You have no items in your shopping cart.
Isocitrate dehydrogenase [NADP] cytoplasmic Antibody
Description
Research Area
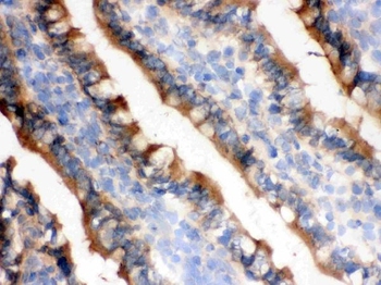
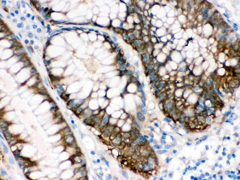
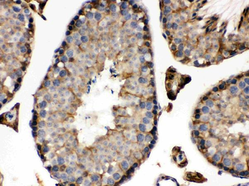
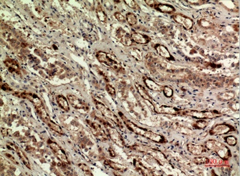
Images & Validation
−![Isocitrate dehydrogenase [NADP] cytoplasmic Antibody](/images/quality_badge_antibodies.png)
| Tested Applications | ICC, IF, IHC, WB |
|---|---|
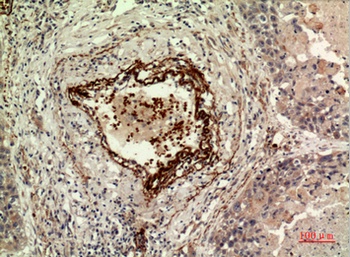
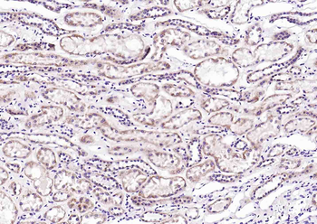
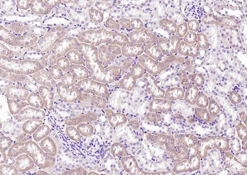
| Dilution range | Western blot, 0.25-0.5 μg/ml, Human Immunohistochemistry(Paraffin-embedded Section), 2-5 μg/ml, Human Immunocytochemistry/Immunofluorescence, 5 μg/ml, Human |
| Reactivity | Human |
Key Properties
−| Antibody Type | Primary Antibody |
|---|---|
| Host | Mouse |
| Clonality | Monoclonal |
| Isotype | Mouse IgG2b |
| Clone No. | 6B4F7 |
| Immunogen | E.coli-derived human MSH2 recombinant protein (Position: Q337-N583). Human MSH2 shares 94% and 93% amino acid (aa) sequence identity with mouse and rat MSH2, respectively. |
| Target | DNA mismatch repair protein Msh2 |
| Molecular Weight | 105 kDa |
| Purification | Immunogen affinity purified. |
| Conjugation | Unconjugated |
Storage & Handling
−| Storage | Maintain refrigerated at 2-8°C for up to 2 weeks. For long term storage store at -20°C in small aliquots to prevent freeze-thaw cycles. |
|---|---|
| Form/Appearance | Lyophilized |
| Buffer/Preservatives | Each vial contains 4 mg Trehalose, 0.9 mg NaCl and 0.2 mg Na2HPO4. |
| Concentration | Adding 0.2 ml of distilled water will yield a concentration of 500 μg/ml. |
| Disclaimer | For research use only |
Alternative Names
−Similar Products
−MSH2 Antibody (monoclonal, 6B4F7) [orb1145866]
ICC, IF, IHC, WB
Human
Mouse
Monoclonal
Unconjugated
100 μgIsocitrate dehydrogenase/IDH1 Antibody [orb312127]
FC, ICC, IF, IHC, IHC-Fr, WB
Human, Mouse, Rat
Rabbit
Polyclonal
Unconjugated
100 μgIDH1 rabbit pAb Antibody [orb767021]
ELISA, IF, IHC, WB
Human, Mouse, Rat
Polyclonal
Unconjugated
100 μlIDH1 Antibody [orb52671]
ELISA, IF, IHC, WB
Human, Mouse, Rat
Rabbit
Polyclonal
Unconjugated
50 μg, 100 μgIDH1 Rabbit Polyclonal Antibody [orb2622]
IF, IHC-Fr, IHC-P, WB
Bovine, Canine, Equine, Porcine, Rabbit, Rat
Human, Mouse
Rabbit
Polyclonal
Unconjugated
50 μl, 200 μl, 100 μl

Quality Guarantee
Explore bioreagents carefree to elevate your research. All our products are rigorously tested for performance. If a product does not perform as described on its datasheet, our scientific support team will provide expert troubleshooting, a prompt replacement, or a refund. For full details, please see our Terms & Conditions and Buying Guide. Contact us at support@biorbyt.com.
Quick Database Links
UniProt Details
−Documents Download
Request a Document
Protocol Information
Isocitrate dehydrogenase [NADP] cytoplasmic Antibody (orb3086120)
Participating in our Biorbyt product reviews program enables you to support fellow scientists by sharing your firsthand experience with our products.
Login to Submit a Review

























