You have no items in your shopping cart.
HTR2B Rabbit Polyclonal Antibody
Description
Research Area
Images & Validation
−| Tested Applications | IF, WB |
|---|---|
| Reactivity | Human, Mouse |
| Predicted Reactivity | Bovine, Canine, Equine, Guinea pig, Porcine |
Key Properties
−| Host | Rabbit |
|---|---|
| Clonality | Polyclonal |
| Immunogen | The immunogen is a synthetic peptide directed towards the N terminal region of human HTR2B |
| Target | HTR2B |
| Protein Sequence | Synthetic peptide located within the following region: QTESIPEEMKQIVEEQGNKLHWAALLILMVIIPTIGGNTLVILAVSLEKK |
| Molecular Weight | 54 kDa |
| Purification | Affinity Purified |
| Conjugation | Unconjugated |
Storage & Handling
−| Storage | Maintain refrigerated at 2-8°C for up to 2 weeks. For long term storage store at -20°C in small aliquots to prevent freeze-thaw cycles. |
|---|---|
| Buffer/Preservatives | Liquid. Purified antibody supplied in 1x PBS buffer with 0.09% (w/v) sodium azide and 2% sucrose. |
| Concentration | 0.5 mg/ml |
| Expiration Date | 12 months from date of receipt. |
| Disclaimer | For research use only |
Alternative Names
−Similar Products
−SR-2B rabbit pAb Antibody [orb766367]
ELISA, IF, WB
Human, Mouse, Rat
Polyclonal
Unconjugated
100 μl, 50 μl5HT2B Receptor Rabbit Polyclonal Antibody [orb155532]
IF, IHC-Fr, IHC-P, WB
Human
Rabbit
Polyclonal
Unconjugated
50 μl, 100 μl, 200 μl5-HTR2B Rabbit Polyclonal Antibody [orb11593]
IF, IHC-Fr, IHC-P
Human, Mouse
Rat
Rabbit
Polyclonal
Unconjugated
100 μl, 50 μl, 200 μl5HT2B Receptor/HTR2B Rabbit Polyclonal Antibody [orb312126]
WB
Human, Rat
Rabbit
Polyclonal
Unconjugated
100 μg

Quality Guarantee
Explore bioreagents carefree to elevate your research. All our products are rigorously tested for performance. If a product does not perform as described on its datasheet, our scientific support team will provide expert troubleshooting, a prompt replacement, or a refund. For full details, please see our Terms & Conditions and Buying Guide. Contact us at support@biorbyt.com.

25 ug of the indicated Human whole cell extracts was loaded onto a 12% SDS-PAGE gel. 0.4 ug/ml of the antibody was used in this experiment. In addition to the 54 kDa canonical protein, isoforms of 51 kDa and 50 kDa also contain this peptide. Proteins may be lipidated and/or glycosylated as well.

Sample Tissue: Human 293T Whole Cell, Antibody dilution: 1 ug/ml.

Sample Tissue: Human PANC1 Whole Cell, Antibody dilution: 1 ug/ml.

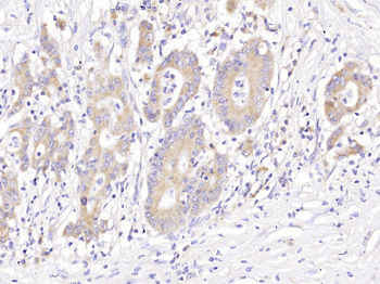
Sample Type: Human Adult Placenta, Antibody dilution: 1.0 ug/ml.

Sample Type: Human Fetal Lung, Antibody dilution: 1.0 ug/ml.

Sample Type: Human Fetal Muscle, Antibody dilution: 1.0 ug/ml.

Immunofluorescence: 1.3 ug/ml.

WB Suggested Anti-HTR2B Antibody Titration: 0.2-1 ug/ml, ELISA Titer: 1:12500, Positive Control: 721_B cell lysate, HTR2B is supported by BioGPS gene expression data to be expressed in 721_B.
Documents Download
Request a Document
Protocol Information
HTR2B Rabbit Polyclonal Antibody (orb573678)
Participating in our Biorbyt product reviews program enables you to support fellow scientists by sharing your firsthand experience with our products.
Login to Submit a Review







