You have no items in your shopping cart.
IL18 Rabbit Polyclonal Antibody
Description
Research Area
Images & Validation
−| Tested Applications | ICC, IF, IHC, WB |
|---|---|
| Dilution Range | Western blot, 0.1-0.5μg/ml, Human Immunohistochemistry (Paraffin-embedded Section), 2-5μg/ml, Human Immunocytochemistry/Immunofluorescence, 5 μg/ml, Human |
| Reactivity | Human |
Key Properties
−| Antibody Type | Primary Antibody |
|---|---|
| Host | Rabbit |
| Clonality | Polyclonal |
| Isotype | Rabbit IgG |
| Immunogen | E.coli-derived human IL-18 recombinant protein (Position: Y37-D193). Human IL-18 shares 66% and 64% amino acid (aa) sequences identity with mouse and rat IL-18, respectively. |
| Target | Interleukin-18 |
| Molecular Weight | 22 kDa |
| Purification | Immunogen affinity purified. |
| Conjugation | Unconjugated |
Storage & Handling
−| Storage | Maintain refrigerated at 2-8°C for up to 2 weeks. For long term storage store at -20°C in small aliquots to prevent freeze-thaw cycles. |
|---|---|
| Form/Appearance | Lyophilized |
| Buffer/Preservatives | Each vial contains 4 mg Trehalose, 0.9 mg NaCl and 0.2 mg Na2HPO4. |
| Concentration | Adding 0.2 ml of distilled water will yield a concentration of 500 μg/ml. |
| Expiration Date | 12 months from date of receipt. |
| Disclaimer | For research use only |
Alternative Names
−Similar Products
−IL18 Rabbit Polyclonal Antibody [orb10899]
WB
Human
Human
Rabbit
Polyclonal
Unconjugated
50 μl, 100 μl, 200 μlPre IL18 Rabbit Polyclonal Antibody [orb395473]
ELISA, IF, IHC, IP, WB
Human, Rat
Rabbit
Polyclonal
Unconjugated
50 μg, 100 μgIL18 rabbit pAb Antibody [orb773747]
ELISA, IF, WB
Human, Mouse, Rat
Polyclonal
Unconjugated
50 μl, 100 μlIL18 Rabbit Polyclonal Antibody [orb614123]
ELISA, FC, WB
Mouse, Rat
Rabbit
Polyclonal
Unconjugated
100 μgIL18 Rabbit Polyclonal Antibody [orb180712]
ELISA, IHC, WB
Mouse, Rat
Rabbit
Polyclonal
Unconjugated
100 μg

Quality Guarantee
Explore bioreagents carefree to elevate your research. All our products are rigorously tested for performance. If a product does not perform as described on its datasheet, our scientific support team will provide expert troubleshooting, a prompt replacement, or a refund. For full details, please see our Terms & Conditions and Buying Guide. Contact us at support@biorbyt.com.

ICC analysis of IL18 using anti-IL18 antibody.IL18 was detected in an immunocytochemical section of blood cells.Biotinylated goat anti-rabbit IgG was used as secondary antibody.

WB analysis of IL18 using anti-IL18 antibody.Lane 1:human HeLa cell.

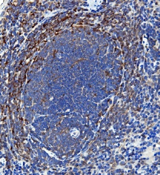
IHC analysis of IL18 using anti-IL18 antibody. IL18 was detected in a paraffin-embedded section of human tonsil tissue.
Quick Database Links
UniProt Details
−Documents Download
Request a Document
Protocol Information
IL18 Rabbit Polyclonal Antibody (orb180704)
Participating in our Biorbyt product reviews program enables you to support fellow scientists by sharing your firsthand experience with our products.
Login to Submit a Review














