You have no items in your shopping cart.
Beta Tubulin/TUBB Rabbit Polyclonal Antibody
Description
Research Area
Images & Validation
−| Tested Applications | FC, ICC, IF, IHC, WB |
|---|---|
| Dilution Range | Western blot, 0.1-0.5μg/ml, Human, Monkey, Mouse, Rat, Chicken Immunohistochemistry (Paraffin-embedded Section), 2-5μg/ml, Human Immunocytochemistry/Immunofluorescence, 5μg/ml, Human Flow Cytometry(Fixed), 1-3μg/1x10^6 cells, Human |
| Reactivity | Gallus, Human, Monkey, Mouse, Rat |
Key Properties
−| Antibody Type | Primary Antibody |
|---|---|
| Host | Rabbit |
| Clonality | Polyclonal |
| Isotype | Rabbit IgG |
| Immunogen | A synthetic peptide corresponding to a sequence at the C-terminus of human Beta Tubulin, identical to the related mouse and rat sequences. |
| Target | Tubulin beta chain |
| Molecular Weight | 50 kDa |
| Purification | Immunogen affinity purified. |
| Conjugation | Unconjugated |
Storage & Handling
−| Storage | Maintain refrigerated at 2-8°C for up to 2 weeks. For long term storage store at -20°C in small aliquots to prevent freeze-thaw cycles. |
|---|---|
| Form/Appearance | Lyophilized |
| Buffer/Preservatives | Each vial contains 4 mg Trehalose, 0.9 mg NaCl and 0.2 mg Na2HPO4. |
| Concentration | Adding 0.2 ml of distilled water will yield a concentration of 500 μg/ml. |
| Expiration Date | 12 months from date of receipt. |
| Disclaimer | For research use only |
Alternative Names
−Similar Products
−Beta Tubulin/TUBB Rabbit Polyclonal Antibody (Fluoro647) [orb3112444]
FC
Gallus, Human, Monkey, Mouse, Rat
Rabbit
Polyclonal
Fluoro647
100 μgBeta Tubulin/TUBB Rabbit Polyclonal Antibody (Fluoro594) [orb3112445]
FC
Gallus, Human, Monkey, Mouse, Rat
Rabbit
Polyclonal
Fluoro594
100 μgBeta Tubulin/TUBB Rabbit Polyclonal Antibody (Fluoro550) [orb3112446]
FC
Gallus, Human, Monkey, Mouse, Rat
Rabbit
Polyclonal
Fluoro550
100 μgBeta Tubulin/TUBB Rabbit Polyclonal Antibody (Fluoro488) [orb3112447]
FC
Gallus, Human, Monkey, Mouse, Rat
Rabbit
Polyclonal
Fluoro488
100 μgBeta Tubulin/TUBB Rabbit Polyclonal Antibody [orb3112448]
FC, ICC, IF, IHC, WB
Gallus, Human, Monkey, Mouse, Rat
Rabbit
Polyclonal
Unconjugated
100 μg

Quality Guarantee
Explore bioreagents carefree to elevate your research. All our products are rigorously tested for performance. If a product does not perform as described on its datasheet, our scientific support team will provide expert troubleshooting, a prompt replacement, or a refund. For full details, please see our Terms & Conditions and Buying Guide. Contact us at support@biorbyt.com.

Flow Cytometry analysis of SiHa cells using anti-Beta Tubulin antibody. Overlay histogram showing SiHa cells (Blue line). To facilitate intracellular staining, cells were fixed with 4% paraformaldehyde and permeabilized with permeabilization buffer. The cells were blocked with 10% normal goat serum. And then incubated with rabbit anti-Beta Tubulin Antibody (1 µg/1x10^6 cells) for 30 min at 20°C. DyLight®488 conjugated goat anti-rabbit IgG (5-10 µg/1x10^6 cells) was used as secondary antibody for 30 minutes at 20°C. Isotype control antibody (Green line) was rabbit IgG (1 µg/1x10^6) used under the same conditions. Unlabelled sample without incubation with primary antibody and secondary antibody (Red line) was used as a blank control.

IF analysis of Beta Tubulin using anti-Beta Tubulin antibody. Beta Tubulin was detected in an immunocytochemical section of U2OS cells. Enzyme antigen retrieval was performed using IHC enzyme antigen retrieval reagent for 15 mins. The cells were blocked with 10% goat serum. And then incubated with 5 µg/mL rabbit anti-Beta Tubulin Antibody overnight at 4°C. Cy3 Conjugated Goat Anti-Rabbit IgG was used as secondary antibody at 1:500 dilution and incubated for 30 minutes at 37°C. The section was counterstained with DAPI. Visualize using a fluorescence microscope and filter sets appropriate for the label used.

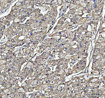
IHC analysis of Beta Tubulin using anti-Beta Tubulin antibody. Beta Tubulin was detected in a paraffin-embedded section of human liver cancer tissue. Heat mediated antigen retrieval was performed in EDTA buffer (pH8.0, epitope retrieval solution). The tissue section was blocked with 10% goat serum. The tissue section was then incubated with 2 µg/ml rabbit anti-Beta Tubulin Antibody overnight at 4°C. Peroxidase Conjugated Goat Anti-rabbit IgG was used as secondary antibody and incubated for 30 minutes at 37°C. The tissue section was developed using HRP Conjugated Rabbit IgG Super Vision Assay Kit with DAB as the chromogen.

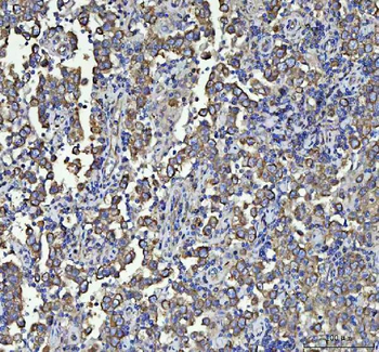
IHC analysis of Beta Tubulin using anti-Beta Tubulin antibody. Beta Tubulin was detected in a paraffin-embedded section of human testicular germ cell tumor tissue. Heat mediated antigen retrieval was performed in EDTA buffer (pH8.0, epitope retrieval solution). The tissue section was blocked with 10% goat serum. The tissue section was then incubated with 2 µg/ml rabbit anti-Beta Tubulin Antibody overnight at 4°C. Peroxidase Conjugated Goat Anti-rabbit IgG was used as secondary antibody and incubated for 30 minutes at 37°C. The tissue section was developed using HRP Conjugated Rabbit IgG Super Vision Assay Kit with DAB as the chromogen.

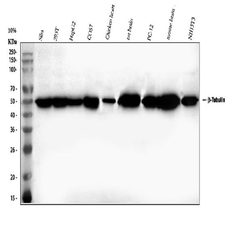
Western blot analysis of Beta Tubulin using anti-Beta Tubulin antibody. Electrophoresis was performed on a 5-20% SDS-PAGE gel at 70V (Stacking gel) / 90V (Resolving gel) for 2-3 hours. The sample well of each lane was loaded with 30 ug of sample under reducing conditions. Lane 1: human SiHa whole cell lysates, Lane 2: human 293T whole cell lysates, Lane 3: human HepG2 whole cell lysates, Lane 4: monkey COS-7 whole cell lysates, Lane 5: chicken heart tissue lysates, Lane 6: rat brain tissue lysates, Lane 7: rat PC-12 whole cell lysates, Lane 8: mouse brain tissue lysates, Lane 9: mouse NIH/3T3 whole cell lysates. After electrophoresis, proteins were transferred to a nitrocellulose membrane at 150 mA for 50-90 minutes. Blocked the membrane with 5% non-fat milk/TBS for 1.5 hour at RT. The membrane was incubated with rabbit anti-Beta Tubulin antigen affinity purified polyclonal antibody at 0.5 µg/mL overnight at 4°C, then washed with TBS-0.1% Tween 3 times with 5 minutes each and probed with a goat anti-rabbit IgG-HRP secondary antibody at a dilution of 1:5000 for 1.5 hour at RT. The signal is developed using an Enhanced Chemiluminescent detection (ECL) kit with Tanon 5200 system. A specific band was detected for Beta Tubulin at approximately 50 kDa. The expected band size for Beta Tubulin is at 50 kDa.
Quick Database Links
UniProt Details
−Documents Download
Request a Document
Protocol Information
Beta Tubulin/TUBB Rabbit Polyclonal Antibody (orb389435)
Participating in our Biorbyt product reviews program enables you to support fellow scientists by sharing your firsthand experience with our products.
Login to Submit a Review