You have no items in your shopping cart.
Histone acetyltransferase p300 Antibody
Description
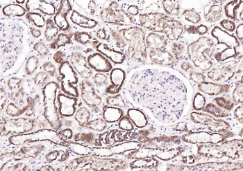
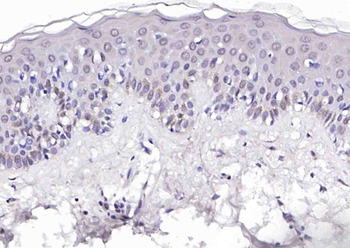
Images & Validation
−
| Tested Applications | IHC, WB |
|---|---|
| Reactivity | Human, Mouse, Rat |
| Application Notes |
Key Properties
−| Antibody Type | Primary Antibody |
|---|---|
| Host | Rabbit |
| Clonality | Polyclonal |
| Isotype | Rabbit IgG |
| Immunogen | E.coli-derived human KAT3B recombinant protein (Position: L2065-H2414). Human KAT3B shares 94% amino acid (aa) sequence identity with mouse KAT3B. |
| Target | Histone acetyltransferase p300 |
| Molecular Weight | 300 kDa |
| Purification | Immunogen affinity purified. |
| Conjugation | Unconjugated |
Storage & Handling
−| Storage | Maintain refrigerated at 2-8°C for up to 2 weeks. For long term storage store at -20°C in small aliquots to prevent freeze-thaw cycles. |
|---|---|
| Form/Appearance | Lyophilized |
| Concentration | Adding 0.2 ml of distilled water will yield a concentration of 500 μg/ml. |
| Disclaimer | For research use only |
Alternative Names
−Similar Products
−KAT2B Rabbit Polyclonal Antibody [orb6260]
IF, IHC-Fr, IHC-P
Canine, Equine, Gallus, Porcine
Human, Mouse, Rat
Rabbit
Polyclonal
Unconjugated
50 μl, 100 μl, 200 μlp300 Polyclonal Antibody [orb1411079]
IF, IHC-P, WB
Human, Mouse, Rat
Rabbit
Polyclonal
Unconjugated
100 μlEP300 Rabbit Polyclonal Antibody [orb156743]
FC, IF, IHC-Fr, IHC-P, WB
Bovine, Canine, Equine, Porcine, Rat, Sheep
Human, Mouse
Rabbit
Polyclonal
Unconjugated
50 μl, 100 μl, 200 μlMouse E1A Binding Protein P300 (EP300) ELISA Kit [orb780684]
Mouse
0.16-10 ng/mL
0.056 ng/mL
48 T, 96 T

Quality Guarantee
Explore bioreagents carefree to elevate your research. All our products are rigorously tested for performance. If a product does not perform as described on its datasheet, our scientific support team will provide expert troubleshooting, a prompt replacement, or a refund. For full details, please see our Terms & Conditions and Buying Guide. Contact us at support@biorbyt.com.
Quick Database Links
UniProt Details
−Documents Download
Request a Document
Protocol Information
Histone acetyltransferase p300 Antibody (orb3078585)
Participating in our Biorbyt product reviews program enables you to support fellow scientists by sharing your firsthand experience with our products.
Login to Submit a Review


















