You have no items in your shopping cart.
CD133 antibody
Description
Images & Validation
−| Tested Applications | ELISA, ICC, IF, IHC-P, WB |
|---|---|
| Dilution Range | IHC-P:1:200, WB: 1:500, IF/ICC: 1:200 |
| Reactivity | Human, Mouse, Rat |
Key Properties
−| Host | Rabbit |
|---|---|
| Clonality | Polyclonal |
| Isotype | IgG |
| Immunogen | KLH conjugated synthetic peptide derived from human CD133. Please contact us for the exact immunogen sequence. The peptide is available as orb374954. |
| Target | CD133. Human;Mouse;Rat. No cross reactivity with other proteins. |
| Molecular Weight | 95 kDa |
| Purity | Polyclonal antibodies are purified by peptide affinity chromatography |
| Conjugation | Unconjugated |
Storage & Handling
−| Storage | Maintain refrigerated at 2-8°C for up to 2 weeks. For long term storage store at -20°C in small aliquots to prevent freeze-thaw cycles. |
|---|---|
| Form/Appearance | 10 mM PBS, 0.02% sodium azide, 10 mg/ml rAlbumin |
| Concentration | - 100 μg (in 100 μl): 1 mg/ml- 200 μg (in 200 μl): 1 mg/ml |
| Expiration Date | 12 months from date of receipt. |
| Disclaimer | For research use only |
Alternative Names
−Similar Products
−CD133 Rabbit Polyclonal Antibody [orb526485]
FC, WB
Rat
Human, Mouse
Rabbit
Polyclonal
Unconjugated
50 μl, 100 μl, 200 μlCD133 Rabbit Polyclonal Antibody [orb1294396]
IF, IHC, WB
Human, Mouse, Rat
Rabbit
Polyclonal
Unconjugated
100 μl, 25 μl

Quality Guarantee
Explore bioreagents carefree to elevate your research. All our products are rigorously tested for performance. If a product does not perform as described on its datasheet, our scientific support team will provide expert troubleshooting, a prompt replacement, or a refund. For full details, please see our Terms & Conditions and Buying Guide. Contact us at support@biorbyt.com.

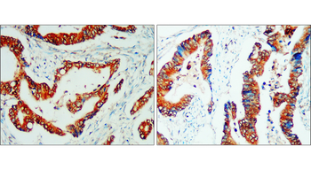
Immunohistochemical analysis of paraffin-embedded human mammary cancer tissue using CD133 antibody

IHC-P analysis of mouse heart tissue using CD133 antibody (Primary antibody diluted to 1:100)

Western blot analysis of human cancer cell lysates using CD133 antibody [Reviews]

WB analysis of rat small intestine tissue using CD133 antibody (dilution at 1:200-1:1000 based on 1mg/mL)

Western Blot on human cells using CD133 antibody (Protocol steps under Review A) [Reviews]

IF analysis analysis of mouse lung tissue using CD133 antibody (Dilution of primary antibody 1:200)

IHC-P analysis of mouse liver tissue using CD133 antibody (Dilution of primary antibody 1:100)

IHC-P analysis of mouse liver tissue using CD133 antibody (Primary antibody at 1:100)

Immunohistochemical staining of paraffin embedded human breast cancer tissue using anti-CD206 (primary antibody at 1:200)

IHC-P analysis of mouse heart tissue using CD133 antibody (Primary antibody at 1:100)

IHC-P analysis of mouse brain tissue using CD133 antibody (Dilution of primary antibody 1:100)

Immunofluorescent analysis of mouse brain tissue using CD133 antibody (Primary antibody diluted to 1:200)

Immunohistochemical analysis of formalin-fixed and paraffin embedded mouse skin tissue using CD133 antibody (Dilution of primary antibody 1:100)

IHC-P analysis of human lung cancer tissue using CD133 antibody (Dilution of primary antibody 1:100)

Immunohistochemical analysis of formalin-fixed and paraffin embedded human muscle tissue using CD133 antibody (Primary antibody diluted to 1:200)

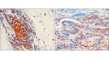
IHC-P analysis of human colonic adenocarcinoma tissue using CD133 antibody (Primary antibody at 1:100)

IHC-P analysis of human muscle tissue using CD133 antibody (Primary antibody at 1:100)

Immunohistochemical analysis of formalin-fixed and paraffin embedded human colonic adenocarcinoma tissue using CD133 antibody (Dilution of primary antibody 1:100)

IHC-P analysis of human lung cancer tissue using CD133 antibody (Primary antibody diluted to 1:100)

IHC-P analysis of human muscle tissue using CD133 antibody (Primary antibody diluted to 1:100)

IHC-P analysis of human colonic adenocarcinoma tissue using CD133 antibody (Primary antibody at 1:100)

Western blot analysis of human muscle (Lane1), Rat muscle (Lane2), Rat bladder (Lane3) using CD133 antibody (Dilution at: 1:500)

Western blot analysis of rat small intestine tissue using CD133 antibody (dilution at 1:200-1:1000 based on 1mg/mL)

Immunohistochemical staining of human mammary fibroma tissue using anti-CD206 (dilution of primary antibody - 1:100)

IHC-P image of human breast cancer tissue using anti-CD206 (dilution of primary antibody at 1:100)

Western blot analysis of Mouse large intestine (Lane 1), Mouse spinal cord (Lane 2) using CD133 antibody (Dilution of primary antibody 1:200)

Immunohistochemical staining of paraffin embedded human endometrial cancer tissue using anti-CD206 (primary antibody at 1:200)

IHC-P image of human endometrial cancer tissue using anti-CD206 (dilution of primary antibody at 1:100)

IF analysis of mouse skin tissue using CD133 antibody (Dilution of primary antibody 1:200)

IHC-P analysis of mouse kidney tissue using CD133 antibody (Primary antibody diluted to 1:200)
Quick Database Links
Documents Download
Request a Document
Protocol Information
Filter by Applications
Filter by Species
G Faa, G Pichiri, P Coni, A Dessì, M Fraschini, V Fanos They will be famous: Multipotent stem cells in breast milk World Journal of Clinical Pediatrics, (2025)
Anna Lis-Nawara, Patrycja Kulis, Adrianna Łukawska, Piotr Ziółkowski, Marek Murawski, Julia Bar Pattern of the CD133 and sonic hedgehog protein (SHH) components of the sonic hedgehog signaling pathway expression and their correlation with ovarian and colorectal cancer parameters journals.viamedica.pl, (2025)
Applications
Reactivity
Feng, Long et al. Isolation and phenotypic characterization of cancer stem-like side population cells in colon cancer Mol Med Rep, 12, 3531-3536 (2015)
Applications
Reactivity
Winardi, Daniel et al. Correlation of altered expression of the autophagy marker LC3B with poor prognosis in astrocytoma Biomed Res Int, 2014, 723176 (2014)
Chen, Jintao et al. Proteomic Distributions in CD34+ Microvascular Niche Patterns of Glioblastoma J Histochem Cytochem, (2021)
Applications
Feitosa, Neli Patrícia Pereira et al. Cancerous and non-neoplastic stem cells in the stomach similarly express CD44 and CD133 Acta Histochem, 123, 151787 (2021)
Kase, Marju et al. Impact of CD133 positive stem cell proportion on survival in patients with glioblastoma multiforme Radiol Oncol, 47, 405-410 (2013)
Hirashima, Kanji et al. Cell biological profiling of reprogrammed cancer stem cell-like colon cancer cells maintained in culture Cell Tissue Res, 375, 697-707 (2019)
Nowacki, Maciej et al. Nanovehicles as a novel target strategy for hyperthermic intraperitoneal chemotherapy: a multidisciplinary study of peritoneal carcinomatosis Oncotarget, 6, 22776-22798 (2015)
Zou, Yuhong et al. Nrf2 is involved in maintaining hepatocyte identity during liver regeneration PLoS One, 9, e107423 (2014)
Coni, Pierpaolo et al. Exploring cell surface markers and cell-cell interactions of human breast milk stem cells J Public Health Res, 12, (2023)
Yang, Meng-Yin et al. An innovative three-dimensional gelatin foam culture system for improved study of glioblastoma stem cell behavior J Biomed Mater Res B Appl Biomater, 103, 618-628 (2015)
Zhu, Yifan et al. Influence of interferon-α on the expression of the cancer stem cell markers in pancreatic carcinoma cells Exp Cell Res, 324, 146-156 (2014)
Nadal, Rosa et al. CD133 expression in circulating tumor cells from breast cancer patients: potential role in resistance to chemotherapy Int J Cancer, 133, 2398-2407 (2013)
Tu, Zhenbo et al. CXCR4 is involved in CD133-induced EMT in non-small cell lung cancer Int J Oncol, 50, 505-514 (2017)
Applications
Reactivity
Sun, Zhonghai et al. Tumour stem cell markers CD133 and CD44 are useful prognostic factors after surgical resection of pancreatic neuroendocrine tumours Oncol Lett, 20, 341 (2020)
Applications
Reactivity
Jensen, Todd et al. Descriptive analysis of tumor cells with stem like phenotypes in metastatic and benign adrenal tumors J Pediatr Surg, 50, 1493-1501 (2015)
CD133 antibody (orb99113)
Participating in our Biorbyt product reviews program enables you to support fellow scientists by sharing your firsthand experience with our products.
Login to Submit a ReviewFilter by Rating
- 5 stars
- 4 stars
- 3 stars
- 2 stars
- 1 stars
Filter by Applications
Filter by Species
We have used this CD133 antibody for quite some time, as it gives us highly reproducible results and easily identified staining. The concentration ratio allows us to do multiple sets of slides with the same lot and produces publication-quality results every time." Review date: 04 Sep 2020




























