You have no items in your shopping cart.
HSP22 Mouse Monoclonal Antibody
Description
Research Area
Images & Validation
−| Tested Applications | IF, IHC-Fr, IHC-P, WB |
|---|---|
| Dilution Range | WB=1:500-1000, IHC-P=1:100-500, IHC-F=1:100-500, IF=1:100-500 |
| Reactivity | Human |
| Predicted Reactivity | Mouse, Rat |
Related Conjugates & Formulations
−Key Properties
−| Antibody Type | Primary Antibody |
|---|---|
| Host | Mouse |
| Clonality | Monoclonal |
| Isotype | IgG |
| Clone No. | 4C3 |
| Immunogen | Recombinant human HSP22 Protein |
| Target | HSPB8 |
| Molecular Weight | 22 kDa |
| Purification | Affinity purified by Protein G |
| Conjugation | Unconjugated |
Storage & Handling
−| Storage | Maintain refrigerated at 2-8°C for up to 2 weeks. For long term storage store at -20°C in small aliquots to prevent freeze-thaw cycles. |
|---|---|
| Form/Appearance | Liquid |
| Buffer/Preservatives | 0.01M TBS (pH7.4) with 1% rAlbumin, 0.02% Proclin300 and 50% Glycerol. |
| Concentration | 1mg/ml |
| Expiration Date | 12 months from date of receipt. |
| Disclaimer | For research use only |
Alternative Names
−Similar Products
−HSPB8/Hsp22 Mouse Monoclonal Antibody [orb654275]
FC, ICC, IF, WB
Human, Rat
Mouse
Monoclonal
Unconjugated
100 μgHSPB8/HSP22 Monoclonal Antibody(2C3) [orb1415672]
WB
Human, Mouse, Rat
Mouse
Monoclonal
Unconjugated
100 μlHSP22 Mouse Monoclonal Antibody (HRP) [orb474844]
IHC-Fr, IHC-P, WB
Mouse, Rat
Human
Mouse
Monoclonal
HRP
100 μl

Quality Guarantee
Explore bioreagents carefree to elevate your research. All our products are rigorously tested for performance. If a product does not perform as described on its datasheet, our scientific support team will provide expert troubleshooting, a prompt replacement, or a refund. For full details, please see our Terms & Conditions and Buying Guide. Contact us at support@biorbyt.com.

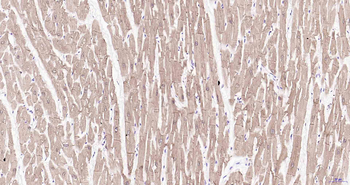
Paraformaldehyde-fixed, paraffin embedded Human Heart, Antigen retrieval by boiling in sodium citrate buffer (pH6.0) for 15 min, Antibody incubation with HSP22 Monoclonal Antibody, Unconjugated (orb500003) at 1:200 overnight at 4°C, followed by conjugation to the SP Kit (Mouse) and DAB staining.

Sample: Lane 1: Human HepG2 cell lysates, Lane 2: Human MCF-7 cell lysates, Lane 3: Human HeLa cell lysates, Lane 4: Human 293T cell lysates, Lane 5: Human U-2 OS cell lysates, Primary: Anti-HSP22 (orb500003) at 1/1000 dilution, Secondary: IRDye800CW Goat Anti-Mouse IgG at 1/20000 dilution, Predicted band size: 22 kDa, Observed band size: 26 kDa.
Quick Database Links
UniProt Details
−Documents Download
Request a Document
Protocol Information
HSP22 Mouse Monoclonal Antibody (orb500003)
Participating in our Biorbyt product reviews program enables you to support fellow scientists by sharing your firsthand experience with our products.
Login to Submit a Review






