You have no items in your shopping cart.
BID Antibody
Description
Images & Validation
−| Tested Applications | FC, ICC, IF, IHC, WB |
|---|---|
| Reactivity | Human, Mouse, Rat |
| Application Notes |
Key Properties
−| Antibody Type | Primary Antibody |
|---|---|
| Host | Rabbit |
| Clonality | Polyclonal |
| Isotype | Rabbit IgG |
| Immunogen | E.coli-derived human Bid recombinant protein (Position: M1-D195). Human Bid shares 64% and 61% amino acid (aa) sequences identity with mouse and rat Bid, respectively. |
| Molecular Weight | 22 kDa |
| Purification | Immunogen affinity purified. |
| Conjugation | Unconjugated |
Storage & Handling
−| Storage | Maintain refrigerated at 2-8°C for up to 2 weeks. For long term storage store at -20°C in small aliquots to prevent freeze-thaw cycles. |
|---|---|
| Form/Appearance | Lyophilized |
| Concentration | Adding 0.2 ml of distilled water will yield a concentration of 500 μg/ml. |
| Disclaimer | For research use only |
Alternative Names
−Similar Products
−Bid Antibody (BH3 Domain Specific) [orb1936953]
IHC-P, WB
Human, Mouse
Rabbit
Polyclonal
Unconjugated
100 μl, 50 μlBid Antibody (monoclonal, 10F4) [orb654293]
FC, ICC, IF, IHC, WB
Human
Mouse
Monoclonal
Unconjugated
100 μgBid Rabbit Polyclonal Antibody [orb10188]
FC, ICC, IF, IHC-Fr, IHC-P
Mouse, Rat
Human, Mouse, Rat
Rabbit
Polyclonal
Unconjugated
200 μl, 100 μl, 50 μl

Quality Guarantee
Explore bioreagents carefree to elevate your research. All our products are rigorously tested for performance. If a product does not perform as described on its datasheet, our scientific support team will provide expert troubleshooting, a prompt replacement, or a refund. For full details, please see our Terms & Conditions and Buying Guide. Contact us at support@biorbyt.com.

Flow Cytometry analysis of MCF-7 cells using anti-BID antibody (Blue line).Isotype control antibody (Green line) was rabbit IgG .Unlabelled sample (Red line) was also used as a control.

WB analysis of BID using anti-BID antibody.Lane 1:HELA Cell;2:COLO320 Cell;3:JURKAT Cell;4:SKOV Cell.

IF analysis of Bid using anti-Bid antibody. Bid was detected in immunocytochemical section of MCF-7 cells.

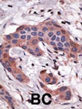
IHC analysis of BID using anti-BID antibody.BID was detected in paraffin-embedded section of human mammary cancer tissues.

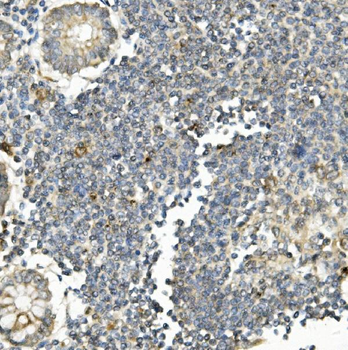
IHC analysis of BID using anti-BID antibody.BID was detected in paraffin-embedded section of mouse spleen tissues.

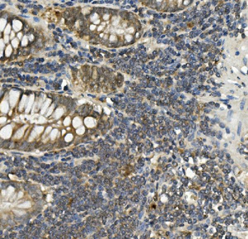
IHC analysis of BID using anti-BID antibody.BID was detected in paraffin-embedded section of rat intestine tissues.

IHC analysis of BID using anti-BID antibody.BID was detected in immunocytochemical section of A549 cell.
Quick Database Links
UniProt Details
−Documents Download
Request a Document
Protocol Information
BID Antibody (orb182359)
Participating in our Biorbyt product reviews program enables you to support fellow scientists by sharing your firsthand experience with our products.
Login to Submit a Review
























