You have no items in your shopping cart.
CIITA Rabbit Polyclonal Antibody
Description
Research Area
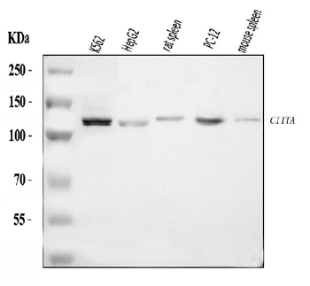
Images & Validation
−
| Tested Applications | ELISA, ICC, IF, IHC-Fr, IHC-P, WB |
|---|---|
| Dilution Range | WB=1:500-2000, IHC-P=1:100-500, IHC-F=1:100-500, ICC/IF=1:100-500, IF=1:100-500, ELISA=1:5000-10000 |
| Reactivity | Human |
| Predicted Reactivity | Bovine, Canine, Equine, Human, Mouse, Porcine, Rabbit, Rat, Sheep |
Related Conjugates & Formulations
−Key Properties
−| Antibody Type | Primary Antibody |
|---|---|
| Host | Rabbit |
| Clonality | Polyclonal |
| Isotype | IgG |
| Immunogen | KLH conjugated synthetic peptide derived from human CIITA (701-800/1130aa) |
| Target | CIITA |
| Molecular Weight | 123 kDa |
| Purification | Affinity purified by Protein A |
| Conjugation | Unconjugated |
Storage & Handling
−| Storage | Maintain refrigerated at 2-8°C for up to 2 weeks. For long term storage store at -20°C in small aliquots to prevent freeze-thaw cycles. |
|---|---|
| Form/Appearance | Liquid |
| Buffer/Preservatives | 0.01M TBS (pH7.4) with 1% rAlbumin, 0.02% Proclin300 and 50% Glycerol. |
| Concentration | 1mg/ml |
| Expiration Date | 12 months from date of receipt. |
| Disclaimer | For research use only |
Alternative Names
−Similar Products
−CIITA Rabbit Polyclonal Antibody [orb371730]
IHC, WB
Human, Mouse, Rat
Rabbit
Polyclonal
Unconjugated
100 μgCIITA rabbit pAb Antibody [orb769117]
ELISA, WB
Human, Mouse, Rat
Polyclonal
Unconjugated
100 μl, 50 μlCIITA Rabbit Polyclonal Antibody [orb576477]
WB
Bovine, Canine, Equine, Guinea pig, Mouse, Porcine, Rabbit, Rat
Human
Rabbit
Polyclonal
Unconjugated
100 μlCIITA Rabbit Polyclonal Antibody [orb1098022]
ELISA, FC, WB
Human, Mouse, Rat
Rabbit
Polyclonal
Unconjugated
100 μg

Quality Guarantee
Explore bioreagents carefree to elevate your research. All our products are rigorously tested for performance. If a product does not perform as described on its datasheet, our scientific support team will provide expert troubleshooting, a prompt replacement, or a refund. For full details, please see our Terms & Conditions and Buying Guide. Contact us at support@biorbyt.com.
Quick Database Links
UniProt Details
−Documents Download
Request a Document
Protocol Information
CIITA Rabbit Polyclonal Antibody (orb182642)
Participating in our Biorbyt product reviews program enables you to support fellow scientists by sharing your firsthand experience with our products.
Login to Submit a Review









