You have no items in your shopping cart.
Aryl hydrocarbon Receptor/AHR Rabbit Polyclonal Antibody
Description
Research Area
Images & Validation
−| Tested Applications | FC, ICC, IF, IHC, WB |
|---|---|
| Dilution Range | Western blot, 0.25-0.5μg/ml, Human Immunohistochemistry (Paraffin-embedded Section), 2-5μg/ml, Human, Mouse, Rat Immunocytochemistry/Immunofluorescence, 5μg/ml, Human Flow Cytometry (Fixed), 1-3μg/1x10^6 cells, Human |
| Reactivity | Human, Mouse, Rat |
Key Properties
−| Antibody Type | Primary Antibody |
|---|---|
| Host | Rabbit |
| Clonality | Polyclonal |
| Isotype | Rabbit IgG |
| Immunogen | A synthetic peptide corresponding to a sequence at the C-terminus of human AHR. |
| Target | Aryl hydrocarbon receptor |
| Molecular Weight | 100-110 kDa |
| Purification | Immunogen affinity purified. |
| Conjugation | Unconjugated |
Storage & Handling
−| Storage | Maintain refrigerated at 2-8°C for up to 2 weeks. For long term storage store at -20°C in small aliquots to prevent freeze-thaw cycles. |
|---|---|
| Form/Appearance | Lyophilized |
| Buffer/Preservatives | Each vial contains 4mg Trehalose, 0.9mg NaCl and 0.2mg Na2HPO4. |
| Concentration | Adding 0.2 ml of distilled water will yield a concentration of 500 μg/ml. |
| Expiration Date | 12 months from date of receipt. |
| Disclaimer | For research use only |
Alternative Names
−Similar Products
−AHR Rabbit Polyclonal Antibody [orb443145]
FC, ICC, IHC, WB
Human, Mouse, Rat
Rabbit
Polyclonal
Unconjugated
100 μgAryl hydrocarbon Receptor/AHR Rabbit Polyclonal Antibody [orb654306]
ELISA, ICC, IF, IHC, WB
Human, Mouse, Rat
Rabbit
Polyclonal
Unconjugated
100 μgAHR Rabbit Polyclonal Antibody [orb544686]
IF, IHC-Fr, IHC-P, WB
Bovine, Equine, Porcine, Rabbit, Sheep
Human, Mouse, Rat
Rabbit
Polyclonal
Unconjugated
100 μl, 200 μl, 50 μlAHR Rabbit Polyclonal Antibody [orb624568]
ELISA, IHC, IP, WB
Human, Mouse
Rabbit
Polyclonal
Unconjugated
50 μg, 100 μgAryl hydrocarbon Receptor/Ahr Rabbit Polyclonal Antibody [orb623784]
ELISA, FC, WB
Mouse, Rat
Rabbit
Polyclonal
Unconjugated
100 μg

Quality Guarantee
Explore bioreagents carefree to elevate your research. All our products are rigorously tested for performance. If a product does not perform as described on its datasheet, our scientific support team will provide expert troubleshooting, a prompt replacement, or a refund. For full details, please see our Terms & Conditions and Buying Guide. Contact us at support@biorbyt.com.

IHC analysis of AHR using anti-AHR antibody. AHR was detected in paraffin-embedded section of rat brain tissue.

IHC analysis of AHR using anti-AHR antibody. AHR was detected in paraffin-embedded section of rat brain tissue.

IHC analysis of AHR using anti-AHR antibody. AHR was detected in paraffin-embedded section of mouse brain tissue.

IHC analysis of AHR using anti-AHR antibody. AHR was detected in paraffin-embedded section of mouse brain tissue.

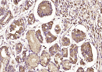
IHC analysis of AHR using anti-AHR antibody. AHR was detected in paraffin-embedded section of human gastric cancer tissue.

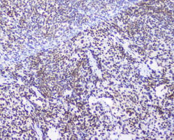
IHC analysis of AHR using anti-AHR antibody. AHR was detected in paraffin-embedded section of human lymphadenoma tissue.

IHC analysis of AHR using anti-AHR antibody. AHR was detected in paraffin-embedded section of human placenta tissue.

IF analysis of AHR using anti-AHR antibody.AHR was detected in immunocytochemical section of A431 cells.

Western blot analysis of AHR using anti-AHR antibody.

Flow Cytometry analysis of A431 cells using anti-AHR antibody(Blue line).Isotype control antibody(Green line) was rabbit IgG.Unlabelled sample(Red line) was also used as a control.
Quick Database Links
UniProt Details
−Documents Download
Request a Document
Protocol Information
Aryl hydrocarbon Receptor/AHR Rabbit Polyclonal Antibody (orb106570)
Participating in our Biorbyt product reviews program enables you to support fellow scientists by sharing your firsthand experience with our products.
Login to Submit a Review






















