You have no items in your shopping cart.
Oct4/POU5F1 Rabbit Polyclonal Antibody
Description
Research Area
Images & Validation
−| Tested Applications | WB |
|---|---|
| Dilution Range | Western blot, 0.25-0.5 μg/ml, Human, Mouse, Rat |
| Reactivity | Human, Mouse, Rat |
Key Properties
−| Antibody Type | Primary Antibody |
|---|---|
| Host | Rabbit |
| Clonality | Polyclonal |
| Isotype | Rabbit IgG |
| Immunogen | A synthetic peptide corresponding to a sequence in the middle region of human Oct4/POU5F1, which shares 94.1% amino acid (aa) sequence identity with mouse POU5F1. |
| Target | POU domain, class 5, transcription factor 1 |
| Molecular Weight | 39-45 kDa |
| Purification | Immunogen affinity purified. |
| Conjugation | Unconjugated |
Storage & Handling
−| Storage | Maintain refrigerated at 2-8°C for up to 2 weeks. For long term storage store at -20°C in small aliquots to prevent freeze-thaw cycles. |
|---|---|
| Form/Appearance | Lyophilized |
| Buffer/Preservatives | Each vial contains 4 mg Trehalose, 0.9 mg NaCl, 0.2 mg Na2HPO4. |
| Concentration | Adding 0.2 ml of distilled water will yield a concentration of 500 μg/ml. |
| Expiration Date | 12 months from date of receipt. |
| Disclaimer | For research use only |
Alternative Names
−Similar Products
−Oct4/POU5F1 Rabbit Polyclonal Antibody [orb570346]
ELISA, FC, WB
Human, Mouse, Rat
Rabbit
Polyclonal
Unconjugated
100 μgOct4/POU5F1 Rabbit Polyclonal Antibody (Fluoro647) [orb3119689]
FC
Human, Mouse, Rat
Rabbit
Polyclonal
Fluoro647
100 μgOct4/POU5F1 Rabbit Polyclonal Antibody (Fluoro594) [orb3119690]
FC
Human, Mouse, Rat
Rabbit
Polyclonal
Fluoro594
100 μgOct4/POU5F1 Rabbit Polyclonal Antibody (Fluoro550) [orb3119691]
FC
Human, Mouse, Rat
Rabbit
Polyclonal
Fluoro550
100 μgOct4/POU5F1 Rabbit Polyclonal Antibody (Fluoro488) [orb3119692]
FC
Human, Mouse, Rat
Rabbit
Polyclonal
Fluoro488
100 μg

Quality Guarantee
Explore bioreagents carefree to elevate your research. All our products are rigorously tested for performance. If a product does not perform as described on its datasheet, our scientific support team will provide expert troubleshooting, a prompt replacement, or a refund. For full details, please see our Terms & Conditions and Buying Guide. Contact us at support@biorbyt.com.

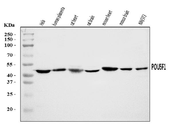
Western blot analysis of Oct4/POU5F1 using anti-Oct4/POU5F1 antibody. Electrophoresis was performed on a 5-20% SDS-PAGE gel at 70V (Stacking gel) / 90V (Resolving gel) for 2-3 hours. The sample well of each lane was loaded with 30 ug of sample under reducing conditions. Lane 1: human Hela whole cell lysates, Lane 2: human placenta tissue lysates, Lane 3: rat heart tissue lysates, Lane 4: rat brain tissue lysates, Lane 5: mouse heart tissue lysates, Lane 6: mouse brain tissue lysates, Lane 7: mouse NIH/3T3 whole cell lysates. After electrophoresis, proteins were transferred to a nitrocellulose membrane at 150 mA for 50-90 minutes. Blocked the membrane with 5% non-fat milk/TBS for 1.5 hour at RT. The membrane was incubated with rabbit anti-Oct4/POU5F1 antigen affinity purified polyclonal antibody at 0.5 µg/mL overnight at 4°C, then washed with TBS-0.1% Tween 3 times with 5 minutes each and probed with a goat anti-rabbit IgG-HRP secondary antibody at a dilution of 1:5000 for 1.5 hour at RT. The signal is developed using an Enhanced Chemiluminescent detection (ECL) kit with Tanon 5200 system. A specific band was detected for Oct4/POU5F1 at approximately 39-45 kDa. The expected band size for Oct4/POU5F1 is at 39 kDa.
Quick Database Links
UniProt Details
−Documents Download
Request a Document
Oct4/POU5F1 Rabbit Polyclonal Antibody (orb865716)
Participating in our Biorbyt product reviews program enables you to support fellow scientists by sharing your firsthand experience with our products.
Login to Submit a Review

