You have no items in your shopping cart.
LC3B Rabbit Polyclonal Antibody
Description
Research Area
Images & Validation
−| Tested Applications | IF, IHC-Fr, IHC-P |
|---|---|
| Dilution Range | IHC-P=1:100-500, IHC-F=1:100-500, IF=1:100-500 |
| Reactivity | Mouse, Rabbit, Rat |
| Predicted Reactivity | Bovine, Canine, Equine, Gallus, Human, Porcine, Zebrafish |
Related Conjugates & Formulations
−Key Properties
−| Antibody Type | Primary Antibody |
|---|---|
| Host | Rabbit |
| Clonality | Polyclonal |
| Isotype | IgG |
| Immunogen | KLH conjugated synthetic peptide derived from human LC3A/B (21-121/121aa) |
| Target | MAP1LC3B |
| Molecular Weight | 13 kDa |
| Purification | Affinity purified by Protein A |
| Conjugation | Unconjugated |
Storage & Handling
−| Storage | Maintain refrigerated at 2-8°C for up to 2 weeks. For long term storage store at -20°C in small aliquots to prevent freeze-thaw cycles. |
|---|---|
| Form/Appearance | Liquid |
| Buffer/Preservatives | 0.01M TBS (pH7.4) with 1% rAlbumin, 0.02% Proclin300 and 50% Glycerol. |
| Concentration | 1mg/ml |
| Expiration Date | 12 months from date of receipt. |
| Disclaimer | For research use only |
Alternative Names
−Similar Products
−LC3B Rabbit Polyclonal Antibody [orb1294361]
IF, IHC, WB
Human, Mouse, Rat
Rabbit
Polyclonal
Unconjugated
100 μl, 25 μlLC3B Rabbit Polyclonal Antibody [orb157782]
WB
Bovine, Gallus, Zebrafish
Human, Mouse, Rat
Rabbit
Polyclonal
Unconjugated
50 μl, 100 μlLC3B Specific Rabbit Polyclonal Antibody [orb395265]
ELISA, IF, IHC, WB
Human, Mouse, Rat
Rabbit
Polyclonal
Unconjugated
50 μg, 100 μgLC3 Rabbit Polyclonal Antibody [orb628393]
ELISA, IF, IHC, IP, WB
Human, Mouse, Rat
Rabbit
Polyclonal
Unconjugated
50 μg, 100 μg

Quality Guarantee
Explore bioreagents carefree to elevate your research. All our products are rigorously tested for performance. If a product does not perform as described on its datasheet, our scientific support team will provide expert troubleshooting, a prompt replacement, or a refund. For full details, please see our Terms & Conditions and Buying Guide. Contact us at support@biorbyt.com.

Paraformaldehyde-fixed, paraffin embedded (Mouse brain), Antigen retrieval by microwave in sodium citrate buffer (pH6.0), Block endogenous peroxidase by 3% hydrogen peroxide for 30 minutes, Blocking buffer (3% BSA) at RT for 30 min, Antibody incubation with (LC3B) Polyclonal Antibody, Unconjugated (orb6295) at 1:400 overnight at 4°C, followed by conjugation to the secondary antibody (labeled with HRP) and DAB staining.

Paraformaldehyde-fixed, paraffin embedded (Rabbit brain), Antigen retrieval by boiling in sodium citrate buffer (pH6.0) for 15 min, Block endogenous peroxidase by 3% hydrogen peroxide for 20 minutes, Blocking buffer (normal goat serum) at 37°C for 30 min, Antibody incubation with (LC3B) Polyclonal Antibody, Unconjugated (orb6295) at 1:400 overnight at 4°C, followed by operating according to SP Kit (Rabbit) instructionsand DAB staining.

Paraformaldehyde-fixed, paraffin embedded (Rat brain), Antigen retrieval by microwave in sodium citrate buffer (pH6.0), Block endogenous peroxidase by 3% hydrogen peroxide for 30 minutes, Blocking buffer (3% BSA) at RT for 30 min, Antibody incubation with (LC3B) Polyclonal Antibody, Unconjugated (orb6295) at 1:400 overnight at 4°C, followed by conjugation to the secondary antibody (labeled with HRP) and DAB staining.

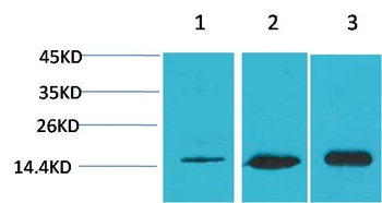
Sample: Lane 1: Recombinant human LC3B protein, N-His, Primary: Anti-LC3B (orb6295) at 1/1000 dilution, Secondary: IRDye800CW Goat Anti-Rabbit IgG at 1/20000 dilution, Predicted band size: 13 kDa, Observed band size: 15 kDa.
Quick Database Links
UniProt Details
−Documents Download
Request a Document
Protocol Information
LC3B Rabbit Polyclonal Antibody (orb6295)
Participating in our Biorbyt product reviews program enables you to support fellow scientists by sharing your firsthand experience with our products.
Login to Submit a Review



















