You have no items in your shopping cart.
CD40 Rabbit Polyclonal Antibody
Description
Research Area
Images & Validation
−| Tested Applications | WB |
|---|---|
| Reactivity | Human |
| Predicted Reactivity | Rabbit |
Key Properties
−| Host | Rabbit |
|---|---|
| Clonality | Polyclonal |
| Immunogen | The immunogen is a synthetic peptide directed towards the N terminal region of human CD40 |
| Target | CD40 |
| Protein Sequence | Synthetic peptide located within the following region: WNRETHCHQHKYCDPNLGLRVQQKGTSETDTICTCEEGWHCTSEACESCV |
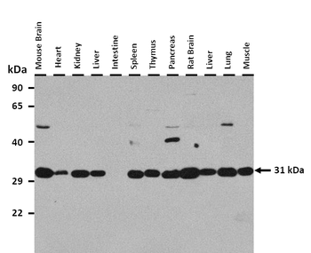
| Molecular Weight | 31 kDa |
| Purification | Affinity Purified |
| Conjugation | Unconjugated |
Storage & Handling
−| Storage | Maintain refrigerated at 2-8°C for up to 2 weeks. For long term storage store at -20°C in small aliquots to prevent freeze-thaw cycles. |
|---|---|
| Buffer/Preservatives | Liquid. Purified antibody supplied in 1x PBS buffer with 0.09% (w/v) sodium azide and 2% sucrose. |
| Concentration | 0.5 mg/ml |
| Expiration Date | 12 months from date of receipt. |
| Disclaimer | For research use only |
Alternative Names
−Similar Products
−CD40/TNFRSF5 Rabbit Polyclonal Antibody [orb101846]
IF, IHC-Fr, IHC-P, WB
Bovine, Canine, Gallus, Porcine, Rabbit, Rat
Human, Mouse
Rabbit
Polyclonal
Unconjugated
100 μl, 50 μl, 200 μlCD40L Rabbit Polyclonal Antibody [orb10326]
IF, IHC-Fr, IHC-P
Rat
Human, Rat
Rabbit
Polyclonal
Unconjugated
50 μl, 100 μl, 200 μlCD40L/Cd40lg Rabbit Polyclonal Antibody [orb402440]
ELISA, IHC, WB
Human, Mouse, Rat
Rabbit
Polyclonal
Unconjugated
100 μg

Quality Guarantee
Explore bioreagents carefree to elevate your research. All our products are rigorously tested for performance. If a product does not perform as described on its datasheet, our scientific support team will provide expert troubleshooting, a prompt replacement, or a refund. For full details, please see our Terms & Conditions and Buying Guide. Contact us at support@biorbyt.com.

25 ug of the indicated Mouse whole tissue extracts was loaded onto a 12% SDS-PAGE gel. 1 ug/ml of the antibody was used in this experiment.

WB Suggested Anti-CD40 Antibody Titration: 0.2-1 ug/ml, Positive Control: Raji cell lysate. CD40 is strongly supported by BioGPS gene expression data to be expressed in Human Raji cells.
Documents Download
Request a Document
CD40 Rabbit Polyclonal Antibody (orb578276)
Participating in our Biorbyt product reviews program enables you to support fellow scientists by sharing your firsthand experience with our products.
Login to Submit a Review















