You have no items in your shopping cart.
HPV16 E6 Rabbit Polyclonal Antibody
Description
Research Area
Images & Validation
−| Tested Applications | FC, IF, IHC-Fr, IHC-P |
|---|---|
| Dilution Range | IHC-P=1:100-500, IHC-F=1:100-500, IF=1:100-500, Flow-Cyt=1ug/Test |
| Reactivity | Human |
Related Conjugates & Formulations
−Key Properties
−| Antibody Type | Primary Antibody |
|---|---|
| Host | Rabbit |
| Clonality | Polyclonal |
| Isotype | IgG |
| Immunogen | KLH conjugated synthetic peptide derived from HPV16 E6 (85-158/158aa) |
| Target | L2 |
| Molecular Weight | 11 kDa |
| Purification | Affinity purified by Protein A |
| Conjugation | Unconjugated |
Storage & Handling
−| Storage | Maintain refrigerated at 2-8°C for up to 2 weeks. For long term storage store at -20°C in small aliquots to prevent freeze-thaw cycles. |
|---|---|
| Form/Appearance | Liquid |
| Buffer/Preservatives | 0.01M TBS (pH7.4) with 1% rAlbumin, 0.02% Proclin300 and 50% Glycerol. |
| Concentration | 1mg/ml |
| Expiration Date | 12 months from date of receipt. |
| Disclaimer | For research use only |
Alternative Names
−Similar Products
−HPV16 E6 Rabbit Polyclonal Antibody [orb1151936]
FC, IF, IHC-Fr, IHC-P, WB
Human
Human
Rabbit
Polyclonal
Unconjugated
200 μl, 50 μl, 100 μlHPV16 E6 + HPV18 E6 Rabbit Polyclonal Antibody [orb10840]
FC, IF, IHC-Fr, IHC-P, WB
Virus
Virus
Rabbit
Polyclonal
Unconjugated
50 μl, 100 μl, 200 μlHPV16 E6 Rabbit Polyclonal Antibody (AP) [orb1572400]
IHC-Fr, IHC-P, WB
Human
Rabbit
Polyclonal
AP
100 μlHPV16 E6/Protein E6 Polyclonal Antibody [orb3148881]
ELISA, IHC, WB
Rabbit
Polyclonal
Unconjugated
50 μg, 100 μgHPV16 E6 Polyclonal Antibody [orb3151645]
ELISA, IHC, WB
Virus
Rabbit
Polyclonal
Unconjugated
50 μg, 100 μg

Quality Guarantee
Explore bioreagents carefree to elevate your research. All our products are rigorously tested for performance. If a product does not perform as described on its datasheet, our scientific support team will provide expert troubleshooting, a prompt replacement, or a refund. For full details, please see our Terms & Conditions and Buying Guide. Contact us at support@biorbyt.com.

Blank control (black line): Hela. Primary Antibody (green line): Rabbit Anti-HPV16 E6 antibody (orb10837), Dilution: 1 ug/Test, Secondary Antibody (white blue line): Goat anti-rabbit IgG-AF488, Dilution: 0.5 ug/Test. Isotype control (orange line): Normal Rabbit IgG, Protocol, The cells were fixed with 4% PFA (10 min at room temperature) and then permeabilized with 90% ice-cold methanol for 20 min at -20°C, The cells were then incubated in 5% BSA to block non-specific protein-protein interactions for 30 min at room temperature. Cells stained with Primary Antibody for 30 min at room temperature. The secondary antibody used for 40 min at room temperature. Acquisition of 20000 events was performed.

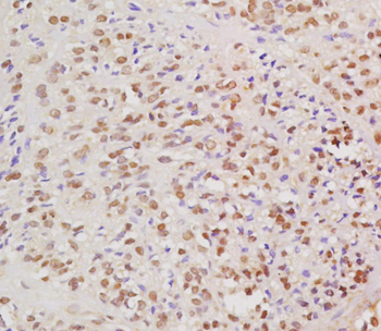
Tissue/Cell: human cervical carcinoma, 4% Paraformaldehyde-fixed and paraffin-embedded, Antigen retrieval: citrate buffer (0.01M, pH6.0), Boiling bathing for 15 min, Block endogenous peroxidase by 3% Hydrogen peroxide for 30 min, Blocking buffer (normal goat serum) at 37°C for 20 min, Incubation: Anti-HPV16-E6 Polyclonal Antibody, Unconjugated (orb10837) 1:200, overnight at 4°C, followed by conjugation to the secondary antibody and DAB staining.
Quick Database Links
Documents Download
Request a Document
Protocol Information
Filter by Applications
Filter by Species
Yu, Lan et al. Disruption of human papillomavirus 16 E6 gene by clustered regularly interspaced short palindromic repeat/Cas system in human cervical cancer cells Onco Targets Ther, 8, 37-44 (2015)
Applications
Reactivity
Hu, Zheng et al. TALEN-mediated targeting of HPV oncogenes ameliorates HPV-related cervical malignancy J Clin Invest, 125, 425-436 (2015)
Applications
Wang, Qiqi et al. HPV16 E6 promotes cervical cancer cell migration and invasion by downregulation of NHERF1 Int. J. Cancer, (2018)
HPV16 E6 Rabbit Polyclonal Antibody (orb10837)
Participating in our Biorbyt product reviews program enables you to support fellow scientists by sharing your firsthand experience with our products.
Login to Submit a Review





