You have no items in your shopping cart.
Caspase-8 subunit p10 Rabbit Polyclonal Antibody
Description
Research Area
Images & Validation
−| Tested Applications | FC, ICC, IF, IHC-Fr, IHC-P, WB |
|---|---|
| Dilution Range | WB=1:500-2000, IHC-P=1:100-500, IHC-F=1:100-500, ICC/IF=1:100-500, IF=1:100-500, Flow-Cyt=1μg/Test |
| Reactivity | Human, Mouse, Rat |
| Predicted Reactivity | Human, Rat |
Related Conjugates & Formulations
−Key Properties
−| Antibody Type | Primary Antibody |
|---|---|
| Host | Rabbit |
| Clonality | Polyclonal |
| Isotype | IgG |
| Immunogen | KLH conjugated synthetic peptide derived from mouse Caspase-8 subunit p10 (351-420/480aa) |
| Target | CASP8 |
| Molecular Weight | 12/55 kDa |
| Purification | Affinity purified by Protein A |
| Conjugation | Unconjugated |
Storage & Handling
−| Storage | Maintain refrigerated at 2-8°C for up to 2 weeks. For long term storage store at -20°C in small aliquots to prevent freeze-thaw cycles. |
|---|---|
| Form/Appearance | Liquid |
| Buffer/Preservatives | 0.01M TBS (pH7.4) with 1% rAlbumin, 0.02% Proclin300 and 50% Glycerol. |
| Concentration | 1mg/ml |
| Expiration Date | 12 months from date of receipt. |
| Disclaimer | For research use only |
Alternative Names
−Similar Products
−Caspase 8 Rabbit Polyclonal Antibody [orb10241]
FC, IF, IHC-Fr, IHC-P, WB
Bovine, Canine, Equine, Mouse, Porcine
Human, Rat
Rabbit
Polyclonal
Unconjugated
200 μl, 50 μl, 100 μlCaspase-8/CASP8 Rabbit Polyclonal Antibody [orb47991]
IHC, WB
Human
Rabbit
Polyclonal
Unconjugated
100 μgCaspase-8/CASP8 Rabbit Polyclonal Antibody [orb76248]
IHC, WB
Human
Rabbit
Polyclonal
Unconjugated
100 μgCaspase-8/CASP8 Rabbit Polyclonal Antibody [orb18162]
WB
Human, Mouse, Rat
Rabbit
Polyclonal
Unconjugated
100 μg

Quality Guarantee
Explore bioreagents carefree to elevate your research. All our products are rigorously tested for performance. If a product does not perform as described on its datasheet, our scientific support team will provide expert troubleshooting, a prompt replacement, or a refund. For full details, please see our Terms & Conditions and Buying Guide. Contact us at support@biorbyt.com.

Blank control: K562 (fixed with 80% methanol (5 min) and and then permeabilized with 0.01M PBS-Tween for 20 min). Primary Antibody: Rabbit Anti-caspase-8 antibody (orb500973, Green), dilution: 1 µg in 100 µl 1X PBS containing 0.5% BSA, Isotype Control Antibody: Rabbit IgG (orange), used under the same conditions, Secondary Antibody: Goat anti-rabbit IgG-FITC (white blue), dilution: 1:200 in 1X PBS containing 0.5% BSA.

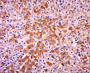
Paraformaldehyde-fixed, paraffin embedded (rat liver), Antigen retrieval by boiling in sodium citrate buffer (pH6.0) for 15 min, Block endogenous peroxidase by 3% hydrogen peroxide for 20 minutes, Blocking buffer (normal goat serum) at 37°C for 30 min, Antibody incubation with (Caspase 8) Polyclonal Antibody, Unconjugated (orb500973) at 1:500 overnight at 4°C, followed by a conjugated secondary for 20 minutes and DAB staining.

Raw264.7 cell, 4% Paraformaldehyde-fixed, Triton X-100 at room temperature for 20 min, Blocking buffer (normal goat serum) at 37°C for 20 min, Antibody incubation with (Caspase-8 subunit p10) polyclonal Antibody, Unconjugated (orb500973) 1:100, 90 minutes at 37°C, followed by a conjugated Goat Anti-Rabbit IgG antibody at 37°C for 90 minutes, DAPI (blue) was used to stain the cell nuclei.

Sample: Thymus (Mouse) Lysate at 40 ug, Primary: Anti-Caspase 8 (orb500973) at 1/300 dilution, Secondary: IRDye800CW Goat Anti-Rabbit IgG at 1/20000 dilution, Predicted band size: 12, 55 kD, Observed band size: 17 kD.
Quick Database Links
UniProt Details
−Documents Download
Request a Document
Protocol Information
Caspase-8 subunit p10 Rabbit Polyclonal Antibody (orb500973)
Participating in our Biorbyt product reviews program enables you to support fellow scientists by sharing your firsthand experience with our products.
Login to Submit a Review








