You have no items in your shopping cart.
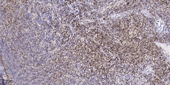
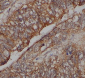
CARD11 Rabbit Polyclonal Antibody
SKU: orb100334
Description
Images & Validation
−
| Tested Applications | ELISA, IF, IHC-Fr, IHC-P, WB |
|---|---|
| Dilution range | WB=1:500-2000, IHC-P=1:100-500, IHC-F=1:100-500, IF=1:100-500, ELISA=1:5000-10000 |
| Reactivity | Human |
| Predicted Reactivity | Bovine, Canine, Gallus, Human, Mouse, Rat |
Related Conjugates & Formulations
−Key Properties
−| Antibody Type | Primary Antibody |
|---|---|
| Host | Rabbit |
| Clonality | Polyclonal |
| Isotype | IgG |
| Immunogen | KLH conjugated synthetic peptide derived from human CARD11 (301-400/1154aa) |
| Target | CARD11 |
| Molecular Weight | 133 kDa |
| Purification | Affinity purified by Protein A |
| Conjugation | Unconjugated |
Storage & Handling
−| Storage | Maintain refrigerated at 2-8°C for up to 2 weeks. For long term storage store at -20°C in small aliquots to prevent freeze-thaw cycles. |
|---|---|
| Form/Appearance | Liquid |
| Buffer/Preservatives | 0.01M TBS (pH7.4) with 1% rAlbumin, 0.02% Proclin300 and 50% Glycerol. |
| Concentration | 1mg/ml |
| Disclaimer | For research use only |
Alternative Names
−Bcl10 interacting maguk protein 3; BIMP 3; BIMP3; CAR11_HUMAN; CARD 11; CARD containing MAGUK protein 3; Card maguk protein 1; CARD-containing MAGUK protein 1; CARD11; CARD11 protein; Carma 1; CARMA1; Caspase recruitment domain containing protein 11; Caspase recruitment domain family member 11; Caspase recruitment domain-containing protein 11; MGC133069.
Similar Products
−CARD11 Rabbit Polyclonal Antibody [orb588943]
WB
Human
Human, Mouse
Rabbit
Polyclonal
Unconjugated
100 μlCARD11 Antibody [orb625420]
ELISA, IF, IHC, WB
Human, Mouse, Rat
Rabbit
Polyclonal
Unconjugated
100 μg, 50 μgCARD11 Antibody [orb670629]
ELISA, IF, IHC, WB
Human, Mouse
Rabbit
Polyclonal
Unconjugated
50 μg, 100 μg

Quality Guarantee
Explore bioreagents carefree to elevate your research. All our products are rigorously tested for performance. If a product does not perform as described on its datasheet, our scientific support team will provide expert troubleshooting, a prompt replacement, or a refund. For full details, please see our Terms & Conditions and Buying Guide. Contact us at support@biorbyt.com.
Quick Database Links
Gene Symbol
CARD11
UniProt
UniProt Details
− No UniProt data available
Documents Download
Datasheet
Product Information
Request a Document
Protocol Information
WB
Western Blot (IB, immunoblot)
IHC-P
Immunohistochemistry Paraffin
IHC-Fr
Immunohistochemistry Frozen
IF
Immunofluorescence
ELISA
Enzyme-linked Immunosorbent Assay (EIA)
CARD11 Rabbit Polyclonal Antibody (orb100334)
Based on 0 reviews
Participating in our Biorbyt product reviews program enables you to support fellow scientists by sharing your firsthand experience with our products.
Login to Submit a Review







