You have no items in your shopping cart.
IGF2BP2 Rabbit Polyclonal Antibody
Description
Research Area
Images & Validation
−| Tested Applications | WB |
|---|---|
| Reactivity | Human |
| Predicted Reactivity | Bovine, Canine, Equine, Guinea pig, Mouse, Rabbit, Rat, Yeast |
Key Properties
−| Host | Rabbit |
|---|---|
| Clonality | Polyclonal |
| Immunogen | The immunogen is a synthetic peptide directed towards the middle region of human IGF2BP2 |
| Target | IGF2BP2 |
| Protein Sequence | Synthetic peptide located within the following region: QANLIPGLNLSALGIFSTGLSVLSPPAGPRGAPPAAPYHPFTTHSGYFSS |
| Molecular Weight | 66kDa |
| Purification | Affinity Purified |
| Conjugation | Unconjugated |
Storage & Handling
−| Storage | Maintain refrigerated at 2-8°C for up to 2 weeks. For long term storage store at -20°C in small aliquots to prevent freeze-thaw cycles. |
|---|---|
| Buffer/Preservatives | Liquid. Purified antibody supplied in 1x PBS buffer with 0.09% (w/v) sodium azide and 2% sucrose. |
| Concentration | 0.5 mg/ml |
| Expiration Date | 12 months from date of receipt. |
| Disclaimer | For research use only |
Alternative Names
−Similar Products
−IGF2-BP2 rabbit pAb Antibody [orb767404]
ELISA, WB
Human, Mouse, Rat
Polyclonal
Unconjugated
100 μl, 50 μlIGF2BP2 Antibody [orb1320112]
ELISA, IF, IHC, WB
Canine, Human, Monkey, Mouse
Rabbit
Polyclonal
Unconjugated
100 μgIGF2BP2 Rabbit Polyclonal Antibody [orb627946]
ELISA, IHC, WB
Human, Mouse
Rabbit
Polyclonal
Unconjugated
50 μg, 100 μg

Quality Guarantee
Explore bioreagents carefree to elevate your research. All our products are rigorously tested for performance. If a product does not perform as described on its datasheet, our scientific support team will provide expert troubleshooting, a prompt replacement, or a refund. For full details, please see our Terms & Conditions and Buying Guide. Contact us at support@biorbyt.com.

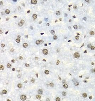
Sample Type: Human Adult Placenta, Antibody Dilution: 1.0 ug/mL.

Sample Type: Human Adult Placenta, Antibody Dilution: 1.0 ug/mL.

Sample Type: Human Fetal Heart, Antibody Dilution: 1.0 ug/mL.

Sample Type: Human Fetal Liver, Antibody Dilution: 1.0 ug/mL.

Sample Type: Human Fetal Lung, Antibody Dilution: 1.0 ug/mL.

WB Suggested Anti-IGF2BP2 Antibody Titration: 0.2-1 ug/mL, ELISA Titer: 1:1562500, Positive Control: HT1080 cell lysate, IGF2BP2 is supported by BioGPS gene expression data to be expressed in HT1080.
Documents Download
Request a Document
IGF2BP2 Rabbit Polyclonal Antibody (orb330141)
Participating in our Biorbyt product reviews program enables you to support fellow scientists by sharing your firsthand experience with our products.
Login to Submit a Review





