You have no items in your shopping cart.
HIF-2-alpha/EPAS1/HIF Rabbit Polyclonal Antibody
Description
Research Area
Images & Validation
−| Tested Applications | FC, WB |
|---|---|
| Dilution Range | Western blot, 0.25-0.5μg/ml, Mouse, Rat Flow Cytometry (Fixed), 1-3μg/1x10^6 cells, Human |
| Reactivity | Human, Mouse, Rat |
Key Properties
−| Antibody Type | Primary Antibody |
|---|---|
| Host | Rabbit |
| Clonality | Polyclonal |
| Isotype | Rabbit IgG |
| Immunogen | A synthetic peptide corresponding to a sequence at the C-terminus of human HIF-2-alpha/EPAS1, which shares 94.4% amino acid (aa) sequence identity with both mouse and rat HIF-2-alpha/EPAS1. |
| Target | Endothelial PAS domain-containing protein 1 |
| Molecular Weight | 96 kDa |
| Purification | Immunogen affinity purified. |
| Conjugation | Unconjugated |
Storage & Handling
−| Storage | Maintain refrigerated at 2-8°C for up to 2 weeks. For long term storage store at -20°C in small aliquots to prevent freeze-thaw cycles. |
|---|---|
| Form/Appearance | Lyophilized |
| Buffer/Preservatives | Each vial contains 4mg Trehalose, 0.9mg NaCl, 0.2mg Na2HPO4, 0.01mg NaN3. |
| Concentration | 500 µg/ml |
| Expiration Date | 12 months from date of receipt. |
| Disclaimer | For research use only |
Alternative Names
−Similar Products
−HIF-2-alpha/EPAS1/HIF Rabbit Polyclonal Antibody [orb96817]
WB
Human, Mouse, Rat
Rabbit
Polyclonal
Unconjugated
100 μgHIF-2-alpha/EPAS1/HIF Rabbit Polyclonal Antibody (PE) [orb2579780]
FC
Human, Mouse, Rat
Rabbit
Polyclonal
PE
100 μgHIF-2-alpha/EPAS1/HIF Rabbit Polyclonal Antibody (APC) [orb2579781]
FC
Human, Mouse, Rat
Rabbit
Polyclonal
APC
100 μgHIF-2-alpha/EPAS1/HIF Rabbit Polyclonal Antibody (HRP) [orb2579782]
ELISA, IHC, WB
Human, Mouse, Rat
Rabbit
Polyclonal
HRP
100 μgHIF-2-alpha/EPAS1/HIF Rabbit Polyclonal Antibody (FITC) [orb2579783]
FC
Human, Mouse, Rat
Rabbit
Polyclonal
FITC
100 μg

Quality Guarantee
Explore bioreagents carefree to elevate your research. All our products are rigorously tested for performance. If a product does not perform as described on its datasheet, our scientific support team will provide expert troubleshooting, a prompt replacement, or a refund. For full details, please see our Terms & Conditions and Buying Guide. Contact us at support@biorbyt.com.

Flow Cytometry analysis of SiHa cells using anti-HIF-2-Alpha/EPAS1 antibody. Overlay histogram showing SiHa cells (Blue line). To facilitate intracellular staining, cells were fixed with 4% paraformaldehyde and permeabilized with permeabilization buffer. The cells were blocked with 10% normal goat serum. And then incubated with rabbit anti-HIF-2-Alpha/EPAS1 Antibody (1 µg/1x10^6 cells) for 30 min at 20°C. DyLight®488 conjugated goat anti-rabbit IgG (5-10 µg/1x10^6 cells) was used as secondary antibody for 30 minutes at 20°C. Isotype control antibody (Green line) was rabbit IgG (1 µg/1x10^6) used under the same conditions. Unlabelled sample without incubation with primary antibody and secondary antibody (Red line) was used as a blank control.

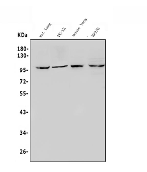
Western blot analysis of HIF-2-Alpha/EPAS1 using anti-HIF-2-Alpha/EPAS1 antibody. Electrophoresis was performed on a 5-20% SDS-PAGE gel at 70V (Stacking gel) / 90V (Resolving gel) for 2-3 hours. The sample well of each lane was loaded with 30 ug of sample under reducing conditions. Lane 1: rat lung tissue lysates, Lane 2: rat PC-12 whole cell lysates, Lane 3: mouse lung tissue lysates, Lane 4: mouse SP2/0 whole cell lysates. After Electrophoresis, proteins were transferred to a Nitrocellulose membrane at 150 mA for 50-90 minutes. Blocked the membrane with 5% Non-fat Milk/ TBS for 1.5 hour at RT. The membrane was incubated with rabbit anti-HIF-2-Alpha/EPAS1 antigen affinity purified polyclonal antibody at 0.5 µg/mL overnight at 4°C, then washed with TBS-0.1% Tween 3 times with 5 minutes each and probed with a goat anti-rabbit IgG-HRP secondary antibody at a dilution of 1:5000 for 1.5 hour at RT. The signal is developed using an Enhanced Chemiluminescent detection (ECL) kit with Tanon 5200 system. A specific band was detected for HIF-2-Alpha/EPAS1 at approximately 96 KD. The expected band size for HIF-2-Alpha/EPAS1 is at 96 KD.
Quick Database Links
UniProt Details
−Documents Download
Request a Document
Protocol Information
HIF-2-alpha/EPAS1/HIF Rabbit Polyclonal Antibody (orb654423)
Participating in our Biorbyt product reviews program enables you to support fellow scientists by sharing your firsthand experience with our products.
Login to Submit a Review



