You have no items in your shopping cart.
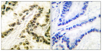
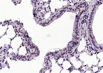
Factor B Rabbit Polyclonal Antibody (AP)
Description
Images & Validation
−
| Tested Applications | IHC-Fr, IHC-P, WB |
|---|---|
| Dilution range | WB=1:500-2000, IHC-P=1:100-500, IHC-F=1:100-500 |
| Reactivity | Mouse, Rat |
Related Conjugates & Formulations
−Key Properties
−| Antibody Type | Primary Antibody |
|---|---|
| Host | Rabbit |
| Clonality | Polyclonal |
| Isotype | IgG |
| Immunogen | KLH conjugated synthetic peptide derived from human Complement factor-B Bb fragment (301-400/764aa) |
| Target | CFB |
| Purification | Affinity purified by Protein A |
| Conjugation | AP |
Storage & Handling
−| Storage | Shipped at 4°C. Store at -20°C for one year. Avoid repeated freeze/thaw cycles. |
|---|---|
| Buffer/Preservatives | 0.01M TBS (pH7.4) with 1% rAlbumin, 0.02% Proclin300 and 50% Glycerol. |
| Concentration | 1mg/ml |
| Disclaimer | For research use only |
Alternative Names
−Similar Products
−AP-2α/β rabbit pAb [orb764545]
ELISA, IHC-P, WB
Human, Mouse, Rat
Polyclonal
Unconjugated
50 μl, 100 μlPhospho-TrkB (Tyr705) Rabbit Polyclonal Antibody (AP) [orb893857]
IHC-Fr, IHC-P
Bovine, Canine, Equine, Gallus, Porcine, Rabbit
Human, Mouse, Rat
Rabbit
Polyclonal
AP
100 μlPhospho-JunB (Thr102 + Thr104) Rabbit Polyclonal Antibody [orb157720]
IF, IHC-Fr, IHC-P
Bovine, Equine, Guinea pig, Human, Porcine, Rat
Mouse
Rabbit
Polyclonal
Unconjugated
100 μl, 50 μl, 200 μlJunB Rabbit Polyclonal Antibody [orb1499436]
WB
Bovine, Canine, Equine, Human
Mouse, Rat
Rabbit
Polyclonal
Unconjugated
50 μl, 100 μl, 200 μlBATF2 Rabbit Polyclonal Antibody [orb182466]
ELISA, ICC, IF, IHC-Fr, IHC-P
Bovine, Canine, Equine, Gallus, Human, Mouse, Porcine, Rabbit, Rat, Sheep
Human
Rabbit
Polyclonal
Unconjugated
50 μl, 100 μl, 200 μl

Quality Guarantee
Explore bioreagents carefree to elevate your research. All our products are rigorously tested for performance. If a product does not perform as described on its datasheet, our scientific support team will provide expert troubleshooting, a prompt replacement, or a refund. For full details, please see our Terms & Conditions and Buying Guide. Contact us at support@biorbyt.com.
Quick Database Links
Documents Download
Request a Document
Protocol Information
Factor B Rabbit Polyclonal Antibody (AP) (orb1010729)
Participating in our Biorbyt product reviews program enables you to support fellow scientists by sharing your firsthand experience with our products.
Login to Submit a Review



