You have no items in your shopping cart.
CD34 Rabbit Polyclonal Antibody
Description
Research Area
Images & Validation
−| Tested Applications | FC, IHC, IHC-Fr, WB |
|---|---|
| Dilution Range | Western blot, 0.1-0.5μg/ml, Human, Mouse, Rat Immunohistochemistry (Paraffin-embedded Section), 2-5μg/ml, Human, Mouse, Rat Immunohistochemistry (Frozen Section), 0.5-1μg/ml, Mouse, Rat, Human Flow Cytometry (Fixed), 1-3μg/1x10^6 cells, Human |
| Reactivity | Human, Mouse, Rat |
Key Properties
−| Antibody Type | Primary Antibody |
|---|---|
| Host | Rabbit |
| Clonality | Polyclonal |
| Isotype | Rabbit IgG |
| Immunogen | A synthetic peptide corresponding to a sequence at the C-terminus of human CD34, identical to the related mouse and rat sequences. |
| Target | Hematopoietic progenitor cell antigen CD34 |
| Molecular Weight | 105 kDa |
| Purification | Immunogen affinity purified. |
| Conjugation | Unconjugated |
Storage & Handling
−| Storage | Maintain refrigerated at 2-8°C for up to 2 weeks. For long term storage store at -20°C in small aliquots to prevent freeze-thaw cycles. |
|---|---|
| Form/Appearance | Lyophilized |
| Buffer/Preservatives | Each vial contains 5mg rAlbumin, 0.9mg NaCl, 0.2mg Na2HPO4, 0.05mg Thimerosal, 0.01mg NaN3. |
| Concentration | Adding 0.2 ml of distilled water will yield a concentration of 500 μg/ml. |
| Expiration Date | 12 months from date of receipt. |
| Disclaimer | For research use only |
Alternative Names
−Similar Products
−CD34 Rabbit Polyclonal Antibody [orb500821]
IF, IHC-Fr, IHC-P, WB
Canine
Human, Mouse, Rat
Rabbit
Polyclonal
Unconjugated
50 μl, 100 μl, 200 μlCD34 Rabbit Polyclonal Antibody [orb738369]
ELISA, IF, IHC, WB
Human, Rat
Rabbit
Polyclonal
Unconjugated
100 μgCD34 Rabbit Polyclonal Antibody [orb1294368]
IF, IHC, WB
Human, Mouse, Rat
Rabbit
Polyclonal
Unconjugated
100 μl, 25 μlCD34 Rabbit Polyclonal Antibody (FITC) [orb461547]
IF
Bovine, Canine, Porcine, Rabbit, Rat
Human, Mouse, Rat
Rabbit
Polyclonal
FITC
100 μl

Quality Guarantee
Explore bioreagents carefree to elevate your research. All our products are rigorously tested for performance. If a product does not perform as described on its datasheet, our scientific support team will provide expert troubleshooting, a prompt replacement, or a refund. For full details, please see our Terms & Conditions and Buying Guide. Contact us at support@biorbyt.com.

Immunohistochemical analysis of rat ileal sections using CD34 antibody [Reviews]

Western blot analysis of CD34 antibody Recombinant Human CD34 Protein 10ng(Lane1),Recombinant Human CD34 Protein 5ng(Lane2),ecombinant Human CD34 Protein 2.5ng(Lane3) lysate

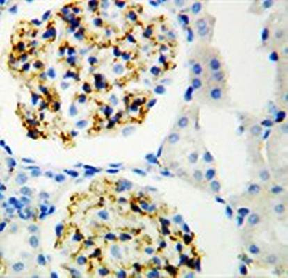
Immunohistochemical analysis of formalin fixed and paraffin embedded Rat Kidney tissue using CD34 antibody

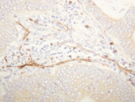
IHC-P of human mammary cancer tissue (CD34 antibody at 1:300)
Quick Database Links
UniProt Details
−Documents Download
Request a Document
Protocol Information
CD34 Rabbit Polyclonal Antibody (orb27549)
Participating in our Biorbyt product reviews program enables you to support fellow scientists by sharing your firsthand experience with our products.
Login to Submit a Review






































