You have no items in your shopping cart.
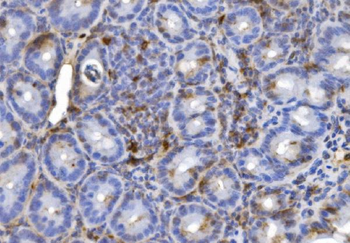
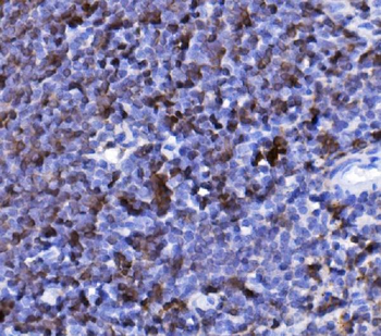
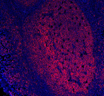
Anti-CD20/MS4A1 Antibody
SKU: orb2603088
Description
Images & Validation
−
| Tested Applications | ELISA, FC, IHC, WB |
|---|---|
| Reactivity | Human |
| Application Notes |
Key Properties
−| Antibody Type | Primary Antibody |
|---|---|
| Host | Rabbit |
| Clonality | Polyclonal |
| Isotype | Rabbit IgG |
| Immunogen | E.coli-derived human CD20/MS4A1 recombinant protein (Position: M1-P297). |
| Molecular Weight | 33 kDa |
| Purification | Immunogen affinity purified. |
| Conjugation | Biotin |
Storage & Handling
−| Storage | Store at -20°C for one year from date of receipt. After reconstitution, at 4°C for one month. It can also be aliquotted and stored frozen at -20°C for six months. Avoid repeated freeze-thaw cycles. |
|---|---|
| Form/Appearance | Lyophilized |
| Concentration | Adding 0.2 ml of distilled water will yield a concentration of 500 μg/ml. |
| Disclaimer | For research use only |
Alternative Names
−S-arrestin; 48 kDa protein; Retinal S-antigen; S-AG; Rod photoreceptor arrestin; SAG
Similar Products
−Goat anti-CD20 / MS4A1 (C Terminus) Antibody [orb18296]
ELISA, IHC, WB
Human
Goat
Polyclonal
Unconjugated
100 μgGoat anti-CD20 / MS4A1 (C Terminus), biotinylated Antibody [orb334081]
ELISA, WB
Human
Goat
Polyclonal
Unconjugated
100 μg

Quality Guarantee
Explore bioreagents carefree to elevate your research. All our products are rigorously tested for performance. If a product does not perform as described on its datasheet, our scientific support team will provide expert troubleshooting, a prompt replacement, or a refund. For full details, please see our Terms & Conditions and Buying Guide. Contact us at support@biorbyt.com.
Quick Database Links
UniProt
UniProt Details
− No UniProt data available
Documents Download
Datasheet
Product Information
Request a Document
Protocol Information
WB
Western Blot (IB, immunoblot)
IHC
Immunohistochemistry
FC
Flow Cytometry
ELISA
Enzyme-linked Immunosorbent Assay (EIA)
Anti-CD20/MS4A1 Antibody (orb2603088)
Based on 0 reviews
Participating in our Biorbyt product reviews program enables you to support fellow scientists by sharing your firsthand experience with our products.
Login to Submit a Review

















