You have no items in your shopping cart.
DDX1 Rabbit Polyclonal Antibody
Description
Research Area
Images & Validation
−| Tested Applications | WB |
|---|---|
| Reactivity | Human |
| Predicted Reactivity | Bovine, Canine, Equine, Guinea pig, Mouse, Rabbit, Rat, Zebrafish |
Key Properties
−| Host | Rabbit |
|---|---|
| Clonality | Polyclonal |
| Immunogen | The immunogen is a synthetic peptide directed towards the middle region of human DDX1 |
| Target | DDX1 |
| Molecular Weight | 81kDa |
| Purification | Affinity Purified |
| Conjugation | Unconjugated |
Storage & Handling
−| Storage | Maintain refrigerated at 2-8°C for up to 2 weeks. For long term storage store at -20°C in small aliquots to prevent freeze-thaw cycles. |
|---|---|
| Buffer/Preservatives | Liquid. Purified antibody supplied in 1x PBS buffer with 0.09% (w/v) sodium azide and 2% sucrose. |
| Concentration | 0.5 mg/ml |
| Disclaimer | For research use only |
Alternative Names
−Similar Products
−DDX1 Antibody [orb626306]
ELISA, IF, IHC, IP, WB
Human, Mouse, Rat
Rabbit
Polyclonal
Unconjugated
50 μg, 100 μgDDX1 Rabbit Polyclonal Antibody [orb575938]
WB
Bovine, Canine, Equine, Mouse, Porcine, Rabbit, Rat
Human
Rabbit
Polyclonal
Unconjugated
100 μlDDX1 Rabbit Polyclonal Antibody [orb576386]
WB
Bovine, Canine, Equine, Guinea pig, Mouse, Rabbit, Rat, Zebrafish
Human
Rabbit
Polyclonal
Unconjugated
100 μlDDX1 Rabbit Polyclonal Antibody [orb183003]
IF, IHC-Fr, IHC-P
Bovine, Canine, Equine, Gallus, Human, Mouse, Porcine, Rabbit, Sheep, Zebrafish
Rat
Rabbit
Polyclonal
Unconjugated
50 μl, 100 μl, 200 μl

Quality Guarantee
Explore bioreagents carefree to elevate your research. All our products are rigorously tested for performance. If a product does not perform as described on its datasheet, our scientific support team will provide expert troubleshooting, a prompt replacement, or a refund. For full details, please see our Terms & Conditions and Buying Guide. Contact us at support@biorbyt.com.

DDX1 antibody - middle region (orb575939) validated by WB using Hek 293 Whole Cell Lysate at 1:4000. DDX1 is supported by BioGPS gene expression data to be expressed in HEK293.

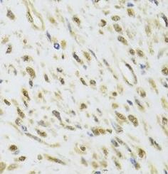
Sample Type: Human Fetal Brain, Antibody Dilution: 1.0 ug/ml.

Sample Type: Human Fetal Lung, Antibody Dilution: 1.0 ug/ml.

WB Suggested Anti-DDX1 Antibody Titration: 0.2-1 ug/ml, ELISA Titer: 1:1562500, Positive Control: Human Muscle.
Documents Download
Request a Document
DDX1 Rabbit Polyclonal Antibody (orb575939)
Participating in our Biorbyt product reviews program enables you to support fellow scientists by sharing your firsthand experience with our products.
Login to Submit a Review





