You have no items in your shopping cart.
Description
Research Area
Images & Validation
−| Tested Applications | ELISA, WB |
|---|---|
| Dilution Range | Western blot, 0.25-0.5 μg/ml, Human, Rat ELISA, 0.1-0.5 μg/ml, - |
| Reactivity | Human, Rat |
Key Properties
−| Antibody Type | Primary Antibody |
|---|---|
| Host | Rabbit |
| Clonality | Polyclonal |
| Isotype | Rabbit IgG |
| Immunogen | E.coli-derived human SOX2 recombinant protein (Position: G185-N208). |
| Target | Transcription factor SOX-2 |
| Molecular Weight | 36 kDa |
| Purification | Immunogen affinity purified. |
| Conjugation | Unconjugated |
Storage & Handling
−| Storage | Maintain refrigerated at 2-8°C for up to 2 weeks. For long term storage store at -20°C in small aliquots to prevent freeze-thaw cycles. |
|---|---|
| Form/Appearance | Lyophilized |
| Buffer/Preservatives | Each vial contains 4 mg Trehalose, 0.9 mg NaCl, 0.2 mg Na2HPO4. |
| Concentration | Adding 0.2 ml of distilled water will yield a concentration of 500 μg/ml. |
| Expiration Date | 12 months from date of receipt. |
| Disclaimer | For research use only |
Alternative Names
−Similar Products
−SOX2 Rabbit Polyclonal Antibody [orb11398]
IHC-P, WB
Human, Mouse, Rat
Rabbit
Polyclonal
Unconjugated
100 μgSOX2 Rabbit Polyclonal Antibody [orb33646]
IHC-P, WB
Human, Mouse, Rat
Rabbit
Polyclonal
Unconjugated
100 μgSOX2 Rabbit Polyclonal Antibody [orb500791]
IF, IHC-Fr, IHC-P
Bovine, Canine, Equine, Gallus, Human, Sheep
Mouse, Rat
Rabbit
Polyclonal
Unconjugated
50 μl, 100 μl, 200 μlSOX2 Rabbit Polyclonal Antibody [orb573909]
IHC, WB
Bovine, Canine, Equine, Goat, Porcine, Rabbit, Rat, Sheep, Zebrafish
Frog, Human, Mouse
Rabbit
Polyclonal
Unconjugated
100 μlSOX2 Rabbit Polyclonal Antibody [orb576582]
IHC, WB
Bovine, Canine, Equine, Goat, Guinea pig, Rabbit, Rat, Sheep, Zebrafish
Human, Mouse
Rabbit
Polyclonal
Unconjugated
100 μl

Quality Guarantee
Explore bioreagents carefree to elevate your research. All our products are rigorously tested for performance. If a product does not perform as described on its datasheet, our scientific support team will provide expert troubleshooting, a prompt replacement, or a refund. For full details, please see our Terms & Conditions and Buying Guide. Contact us at support@biorbyt.com.

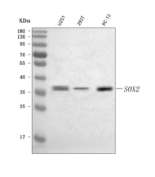
Western blot analysis of SOX2 using anti-SOX2 antibody. Electrophoresis was performed on a 5-20% SDS-PAGE gel at 70V (Stacking gel) / 90V (Resolving gel) for 2-3 hours. The sample well of each lane was loaded with 30 ug of sample under reducing conditions. Lane 1: human U251 whole cell lysates, Lane 2: human 293T whole cell lysates, Lane 3: rat PC-12 whole cell lysates. After electrophoresis, proteins were transferred to a nitrocellulose membrane at 150 ma for 50-90 minutes. Blocked the membrane with 5% non-fat milk/TBS for 1.5 hour at RT. The membrane was incubated with rabbit anti-SOX2 antigen affinity purified poly clonal antibody at 0.5 µg/ml overnight at 4°C, then washed with TBS-0.1% Tween 3 times with 5 minutes each and probed with a goat anti-rabbit ING-HRP secondary antibody at a dilution of 1:5000 for 1.5 hour at RT. The signal is developed using an Enhanced Luminescence detection (ECL) kit with Anon 5200 system. A specific band was detected for SOX2 at approximately 36 kDa. The expected band size for SOX2 is at 34 kDa.
Quick Database Links
UniProt Details
−Documents Download
Request a Document
Protocol Information
SOX2 Rabbit Polyclonal Antibody (orb1743881)
Participating in our Biorbyt product reviews program enables you to support fellow scientists by sharing your firsthand experience with our products.
Login to Submit a Review







































