You have no items in your shopping cart.
Calcitonin/CALCA Rabbit Polyclonal Antibody
Description
Research Area
Images & Validation
−| Tested Applications | IHC |
|---|---|
| Dilution Range | Immunohistochemistry (Paraffin-embedded Section), 0.5-1μg/ml, Human |
| Reactivity | Human |
Key Properties
−| Antibody Type | Primary Antibody |
|---|---|
| Host | Rabbit |
| Clonality | Polyclonal |
| Isotype | Rabbit IgG |
| Immunogen | A synthetic peptide corresponding to a sequence at the C-terminus of human Calcitonin, different from the related mouse and rat sequences by four amino acids. |
| Target | Calcitonin gene-related peptide 1 |
| Molecular Weight | 75 kDa, 45 kDa |
| Purification | Immunogen affinity purified. |
| Conjugation | Unconjugated |
Storage & Handling
−| Storage | Maintain refrigerated at 2-8°C for up to 2 weeks. For long term storage store at -20°C in small aliquots to prevent freeze-thaw cycles. |
|---|---|
| Form/Appearance | Lyophilized |
| Buffer/Preservatives | Each vial contains 4 mg Trehalose, 0.9 mg NaCl and 0.2 mg Na2HPO4. |
| Concentration | Adding 0.2 ml of distilled water will yield a concentration of 500 μg/ml. |
| Expiration Date | 12 months from date of receipt. |
| Disclaimer | For research use only |
Alternative Names
−Similar Products
−Calcitonin/Calca Rabbit Polyclonal Antibody [orb443096]
IHC
Human, Mouse, Rat
Rabbit
Polyclonal
Unconjugated
100 μgCalcitonin/CALCA Rabbit Polyclonal Antibody [orb371671]
IHC
Mouse, Rat
Rabbit
Polyclonal
Unconjugated
100 μgCalcitonin (I78) polyclonal antibody [orb643805]
IHC
Human
Rabbit
Polyclonal
Unconjugated
25 μl, 200 μl, 100 μl, 50 μlCalcitonin/Calca Rabbit Polyclonal Antibody (PE) [orb2611613]
FC
Human, Mouse, Rat
Rabbit
Polyclonal
PE
100 μgCalcitonin/Calca Rabbit Polyclonal Antibody (APC) [orb2611614]
FC
Human, Mouse, Rat
Rabbit
Polyclonal
APC
100 μg

Quality Guarantee
Explore bioreagents carefree to elevate your research. All our products are rigorously tested for performance. If a product does not perform as described on its datasheet, our scientific support team will provide expert troubleshooting, a prompt replacement, or a refund. For full details, please see our Terms & Conditions and Buying Guide. Contact us at support@biorbyt.com.

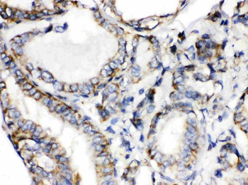
IHC analysis of Calcitonin using anti-Calcitonin antibody. Calcitonin was detected in a paraffin-embedded section of human thyroid cancer tissue. Heat mediated antigen retrieval was performed in EDTA buffer (pH8.0, epitope retrieval solution). The tissue section was blocked with 10% goat serum. The tissue section was then incubated with 1 µg/ml rabbit anti-Calcitonin Antibody overnight at 4°C. Biotinylated goat anti-rabbit IgG was used as secondary antibody and incubated for 30 minutes at 37°C. The tissue section was developed using Strepavidin-Biotin-Complex (SABC) with DAB as the chromogen.
Quick Database Links
UniProt Details
−Documents Download
Request a Document
Calcitonin/CALCA Rabbit Polyclonal Antibody (orb371670)
Participating in our Biorbyt product reviews program enables you to support fellow scientists by sharing your firsthand experience with our products.
Login to Submit a Review



