You have no items in your shopping cart.
Hsph1 Rabbit Polyclonal Antibody
Description
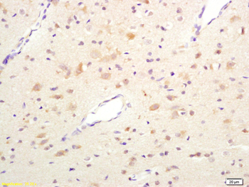
Images & Validation
−| Tested Applications | WB |
|---|---|
| Reactivity | Rat |
| Predicted Reactivity | Bovine, Canine, Equine, Guinea pig, Human, Mouse, Rabbit |
Key Properties
−| Host | Rabbit |
|---|---|
| Clonality | Polyclonal |
| Target | Hsph1 |
| Molecular Weight | 94kDa |
| Purification | Affinity Purified |
| Conjugation | Unconjugated |
Storage & Handling
−| Storage | Maintain refrigerated at 2-8°C for up to 2 weeks. For long term storage store at -20°C in small aliquots to prevent freeze-thaw cycles. |
|---|---|
| Buffer/Preservatives | Liquid. Purified antibody supplied in 1x PBS buffer with 0.09% (w/v) sodium azide and 2% sucrose. |
| Concentration | 0.5 mg/ml |
| Disclaimer | For research use only |
Alternative Names
−Similar Products
−HSPH1 Rabbit Polyclonal Antibody [orb581618]
IHC, WB
Bovine, Canine, Equine, Guinea pig, Mouse, Rabbit, Rat
Human
Rabbit
Polyclonal
Unconjugated
100 μlHSPH1 Antibody [orb627863]
ELISA, IHC, WB
Human, Mouse, Rat
Rabbit
Polyclonal
Unconjugated
100 μg, 50 μgHSP105 Rabbit Polyclonal Antibody [orb10853]
IF, IHC-Fr, IHC-P
Bovine, Canine, Equine, Gallus, Human, Mouse, Porcine
Rat
Rabbit
Polyclonal
Unconjugated
50 μl, 100 μl, 200 μl

Quality Guarantee
Explore bioreagents carefree to elevate your research. All our products are rigorously tested for performance. If a product does not perform as described on its datasheet, our scientific support team will provide expert troubleshooting, a prompt replacement, or a refund. For full details, please see our Terms & Conditions and Buying Guide. Contact us at support@biorbyt.com.

WB Suggested Anti-Hsph1 Antibody, Titration: 1.0 ug/ml, Positive Control: Rat Brain.
Quick Database Links
UniProt Details
−NCBI Reference Sequences
−| Protein | NP_001011901 |
|---|
Documents Download
Request a Document
Hsph1 Rabbit Polyclonal Antibody (orb581619)
Participating in our Biorbyt product reviews program enables you to support fellow scientists by sharing your firsthand experience with our products.
Login to Submit a Review













