You have no items in your shopping cart.
GNL3L Rabbit Polyclonal Antibody
Description
Research Area
Images & Validation
−| Tested Applications | IHC, WB |
|---|---|
| Reactivity | Human |
| Predicted Reactivity | Bovine, Canine, Mouse, Porcine, Rabbit, Rat |
Key Properties
−| Host | Rabbit |
|---|---|
| Clonality | Polyclonal |
| Immunogen | The immunogen is a synthetic peptide directed towards the N terminal region of human GNL3L |
| Target | GNL3L |
| Protein Sequence | Synthetic peptide located within the following region: MMKLRHKNKKPGEGSKGHKKISWPYPQPAKQNGKKATSKVPSAPHFVHPN |
| Molecular Weight | 65kDa |
| Purification | Affinity Purified |
| Conjugation | Unconjugated |
Storage & Handling
−| Storage | Maintain refrigerated at 2-8°C for up to 2 weeks. For long term storage store at -20°C in small aliquots to prevent freeze-thaw cycles. |
|---|---|
| Buffer/Preservatives | Liquid. Purified antibody supplied in 1x PBS buffer with 0.09% (w/v) sodium azide and 2% sucrose. |
| Concentration | 0.5 mg/ml |
| Expiration Date | 12 months from date of receipt. |
| Disclaimer | For research use only |
Alternative Names
−Similar Products
−GNL3L Rabbit Polyclonal Antibody [orb584120]
IF, WB
Bovine, Canine, Equine, Guinea pig, Mouse, Porcine, Rabbit, Rat
Human
Rabbit
Polyclonal
Unconjugated
100 μlGNL3L Rabbit Polyclonal Antibody [orb157230]
IF, IHC-Fr, IHC-P
Bovine, Canine, Equine, Human, Porcine, Rabbit
Mouse, Rat
Rabbit
Polyclonal
Unconjugated
100 μl, 50 μl, 200 μlGNL3L rabbit pAb Antibody [orb765317]
ELISA, IF, IHC, WB
Feline, Human, Mouse, Rat
Polyclonal
Unconjugated
100 μlGNL3L Rabbit Polyclonal Antibody [orb256565]
IHC, WB
Bovine, Human, Mouse
Rabbit
Polyclonal
Unconjugated
30 μl, 100 μl, 200 μl, 50 μl

Quality Guarantee
Explore bioreagents carefree to elevate your research. All our products are rigorously tested for performance. If a product does not perform as described on its datasheet, our scientific support team will provide expert troubleshooting, a prompt replacement, or a refund. For full details, please see our Terms & Conditions and Buying Guide. Contact us at support@biorbyt.com.

Rabbit Anti-GNL3L Antibody, Catalog Number: orb584119, Formalin Fixed Paraffin Embedded Tissue: Human Adult Liver, Observed Staining: Nuclear in hepatocytes, moderate signal, low tissue distribution, Primary Antibody Concentration: 1:100, Secondary Antibody: Donkey anti-Rabbit-Cy3, Secondary Antibody Concentration: 1:200, Magnification: 20X, Exposure Time: 0.5-2.0 sec, Protocol located in Reviews and Data.

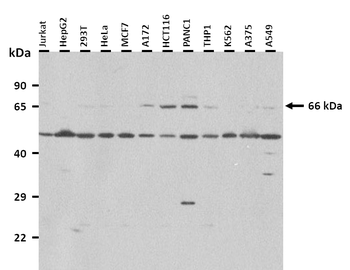
WB Suggested Anti-GNL3L Antibody Titration: 0.2-1 ug/ml, ELISA Titer: 1:62500, Positive Control: Human Lung.
Documents Download
Request a Document
Protocol Information
GNL3L Rabbit Polyclonal Antibody (orb584119)
Participating in our Biorbyt product reviews program enables you to support fellow scientists by sharing your firsthand experience with our products.
Login to Submit a Review

















