You have no items in your shopping cart.
MCP3 Rabbit Polyclonal Antibody
Description
Images & Validation
−| Tested Applications | IF, IHC-Fr, IHC-P |
|---|---|
| Dilution Range | IHC-P=1:100-500, IHC-F=1:100-500, IF=1:100-500 |
| Reactivity | Rat |
| Predicted Reactivity | Mouse |
Related Conjugates & Formulations
−Key Properties
−| Antibody Type | Primary Antibody |
|---|---|
| Host | Rabbit |
| Clonality | Polyclonal |
| Isotype | IgG |
| Immunogen | KLH conjugated synthetic peptide derived from mouse MCP-3 (24-97/97aa) |
| Target | CCL7 |
| Molecular Weight | 11 kDa |
| Purification | Affinity purified by Protein A |
| Conjugation | Unconjugated |
Storage & Handling
−| Storage | Maintain refrigerated at 2-8°C for up to 2 weeks. For long term storage store at -20°C in small aliquots to prevent freeze-thaw cycles. |
|---|---|
| Form/Appearance | Liquid |
| Buffer/Preservatives | 0.01M TBS (pH7.4) with 1% rAlbumin, 0.02% Proclin300 and 50% Glycerol. |
| Concentration | 1mg/ml |
| Expiration Date | 12 months from date of receipt. |
| Disclaimer | For research use only |
Alternative Names
−Similar Products
−CCL7 Rabbit Polyclonal Antibody [orb573687]
IHC, WB
Equine, Porcine
Human
Rabbit
Polyclonal
Unconjugated
100 μlCCL7/MCP-3 Rabbit Polyclonal Antibody [orb2955010]
ELISA, IHC, WB
Human
Rabbit
Polyclonal
Unconjugated
50 μg, 100 μgCCL7 Rabbit Polyclonal Antibody [orb235062]
IF, WB
Human, Monkey
Rabbit
Polyclonal
Unconjugated
30 μl, 100 μl, 200 μl, 50 μl

Quality Guarantee
Explore bioreagents carefree to elevate your research. All our products are rigorously tested for performance. If a product does not perform as described on its datasheet, our scientific support team will provide expert troubleshooting, a prompt replacement, or a refund. For full details, please see our Terms & Conditions and Buying Guide. Contact us at support@biorbyt.com.

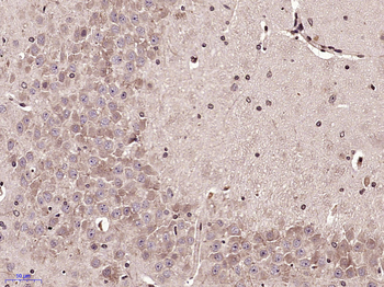
Paraformaldehyde-fixed, paraffin embedded (Rat brain), Antigen retrieval by microwave in sodium citrate buffer (pH6.0), Block endogenous peroxidase by 3% hydrogen peroxide for 30 minutes, Blocking buffer (3% BSA) at RT for 30 min, Antibody incubation with (MCP3) Polyclonal Antibody, Unconjugated (orb13567) at 1:400 overnight at 4°C, followed by conjugation to the secondary antibody (labeled with HRP) and DAB staining.
Quick Database Links
Documents Download
Request a Document
Protocol Information
Longobardi, L. et al. Role of the C-C chemokine receptor-2 in a murine model of injury-induced osteoarthritis Osteoarthritis Cartilage, 25, 914-925 (2017)
MCP3 Rabbit Polyclonal Antibody (orb13567)
Participating in our Biorbyt product reviews program enables you to support fellow scientists by sharing your firsthand experience with our products.
Login to Submit a Review






