You have no items in your shopping cart.
BSG Rabbit Polyclonal Antibody
Description
Research Area
Images & Validation
−| Tested Applications | WB |
|---|---|
| Reactivity | Human |
| Predicted Reactivity | Bovine |
Key Properties
−| Host | Rabbit |
|---|---|
| Clonality | Polyclonal |
| Immunogen | The immunogen is a synthetic peptide directed towards the middle region of Human BSG |
| Target | BSG |
| Protein Sequence | Synthetic peptide located within the following region: KILLTCSLNDSATEVTGHRWLKGGVVLKEDALPGQKTEFKVDSDDQWGEY |
| Molecular Weight | 42kDa |
| Purification | Affinity Purified |
| Conjugation | Unconjugated |
Storage & Handling
−| Storage | Maintain refrigerated at 2-8°C for up to 2 weeks. For long term storage store at -20°C in small aliquots to prevent freeze-thaw cycles. |
|---|---|
| Buffer/Preservatives | Liquid. Purified antibody supplied in 1x PBS buffer with 0.09% (w/v) sodium azide and 2% sucrose. |
| Concentration | 0.5 mg/ml |
| Expiration Date | 12 months from date of receipt. |
| Disclaimer | For research use only |
Alternative Names
−Similar Products
−CD147/Emmprin/BSG Rabbit Polyclonal Antibody [orb389463]
ELISA, FC, ICC, IF, IHC, WB
Human
Rabbit
Polyclonal
Unconjugated
100 μgCD147/Bsg Rabbit Polyclonal Antibody [orb763018]
ELISA, FC, IF, IHC, WB
Mouse, Rat
Rabbit
Polyclonal
Unconjugated
100 μgCD147 Rabbit Polyclonal Antibody [orb10297]
IF, IHC-Fr, IHC-P, WB
Bovine, Canine, Gallus, Guinea pig, Porcine, Rabbit
Human, Mouse, Rat
Rabbit
Polyclonal
Unconjugated
100 μl, 200 μl, 50 μlEMMPRIN rabbit pAb Antibody [orb765132]
ELISA, IF, IHC, WB
Human, Mouse, Rat
Polyclonal
Unconjugated
100 μl, 50 μlEMMPRIN rabbit pAb Antibody [orb767076]
ELISA, IF, IHC, WB
Human, Mouse, Rat
Polyclonal
Unconjugated
100 μl

Quality Guarantee
Explore bioreagents carefree to elevate your research. All our products are rigorously tested for performance. If a product does not perform as described on its datasheet, our scientific support team will provide expert troubleshooting, a prompt replacement, or a refund. For full details, please see our Terms & Conditions and Buying Guide. Contact us at support@biorbyt.com.

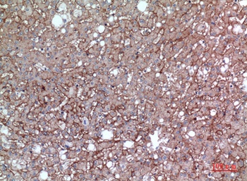
Sample Tissue: Human MCF7 Whole Cell, Antibody dilution: 0.5 ug/ml.

WB Suggested Anti-BSG Antibody, Titration: 0.125 ug/ml, Positive Control: 721_B Whole Cell.
Documents Download
Request a Document
BSG Rabbit Polyclonal Antibody (orb584440)
Participating in our Biorbyt product reviews program enables you to support fellow scientists by sharing your firsthand experience with our products.
Login to Submit a Review





























