You have no items in your shopping cart.
HSP90B1 Rabbit Polyclonal Antibody
Description
Research Area
Images & Validation
−| Tested Applications | IHC, WB |
|---|---|
| Reactivity | Human |
| Predicted Reactivity | Bovine, Canine, Equine, Guinea pig, Mouse, Rabbit, Rat, Zebrafish |
Key Properties
−| Host | Rabbit |
|---|---|
| Clonality | Polyclonal |
| Immunogen | The immunogen is a synthetic peptide directed towards the N terminal region of human HSP90B1 |
| Target | HSP90B1 |
| Protein Sequence | Synthetic peptide located within the following region: CCVLLTFGSVRADDEVDVDGTVEEDLGKSREGSRTDDEVVQREEEAIQLD |
| Molecular Weight | 40kDa |
| Purification | Protein A purified |
| Conjugation | Unconjugated |
Storage & Handling
−| Storage | Maintain refrigerated at 2-8°C for up to 2 weeks. For long term storage store at -20°C in small aliquots to prevent freeze-thaw cycles. |
|---|---|
| Buffer/Preservatives | Liquid. Purified antibody supplied in 1x PBS buffer with 0.09% (w/v) sodium azide and 2% sucrose. |
| Concentration | 1.0 mg/ml |
| Expiration Date | 12 months from date of receipt. |
| Disclaimer | For research use only |
Alternative Names
−Similar Products
−GRP94 Rabbit Polyclonal Antibody [orb10752]
FC, IF, IHC-Fr, IHC-P, WB
Bovine, Canine, Equine, Gallus, Porcine, Rabbit
Human, Mouse, Rat
Rabbit
Polyclonal
Unconjugated
50 μl, 100 μl, 200 μlGRP94/HSP90B1 Rabbit Polyclonal Antibody [orb315145]
FC, ICC, IF, IHC, WB
Human, Mouse, Rat
Rabbit
Polyclonal
Unconjugated
100 μgEndoplasmin rabbit pAb Antibody [orb765138]
ELISA, IF, IHC, WB
Human, Mouse
Polyclonal
Unconjugated
100 μl, 50 μlHSP90B1 Rabbit Polyclonal Antibody [orb627523]
ELISA, FC, IF, IHC, IP, WB
Human, Mouse, Rat
Rabbit
Polyclonal
Unconjugated
50 μg, 100 μgHSP90B1 Rabbit Polyclonal Antibody [orb577600]
IHC, WB
Bovine, Canine, Equine, Mouse, Porcine, Rabbit, Rat, Yeast, Zebrafish
Human
Rabbit
Polyclonal
Unconjugated
100 μl

Quality Guarantee
Explore bioreagents carefree to elevate your research. All our products are rigorously tested for performance. If a product does not perform as described on its datasheet, our scientific support team will provide expert troubleshooting, a prompt replacement, or a refund. For full details, please see our Terms & Conditions and Buying Guide. Contact us at support@biorbyt.com.

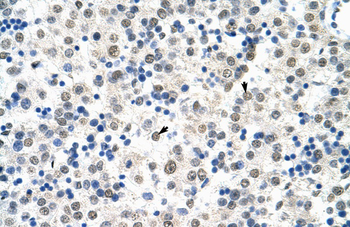
Rabbit Anti-HSP90B1 Antibody, Paraffin Embedded Tissue: Human Liver, Cellular Data: Hepatocytes, Antibody Concentration: 4.0-8.0 ug/ml, Magnification: 400X.

WB Suggested Anti-HSP90B1 Antibody Titration: 1.25 ug/ml, Positive Control: Human Muscle.
Documents Download
Request a Document
Protocol Information
HSP90B1 Rabbit Polyclonal Antibody (orb577601)
Participating in our Biorbyt product reviews program enables you to support fellow scientists by sharing your firsthand experience with our products.
Login to Submit a Review



























