You have no items in your shopping cart.
Epac1/RAPGEF3 Rabbit Polyclonal Antibody
Description
Research Area
Images & Validation
−| Tested Applications | ELISA, FC, WB |
|---|---|
| Dilution Range | Western blot, 0.25-0.5μg/ml, Human, Mouse, Rat, Monkey Flow Cytometry (Fixed), 1-3μg/1x10^6 cells, Human ELISA, 0.1-0.5μg/ml, - |
| Reactivity | Human, Monkey, Mouse, Rat |
Key Properties
−| Antibody Type | Primary Antibody |
|---|---|
| Host | Rabbit |
| Clonality | Polyclonal |
| Isotype | Rabbit IgG |
| Immunogen | E.coli-derived human Epac1/RAPGEF3 recombinant protein (Position: E451-D698). |
| Target | Rap guanine nucleotide exchange factor 3 |
| Molecular Weight | 104 kDa |
| Purification | Immunogen affinity purified. |
| Conjugation | Unconjugated |
Storage & Handling
−| Storage | Maintain refrigerated at 2-8°C for up to 2 weeks. For long term storage store at -20°C in small aliquots to prevent freeze-thaw cycles. |
|---|---|
| Form/Appearance | Lyophilized |
| Buffer/Preservatives | Each vial contains 4mg Trehalose, 0.9mg NaCl, 0.2mg Na2HPO4, 0.01mg NaN3. |
| Concentration | 500 µg/ml |
| Expiration Date | 12 months from date of receipt. |
| Disclaimer | For research use only |
Alternative Names
−Similar Products
−Epac1/RAPGEF3 Rabbit Polyclonal Antibody [orb763139]
ELISA, FC, ICC, IF, IHC, WB
Human, Monkey, Mouse
Rabbit
Polyclonal
Unconjugated
100 μgEpac1/RAPGEF3 Rabbit Polyclonal Antibody (PE) [orb2600885]
FC
Human, Monkey, Mouse
Rabbit
Polyclonal
PE
100 μgEpac1/RAPGEF3 Rabbit Polyclonal Antibody (APC) [orb2600886]
FC
Human, Monkey, Mouse
Rabbit
Polyclonal
APC
100 μgEpac1/RAPGEF3 Rabbit Polyclonal Antibody (HRP) [orb2600887]
ELISA, IHC, WB
Human, Monkey, Mouse
Rabbit
Polyclonal
HRP
100 μgEpac1/RAPGEF3 Rabbit Polyclonal Antibody (FITC) [orb2600888]
FC
Human, Monkey, Mouse
Rabbit
Polyclonal
FITC
100 μg

Quality Guarantee
Explore bioreagents carefree to elevate your research. All our products are rigorously tested for performance. If a product does not perform as described on its datasheet, our scientific support team will provide expert troubleshooting, a prompt replacement, or a refund. For full details, please see our Terms & Conditions and Buying Guide. Contact us at support@biorbyt.com.

Flow Cytometry analysis of U87 cells using anti-Epac1/RAPGEF3 antibody. Overlay histogram showing U87 cells (Blue line). The cells were fixed with 4% paraformaldehyde and blocked with 10% normal goat serum. And then incubated with rabbit anti-Epac1/RAPGEF3 Antibody (1 µg/1x10^6 cells) for 30 min at 20°C. DyLight®488 conjugated goat anti-rabbit IgG (5-10 µg/1x10^6 cells) was used as secondary antibody for 30 minutes at 20°C. Isotype control antibody (Green line) was rabbit IgG (1 µg/1x10^6) used under the same conditions. Unlabelled sample without incubation with primary antibody and secondary antibody (Red line) was used as a blank control.

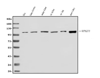
Western blot analysis of Epac1/RAPGEF3 using anti-Epac1/RAPGEF3 antibody. Electrophoresis was performed on a 5-20% SDS-PAGE gel at 70V (Stacking gel) / 90V (Resolving gel) for 2-3 hours. The sample well of each lane was loaded with 50 ug of sample under reducing conditions. Lane 1: human HELA whole cell lysates, Lane 2: human placenta tissue lysates, Lane 3: monkey kidney tissue lysates, Lane 4: rat kidney tissue lysates, Lane 5: rat lung tissue lysates, Lane 6: mouse kidney tissue lysates. After Electrophoresis, proteins were transferred to a Nitrocellulose membrane at 150 mA for 50-90 minutes. Blocked the membrane with 5% Non-fat Milk/ TBS for 1.5 hour at RT. The membrane was incubated with rabbit anti-Epac1/RAPGEF3 antigen affinity purified polyclonal antibody at 0.5 µg/mL overnight at 4°C, then washed with TBS-0.1% Tween 3 times with 5 minutes each and probed with a goat anti-rabbit IgG-HRP secondary antibody at a dilution of 1:5000 for 1.5 hour at RT. The signal is developed using an Enhanced Chemiluminescent detection (ECL) kit with Tanon 5200 system. A specific band was detected for Epac1/RAPGEF3 at approximately 104 KD. The expected band size for Epac1/RAPGEF3 is at 104 KD.
Quick Database Links
UniProt Details
−Documents Download
Request a Document
Protocol Information
Epac1/RAPGEF3 Rabbit Polyclonal Antibody (orb670324)
Participating in our Biorbyt product reviews program enables you to support fellow scientists by sharing your firsthand experience with our products.
Login to Submit a Review





