You have no items in your shopping cart.
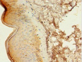
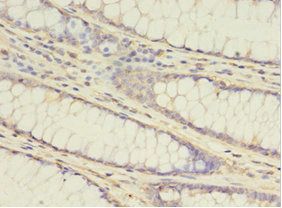
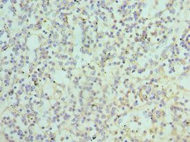
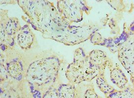
Anti-ATG16L1 Antibody
SKU: orb2597604
Description
Images & Validation
−
| Tested Applications | ELISA, IHC, WB |
|---|---|
| Reactivity | Human |
| Application Notes |
Key Properties
−| Antibody Type | Primary Antibody |
|---|---|
| Host | Rabbit |
| Clonality | Polyclonal |
| Isotype | Rabbit IgG |
| Immunogen | E.coli-derived human ATG16L1 recombinant protein (Position: R66-K359). |
| Purification | Immunogen affinity purified. |
| Conjugation | HRP |
Storage & Handling
−| Storage | At -20°C for one year from date of receipt. Avoid repeated freezing and thawing. |
|---|---|
| Form/Appearance | Liquid |
| Concentration | Adding 0.2 ml of distilled water will yield a concentration of 500 μg/ml. |
| Disclaimer | For research use only |
Alternative Names
−Alpha-fetoprotein; Alpha-1-fetoprotein; Alpha-fetoglobulin; Afp
Similar Products
−Atg16 rabbit pAb Antibody [orb769575]
ELISA, WB
Human, Mouse, Rat
Polyclonal
Unconjugated
50 μl, 100 μl

Quality Guarantee
Explore bioreagents carefree to elevate your research. All our products are rigorously tested for performance. If a product does not perform as described on its datasheet, our scientific support team will provide expert troubleshooting, a prompt replacement, or a refund. For full details, please see our Terms & Conditions and Buying Guide. Contact us at support@biorbyt.com.
Quick Database Links
UniProt
UniProt Details
− No UniProt data available
Documents Download
Datasheet
Product Information
Request a Document
Protocol Information
WB
Western Blot (IB, immunoblot)
IHC
Immunohistochemistry
ELISA
Enzyme-linked Immunosorbent Assay (EIA)
Anti-ATG16L1 Antibody (orb2597604)
Based on 0 reviews
Participating in our Biorbyt product reviews program enables you to support fellow scientists by sharing your firsthand experience with our products.
Login to Submit a Review












