You have no items in your shopping cart.
Estrogen receptor beta Rabbit Polyclonal Antibody
Description
Research Area
Images & Validation
−| Tested Applications | ELISA, ICC, IF, IHC-Fr, IHC-P, WB |
|---|---|
| Dilution range | WB=1:500-2000, IHC-P=1:400-800, IHC-F=1:400-800, ICC/IF=1:50-200, IF=1:100-500, ELISA=1:5000-10000 |
| Reactivity | Human, Mouse, Rat |
| Predicted Reactivity | Mouse, Rat |
Related Conjugates & Formulations
−Key Properties
−| Antibody Type | Primary Antibody |
|---|---|
| Host | Rabbit |
| Clonality | Polyclonal |
| Isotype | IgG |
| Immunogen | KLH conjugated synthetic peptide derived from human ER-beta (201-300/530aa) |
| Target | ESR2 |
| Molecular Weight | 58 kDa |
| Purification | Affinity purified by Protein A |
| Conjugation | Unconjugated |
Storage & Handling
−| Storage | Maintain refrigerated at 2-8°C for up to 2 weeks. For long term storage store at -20°C in small aliquots to prevent freeze-thaw cycles. |
|---|---|
| Form/Appearance | Liquid |
| Buffer/Preservatives | 0.01M TBS (pH7.4) with 1% rAlbumin, 0.02% Proclin300 and 50% Glycerol. |
| Concentration | 1mg/ml |
| Disclaimer | For research use only |
Alternative Names
−Similar Products
−PGC1 alpha + beta Rabbit Polyclonal Antibody [orb100963]
FC, IF, IHC-Fr, IHC-P, WB
Bovine, Canine, Equine, Mouse, Porcine, Rabbit
Human, Rat
Rabbit
Polyclonal
Unconjugated
50 μl, 100 μl, 200 μlEstrogen Receptor alpha + beta Rabbit Polyclonal Antibody [orb10615]
FC, ICC, IF, IHC-Fr, IHC-P, WB
Mouse, Porcine
Human, Rat
Rabbit
Polyclonal
Unconjugated
50 μl, 100 μl, 200 μlESR2 Rabbit Polyclonal Antibody [orb575669]
IHC, WB
Human, Rat
Human, Rat
Rabbit
Polyclonal
Unconjugated
100 μlERβ rabbit pAb Antibody [orb765179]
ELISA, IF, IHC, WB
Human, Mouse, Rat
Polyclonal
Unconjugated
100 μlERβ (phospho Ser105) rabbit pAb Antibody [orb768052]
ELISA, IF, WB
Human, Mouse, Rat
Polyclonal
Unconjugated
50 μl, 100 μl

Quality Guarantee
Explore bioreagents carefree to elevate your research. All our products are rigorously tested for performance. If a product does not perform as described on its datasheet, our scientific support team will provide expert troubleshooting, a prompt replacement, or a refund. For full details, please see our Terms & Conditions and Buying Guide. Contact us at support@biorbyt.com.

Blank control: A431. Primary Antibody (green line): Rabbit Anti-Estrogen receptor beta antibody (orb10616), Dilution: 2 ug/Test, Secondary Antibody: Goat anti-rabbit IgG-FITC, Dilution: 0.5 ug/Test. Protocol, The cells were fixed with 4% PFA (10 min at room temperature) and then permeabilized with 90% ice-cold methanol for 20 min at -20°C. The cells were then incubated in 5% BSA to block non-specific protein-protein interactions for 30 min at room temperature. Cells stained with Primary Antibody for 30 min at room temperature. The secondary antibody used for 40 min at room temperature. Acquisition of 20000 events was performed.

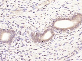
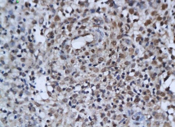
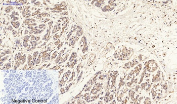
Paraformaldehyde-fixed, paraffin embedded Human Breast, Antigen retrieval by boiling in sodium citrate buffer (pH6.0) for 15 min, Antibody incubation with ESR2 Polyclonal Antibody, Unconjugated (orb10616) at 1:200 overnight at 4°C, followed by conjugation to the SP Kit (Rabbit) and DAB staining.

Paraformaldehyde-fixed, paraffin embedded Human Cervical Cancer, Antigen retrieval by boiling in sodium citrate buffer (pH6.0) for 15 min, Antibody incubation with ESR2 Polyclonal Antibody, Unconjugated (orb10616) at 1:200 overnight at 4°C, followed by conjugation to the SP Kit (Rabbit) and DAB staining.

Paraformaldehyde-fixed, paraffin embedded Human Colon Cancer, Antigen retrieval by boiling in sodium citrate buffer (pH6.0) for 15 min, Antibody incubation with ESR2 Polyclonal Antibody, Unconjugated (orb10616) at 1:200 overnight at 4°C, followed by conjugation to the SP Kit (Rabbit) and DAB staining.

Paraformaldehyde-fixed, paraffin embedded Mouse Cerebellum, Antigen retrieval by boiling in sodium citrate buffer (pH6.0) for 15 min, Antibody incubation with ESR2 Polyclonal Antibody, Unconjugated (orb10616) at 1:200 overnight at 4°C, followed by conjugation to the SP Kit (Rabbit) and DAB staining.

Paraformaldehyde-fixed, paraffin embedded Mouse Cerebrum, Antigen retrieval by boiling in sodium citrate buffer (pH6.0) for 15 min, Antibody incubation with ESR2 Polyclonal Antibody, Unconjugated (orb10616) at 1:200 overnight at 4°C, followed by conjugation to the SP Kit (Rabbit) and DAB staining.

Paraformaldehyde-fixed, paraffin embedded Rat Breast, Antigen retrieval by boiling in sodium citrate buffer (pH6.0) for 15 min, Antibody incubation with ESR2 Polyclonal Antibody, Unconjugated (orb10616) at 1:200 overnight at 4°C, followed by conjugation to the SP Kit (Rabbit) and DAB staining.

Paraformaldehyde-fixed, paraffin embedded Rat Cerebellum, Antigen retrieval by boiling in sodium citrate buffer (pH6.0) for 15 min, Antibody incubation with ESR2 Polyclonal Antibody, Unconjugated (orb10616) at 1:200 overnight at 4°C, followed by conjugation to the SP Kit (Rabbit) and DAB staining.

Paraformaldehyde-fixed, paraffin embedded Rat Cerebrum, Antigen retrieval by boiling in sodium citrate buffer (pH6.0) for 15 min, Antibody incubation with ESR2 Polyclonal Antibody, Unconjugated (orb10616) at 1:200 overnight at 4°C, followed by conjugation to the SP Kit (Rabbit) and DAB staining.

Paraformaldehyde-fixed, paraffin embedded Rat Ovary, Antigen retrieval by boiling in sodium citrate buffer (pH6.0) for 15 min, Antibody incubation with ESR2 Polyclonal Antibody, Unconjugated (orb10616) at 1:200 overnight at 4°C, followed by conjugation to the SP Kit (Rabbit) and DAB staining.

Paraformaldehyde-fixed, paraffin embedded Rat Testicles, Antigen retrieval by boiling in sodium citrate buffer (pH6.0) for 15 min, Antibody incubation with ESR2 Polyclonal Antibody, Unconjugated (orb10616) at 1:200 overnight at 4°C, followed by conjugation to the SP Kit (Rabbit) and DAB staining.

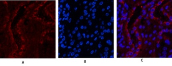
Positive control: Hela, Isotype Control Antibody: Rabbit IgG, Secondary Antibody: Goat anti-rabbit IgG-FITC, Dilution: 1:100 in 1 X PBS containing 0.5% BSA, Primary Antibody Dilution: 3 µg in 100 µl 1X PBS containing 0.5% BSA.

Sample: Kidney (Mouse) lysate at 30 ug, Brain (Rat) lysate at 30 ug, Primary: Anti-ER-beta (orb10616) at 1:200, Secondary: HRP conjugated Goat Anti-Rabbit IgG (orb572747) at 1:3000, Predicted band size: 58kD, Observed band size: 58kD.

Sample: Lane 1: Mouse Testis tissue lysates, Lane 2: Mouse Cerebrum tissue lysates, Lane 3: Mouse Cerebellum tissue lysates, Lane 4: Rat Testis tissue lysates, Lane 5: Rat Cerebrum tissue lysates, Lane 6: Rat Cerebellum tissue lysates, Lane 7: Human MCF-7 cell lysates, Lane 8: Human Jurkat cell lysates, Lane 9: Human U-2 OS cell lysates, Lane 10: Human A431 cell lysates, Primary: Anti-ESR2 (orb10616) at 1/1000 dilution, Secondary: IRDye800CW Goat Anti-Rabbit IgG at 1/20000 dilution, Predicted band size: 58 kDa, Observed band size: 63 kDa.

Sample: Lane 1: Testis (Mouse) Lysate at 40 ug, Lane 2: Testis (Rat) Lysate at 40 ug, Lane 3: Ovary (Mouse) Lysate at 40 ug, Lane 4: Uterus (Mouse) Lysate at 40 ug, Lane 5: Uterus (Rat) Lysate at 40 ug, Primary: Anti-Estrogen receptor beta (orb10616) at 1/1000 dilution, Secondary: IRDye800CW Goat Anti-Rabbit IgG at 1/20000 dilution, Predicted band size: 58 kD, Observed band size: 58-62 kD.
Quick Database Links
UniProt Details
−Documents Download
Request a Document
Protocol Information
Estrogen receptor beta Rabbit Polyclonal Antibody (orb10616)
Participating in our Biorbyt product reviews program enables you to support fellow scientists by sharing your firsthand experience with our products.
Login to Submit a Review





















