You have no items in your shopping cart.
Estrogen Receptor alpha Rabbit Polyclonal Antibody
Description
Research Area
Images & Validation
−| Tested Applications | ICC, IF, IHC-Fr, IHC-P, WB |
|---|---|
| Dilution range | WB=1:500-2000, IHC-P=1:100-500, IHC-F=1:100-500, ICC/IF=1:50-200, IF=1:100-500 |
| Reactivity | Human, Mouse, Rat |
| Predicted Reactivity | Mouse |
Related Conjugates & Formulations
−Key Properties
−| Antibody Type | Primary Antibody |
|---|---|
| Host | Rabbit |
| Clonality | Polyclonal |
| Isotype | IgG |
| Immunogen | KLH conjugated synthetic peptide derived from mouse ER-alpha (501-600/600aa) |
| Target | ESR1 |
| Molecular Weight | 67 kDa |
| Purification | Affinity purified by Protein A |
| Conjugation | Unconjugated |
Storage & Handling
−| Storage | Maintain refrigerated at 2-8°C for up to 2 weeks. For long term storage store at -20°C in small aliquots to prevent freeze-thaw cycles. |
|---|---|
| Form/Appearance | Liquid |
| Buffer/Preservatives | 0.01M TBS (pH7.4) with 1% rAlbumin, 0.02% Proclin300 and 50% Glycerol. |
| Concentration | 1mg/ml |
| Disclaimer | For research use only |
Alternative Names
−Similar Products
−PGC1 alpha + beta Rabbit Polyclonal Antibody [orb100963]
FC, IF, IHC-Fr, IHC-P, WB
Bovine, Canine, Equine, Mouse, Porcine, Rabbit
Human, Rat
Rabbit
Polyclonal
Unconjugated
50 μl, 100 μl, 200 μlEstrogen Receptor alpha + beta Rabbit Polyclonal Antibody [orb10615]
FC, ICC, IF, IHC-Fr, IHC-P, WB
Mouse, Porcine
Human, Rat
Rabbit
Polyclonal
Unconjugated
50 μl, 100 μl, 200 μlEstrogen Receptor alpha Rabbit Polyclonal Antibody [orb13402]
FC, ICC, IF, IHC-Fr, IHC-P
Gallus, Mouse, Porcine, Sheep
Human, Rat
Rabbit
Polyclonal
Unconjugated
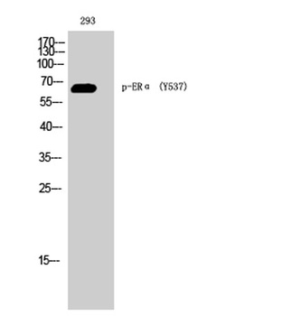
50 μl, 100 μl, 200 μlERα (phospho Tyr537) rabbit pAb Antibody [orb768047]
ELISA, IF, IHC, WB
Human, Mouse, Rat
Polyclonal
Unconjugated
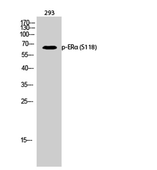
100 μl, 50 μlERα (phospho Ser118) rabbit pAb Antibody [orb764186]
ELISA, IF, IHC, WB
Human, Mouse
Polyclonal
Unconjugated
100 μl, 50 μl

Quality Guarantee
Explore bioreagents carefree to elevate your research. All our products are rigorously tested for performance. If a product does not perform as described on its datasheet, our scientific support team will provide expert troubleshooting, a prompt replacement, or a refund. For full details, please see our Terms & Conditions and Buying Guide. Contact us at support@biorbyt.com.

Blank control (blue line): MCF7 (blue). Primary Antibody (green line): Rabbit Anti-Estrogen Receptor alpha antibody (orb10602), Dilution: 0.2 µg/10^6 cells, Isotype Control Antibody (orange line): Rabbit IgG. Secondary Antibody (white blue line): Goat anti-rabbit IgG-FITC, Dilution: 1 µg/Test. Protocol, The cells were fixed with 80% ethanol (Overnight at 4°C) and then permeabilized with 90% ice-cold methanol for 30 min on ice. Cells stained with Primary Antibody for 30 min at room temperature. The cells were then incubated in 1 X PBS/2% BSA/10% goat serum to block non-specific protein-protein interactions followed by the antibody for 15 min at room temperature. The secondary antibody used for 40 min at room temperature. Acquisition of 20000 events was performed.

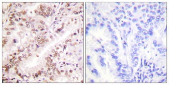
Paraformaldehyde-fixed, paraffin embedded (rat uterus), Antigen retrieval by boiling in sodium citrate buffer (pH6.0) for 15 min, Block endogenous peroxidase by 3% hydrogen peroxide for 20 minutes, Blocking buffer (normal goat serum) at 37°C for 30 min, Antibody incubation with (Estrogen Receptor alpha) Polyclonal Antibody, Unconjugated (orb10602) at 1:200 overnight at 4°C, followed by operating according to SP Kit (Rabbit) instructionsand DAB staining.

Sample: Brain (Rat) lysate at 30 ug, Primary: Anti-ER-alpha/beta (orb10602) at 1:200 dilution, Secondary: HRP conjugated Goat Anti-Rabbit IgG (orb572747) at 1:3000 dilution (DAB staining), Predicted band size: 67kD, Observed band size: 67kD.
Quick Database Links
UniProt Details
−Documents Download
Request a Document
Protocol Information
Wu, Yingxi et al. Downregulation of G‑protein‑coupled receptor 30 in the hippocampus attenuates the neuroprotection of estrogen in the critical period hypothesis Mol Med Rep, 17, 5716-5725 (2018)
Estrogen Receptor alpha Rabbit Polyclonal Antibody (orb10602)
Participating in our Biorbyt product reviews program enables you to support fellow scientists by sharing your firsthand experience with our products.
Login to Submit a Review




















