You have no items in your shopping cart.
Collagen III Rabbit Polyclonal Antibody
Description
Research Area
Images & Validation
−| Tested Applications | FC, ICC, WB |
|---|---|
| Dilution Range | WB=1:500-2000, Flow-Cyt=1ug/Test, ICC/IF=1:50-200 |
| Reactivity | Human |
| Predicted Reactivity | Bovine, Canine, Gallus |
Related Conjugates & Formulations
−Key Properties
−| Antibody Type | Primary Antibody |
|---|---|
| Host | Rabbit |
| Clonality | Polyclonal |
| Isotype | IgG |
| Immunogen | KLH conjugated synthetic peptide derived from human Collagen alpha 1(III) chain (801-900/1466aa) |
| Target | COL3A1 |
| Molecular Weight | 117 kDa |
| Purification | Affinity purified by Protein A |
| Conjugation | Unconjugated |
Storage & Handling
−| Storage | Maintain refrigerated at 2-8°C for up to 2 weeks. For long term storage store at -20°C in small aliquots to prevent freeze-thaw cycles. |
|---|---|
| Form/Appearance | Liquid |
| Buffer/Preservatives | 0.01M TBS (pH7.4) with 1% rAlbumin, 0.02% Proclin300 and 50% Glycerol. |
| Concentration | 1mg/ml |
| Expiration Date | 12 months from date of receipt. |
| Disclaimer | For research use only |
Alternative Names
−Similar Products
−Collagen III Rabbit Polyclonal Antibody [orb10437]
ICC, IF, IHC-Fr, IHC-P, WB
Bovine, Gallus, Mouse, Rat
Human, Mouse, Rat
Rabbit
Polyclonal
Unconjugated
200 μl, 50 μl, 100 μlCollagen 3 alpha 1 Rabbit Polyclonal Antibody [orb213759]
IF, IHC, WB
Human, Mouse, Rat
Rabbit
Polyclonal
Unconjugated
100 μl, 200 μl, 30 μl, 50 μlCleaved-COL3A1 (G1221) rabbit pAb Antibody [orb763910]
ELISA
Human, Mouse, Rat
Polyclonal
Unconjugated
100 μl, 50 μlCOL3A1 rabbit pAb Antibody [orb767606]
ELISA, IF, IHC
Human, Mouse, Rat
Polyclonal
Unconjugated
100 μl, 50 μl

Quality Guarantee
Explore bioreagents carefree to elevate your research. All our products are rigorously tested for performance. If a product does not perform as described on its datasheet, our scientific support team will provide expert troubleshooting, a prompt replacement, or a refund. For full details, please see our Terms & Conditions and Buying Guide. Contact us at support@biorbyt.com.

Sample: Hela Cell (Human) Lysate at 40 ug, Primary: Anti-Collagen III (orb10438) at 1/300 dilution, Secondary: IRDye800CW Goat Anti-Rabbit IgG at 1/20000 dilution, Predicted band size: 117 kD, Observed band size: 130 kD.

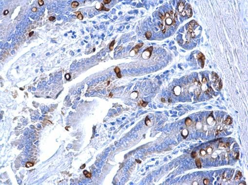
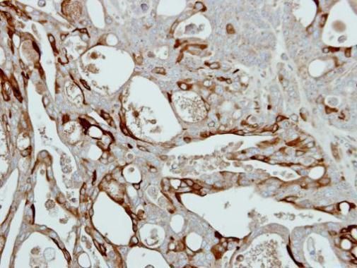
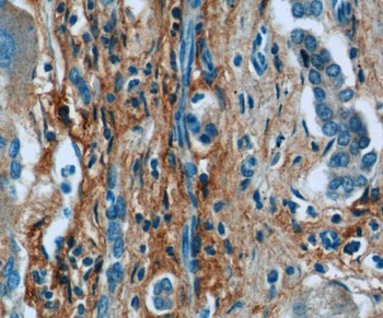
Tissue/Cell: human colon cancer, 4% Paraformaldehyde-fixed and paraffin-embedded, Antigen retrieval: citrate buffer (0.01M, pH6.0), Boiling bathing for 15 min, Block endogenous peroxidase by 3% Hydrogen peroxide for 30 min, Blocking buffer (normal goat serum) at 37°C for 20 min, Incubation: Anti-Collagen III Polyclonal Antibody, Unconjugated (orb10438) 1:500, overnight at 4°C, followed by conjugation to the secondary antibody and DAB staining.

Tissue/Cell: rat kidney tissue, 4% Paraformaldehyde-fixed and paraffin-embedded, Antigen retrieval: citrate buffer (0.01M, pH6.0), Boiling bathing for 15 min, Blocking buffer (normal goat serum) at 37°C for 20 min, Incubation: Anti-Collagen III Polyclonal Antibody, Unconjugated (orb10438) 1:200, overnight at 4°C, The secondary antibody was Goat Anti-Rabbit IgG, Cy3 conjugated (orb868589) used at 1:200 dilution for 40 minutes at 37°C.
Quick Database Links
UniProt Details
−Documents Download
Request a Document
Protocol Information
Collagen III Rabbit Polyclonal Antibody (orb10438)
Participating in our Biorbyt product reviews program enables you to support fellow scientists by sharing your firsthand experience with our products.
Login to Submit a Review









