You have no items in your shopping cart.
MAF Rabbit Polyclonal Antibody
Description
Research Area
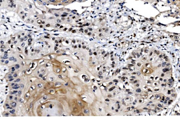
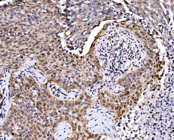
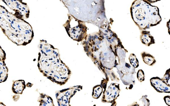
Images & Validation
−| Tested Applications | IHC, WB |
|---|---|
| Reactivity | Human |
| Predicted Reactivity | Bovine, Canine, Equine, Guinea pig, Mouse, Porcine, Rabbit, Rat, Zebrafish |
Key Properties
−| Host | Rabbit |
|---|---|
| Clonality | Polyclonal |
| Immunogen | The immunogen is a synthetic peptide directed towards the N terminal region of human MAF |
| Target | MAF |
| Protein Sequence | Synthetic peptide located within the following region: MASELAMSNSDLPTSPLAMEYVNDFDLMKFEVKKEPVETDRIISQCGRLI |
| Molecular Weight | 38kDa |
| Purification | Affinity Purified |
| Conjugation | Unconjugated |
Storage & Handling
−| Storage | Maintain refrigerated at 2-8°C for up to 2 weeks. For long term storage store at -20°C in small aliquots to prevent freeze-thaw cycles. |
|---|---|
| Buffer/Preservatives | Liquid. Purified antibody supplied in 1x PBS buffer with 0.09% (w/v) sodium azide and 2% sucrose. |
| Concentration | 0.5 mg/ml |
| Expiration Date | 12 months from date of receipt. |
| Disclaimer | For research use only |
Alternative Names
−Similar Products
−IFN gamma Rabbit Polyclonal Antibody [orb501002]
FC, ICC, WB
Mouse, Rat
Human
Rabbit
Polyclonal
Unconjugated
100 μl, 50 μlC-Maf Rabbit Polyclonal Antibody [orb499589]
IF, IHC-Fr, IHC-P
Mouse, Rat
Human, Mouse, Rat
Rabbit
Polyclonal
Unconjugated
100 μl, 200 μl, 50 μlMAFF Rabbit Polyclonal Antibody [orb763130]
ELISA, FC, ICC, IF, IHC, WB
Human
Rabbit
Polyclonal
Unconjugated
100 μgc-Maf rabbit pAb Antibody [orb764882]
ELISA, WB
Human, Mouse, Rat
Polyclonal
Unconjugated
100 μl, 50 μl

Quality Guarantee
Explore bioreagents carefree to elevate your research. All our products are rigorously tested for performance. If a product does not perform as described on its datasheet, our scientific support team will provide expert troubleshooting, a prompt replacement, or a refund. For full details, please see our Terms & Conditions and Buying Guide. Contact us at support@biorbyt.com.

25 ug of the indicated Human whole cell extracts was loaded onto a 12% SDS-PAGE gel. 0.3 ug/ml of the antibody was used in this experiment. The protein may be modified by glycosylation.

WB Suggested Anti-MAF Antibody Titration: 0.2-1 ug/ml, ELISA Titer: 1:1562500, Positive Control: Hela cell lysate.

Quick Database Links
UniProt Details
−NCBI Reference Sequences
−| Protein | NP_001026974 |
|---|
Documents Download
Request a Document
Protocol Information
MAF Rabbit Polyclonal Antibody (orb576760)
Participating in our Biorbyt product reviews program enables you to support fellow scientists by sharing your firsthand experience with our products.
Login to Submit a Review






























