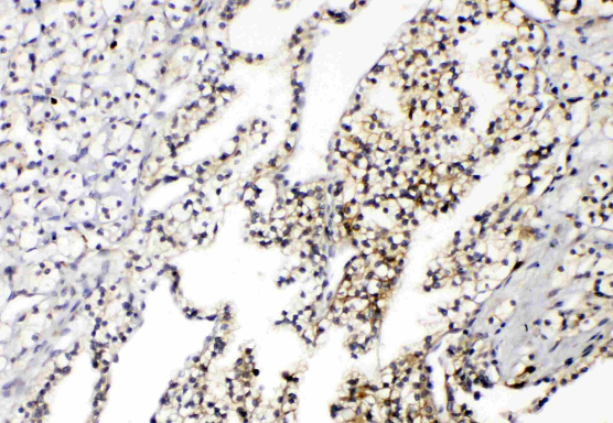
IHC analysis of human lung cancer tissues using Aquaporin 3 antibody.

Flow Cytometry analysis of Hela cells using Aquaporin 3 antibody.
Quick Database Links
UniProt Details
−Documents Download
Request a Document
Protocol Information
Aquaporin 3/AQP3 Rabbit Polyclonal Antibody (orb47955)
Participating in our Biorbyt product reviews program enables you to support fellow scientists by sharing your firsthand experience with our products.
Login to Submit a Review







