You have no items in your shopping cart.
LAMP1 Rabbit Polyclonal Antibody
Description
Research Area
Images & Validation
−| Tested Applications | WB |
|---|---|
| Dilution Range | Western blot, 0.1-0.5μg/ml, Human, Mouse |
| Reactivity | Human, Mouse |
Key Properties
−| Antibody Type | Primary Antibody |
|---|---|
| Host | Rabbit |
| Clonality | Polyclonal |
| Isotype | Rabbit IgG |
| Immunogen | A synthetic peptide corresponding to a sequence at the C-terminus of human LAMP1, different from the related mouse and rat sequences by one amino acid. |
| Target | Lysosome-associated membrane glycoprotein 1 |
| Molecular Weight | 90-120 kDa (Glycosylation) |
| Purification | Immunogen affinity purified. |
| Conjugation | Unconjugated |
Storage & Handling
−| Storage | Maintain refrigerated at 2-8°C for up to 2 weeks. For long term storage store at -20°C in small aliquots to prevent freeze-thaw cycles. |
|---|---|
| Form/Appearance | Lyophilized |
| Buffer/Preservatives | Each vial contains 4 mg Trehalose, 0.9 mg NaCl and 0.2 mg Na2HPO4. |
| Concentration | Adding 0.2 ml of distilled water will yield a concentration of 500 μg/ml. |
| Expiration Date | 12 months from date of receipt. |
| Disclaimer | For research use only |
Alternative Names
−Similar Products
−LAMP1 Rabbit Polyclonal Antibody [orb13749]
FC, ICC, IF, IHC-Fr, IHC-P, WB
Mouse, Porcine
Human
Rabbit
Polyclonal
Unconjugated
200 μl, 50 μl, 100 μlCD107a rabbit pAb Antibody [orb766865]
ELISA, WB
Human, Mouse, Rat
Polyclonal
Unconjugated
50 μl, 100 μlLAMP1 Rabbit Polyclonal Antibody [orb584161]
IHC, WB
Bovine, Canine, Porcine, Rabbit
Human, Mouse
Rabbit
Polyclonal
Unconjugated
100 μlLAMP1 Rabbit Polyclonal Antibody [orb1973125]
IF, IHC, WB
Human, Mouse, Rat
Rabbit
Polyclonal
Unconjugated
25 μl, 100 μlLAMP1 Rabbit Polyclonal Antibody [orb628365]
ELISA, IF, IHC, WB
Human, Mouse, Rat
Rabbit
Polyclonal
Unconjugated
50 μg, 100 μg

Quality Guarantee
Explore bioreagents carefree to elevate your research. All our products are rigorously tested for performance. If a product does not perform as described on its datasheet, our scientific support team will provide expert troubleshooting, a prompt replacement, or a refund. For full details, please see our Terms & Conditions and Buying Guide. Contact us at support@biorbyt.com.

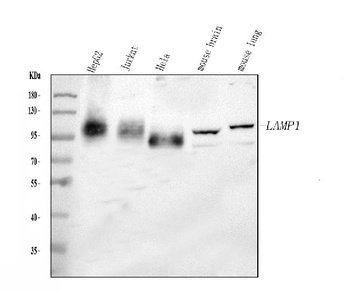
Western blot analysis of LAMP1 using anti-LAMP1 antibody (orb76335). Electrophoresis was performed on a 5-20% SDS-PAGE gel at 70V (Stacking gel)/90V (Resolving gel) for 2-3 hours. The sample well of each lane was loaded with 30 ug of sample under reducing conditions. Lane 1: human HepG2 whole cell lysates, Lane 2: human Jurkat whole cell lysates, Lane 3: human HeLa whole cell lysates, Lane 4: mouse brain tissue lysates, Lane 5: mouse lung tissue lysates. After electrophoresis, proteins were transferred to a nitrocellulose membrane at 150 mA for 50-90 minutes. Blocked the membrane with 5% non-fat milk/TBS for 1.5 hour at RT. The membrane was incubated with rabbit anti-LAMP1 antigen affinity purified polyclonal antibody (Catalog # orb76335) at 0.5 μg/mL overnight at 4°C, then washed with TBS-0.1%Tween 3 times with 5 minutes each and probed with a goat anti-rabbit IgG-HRP secondary antibody at a dilution of 1:5000 for 1.5 hour at RT. The signal is developed using an Enhanced Chemiluminescent detection (ECL) kit (Catalog # orb90503) with Tanon 5200 system. A specific band was detected for LAMP1 at approximately 90-120 kDa (Glycosylation). The expected band size for LAMP1 is at 42 kDa.
Quick Database Links
UniProt Details
−Documents Download
Request a Document
LAMP1 Rabbit Polyclonal Antibody (orb76335)
Participating in our Biorbyt product reviews program enables you to support fellow scientists by sharing your firsthand experience with our products.
Login to Submit a Review










