You have no items in your shopping cart.
GLI1 Rabbit Polyclonal Antibody
Description
Research Area
Images & Validation
−| Tested Applications | WB |
|---|---|
| Reactivity | Human |
| Predicted Reactivity | Bovine, Canine, Equine, Guinea pig, Rabbit |
Key Properties
−| Host | Rabbit |
|---|---|
| Clonality | Polyclonal |
| Immunogen | The immunogen is a synthetic peptide directed towards the N terminal region of human GLI1 |
| Target | GLI1 |
| Protein Sequence | Synthetic peptide located within the following region: LRPLPSQGAPSVGTEGLSGPPFCHQANLMSGPHSYGPARETNSCTEGPLF |
| Molecular Weight | 118kDa |
| Purification | Protein A purified |
| Conjugation | Unconjugated |
Storage & Handling
−| Storage | Maintain refrigerated at 2-8°C for up to 2 weeks. For long term storage store at -20°C in small aliquots to prevent freeze-thaw cycles. |
|---|---|
| Buffer/Preservatives | Liquid. Purified antibody supplied in 1x PBS buffer with 0.09% (w/v) sodium azide and 2% sucrose. |
| Concentration | 1.0 mg/ml |
| Expiration Date | 12 months from date of receipt. |
| Disclaimer | For research use only |
Alternative Names
−Similar Products
−GLI1 Rabbit Polyclonal Antibody [orb10718]
FC, IF, IHC-Fr, IHC-P, WB
Bovine, Canine, Equine, Rabbit
Human, Mouse, Rat
Rabbit
Polyclonal
Unconjugated
50 μl, 100 μl, 200 μlGLI1 Rabbit Polyclonal Antibody [orb574163]
WB
Bovine, Canine, Equine, Guinea pig, Mouse, Rabbit, Rat
Human
Rabbit
Polyclonal
Unconjugated
100 μlPhospho-Gli1 (T101/ S102/S104) Rabbit Polyclonal Antibody [orb506139]
IF, IHC-Fr, IHC-P
Bovine, Canine, Equine, Porcine, Rat, Sheep
Human, Mouse
Rabbit
Polyclonal
Unconjugated
50 μl, 100 μl, 200 μlGLI1 Rabbit Polyclonal Antibody (BF555) [orb1585214]
FC, IF
Bovine, Canine, Equine, Rabbit
Human, Mouse, Rat
Rabbit
Polyclonal
BF555
100 μlGLI1 Rabbit Polyclonal Antibody [orb1952725]
ELISA, IF, IHC, WB
Human, Mouse, Rat
Rabbit
Polyclonal
Unconjugated
50 μg, 100 μg

Quality Guarantee
Explore bioreagents carefree to elevate your research. All our products are rigorously tested for performance. If a product does not perform as described on its datasheet, our scientific support team will provide expert troubleshooting, a prompt replacement, or a refund. For full details, please see our Terms & Conditions and Buying Guide. Contact us at support@biorbyt.com.

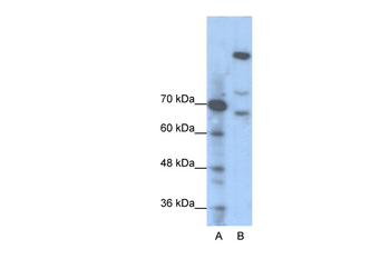
WB Suggested Anti-GLI1 Antibody Titration: 1.25 ug/ml, ELISA Titer: 1:62500, Positive Control: Jurkat cell lysate.
Documents Download
Request a Document
GLI1 Rabbit Polyclonal Antibody (orb592834)
Participating in our Biorbyt product reviews program enables you to support fellow scientists by sharing your firsthand experience with our products.
Login to Submit a Review




















