You have no items in your shopping cart.
MCPIP1 Rabbit Polyclonal Antibody
Description
Research Area
Images & Validation
−| Tested Applications | FC, WB |
|---|---|
| Dilution Range | WB=1:500-2000, Flow-Cyt=1ug/Test |
| Reactivity | Human, Mouse |
| Predicted Reactivity | Bovine, Canine, Equine, Gallus, Rabbit, Rat |
Related Conjugates & Formulations
−Key Properties
−| Antibody Type | Primary Antibody |
|---|---|
| Host | Rabbit |
| Clonality | Polyclonal |
| Isotype | IgG |
| Immunogen | KLH conjugated synthetic peptide derived from human MCPIP1 (201-300/599aa) |
| Target | ZC3H12A |
| Molecular Weight | 66 kDa |
| Purification | Affinity purified by Protein A |
| Conjugation | Unconjugated |
Storage & Handling
−| Storage | Maintain refrigerated at 2-8°C for up to 2 weeks. For long term storage store at -20°C in small aliquots to prevent freeze-thaw cycles. |
|---|---|
| Form/Appearance | Liquid |
| Buffer/Preservatives | 0.01M TBS (pH7.4) with 1% rAlbumin, 0.02% Proclin300 and 50% Glycerol. |
| Concentration | 1mg/ml |
| Disclaimer | For research use only |
Alternative Names
−Similar Products
−MCPIP1/ZC3H12A Rabbit Polyclonal Antibody [orb669149]
ELISA, FC, ICC, IF, IHC, WB
Human, Mouse, Rat
Rabbit
Polyclonal
Unconjugated
100 μgMCPIP1 Rabbit Polyclonal Antibody (FITC) [orb102987]
FC
Bovine, Canine, Equine, Gallus, Rabbit, Rat
Human, Mouse
Rabbit
Polyclonal
FITC
100 μlZC3H12A Antibody [orb632693]
ELISA, IHC, IP, WB
Human, Mouse
Rabbit
Polyclonal
Unconjugated
50 μg, 100 μgZC3H12A Rabbit Polyclonal Antibody [orb77701]
ELISA, WB
Mouse, Rat
Human
Rabbit
Polyclonal
Unconjugated
100 μg

Quality Guarantee
Explore bioreagents carefree to elevate your research. All our products are rigorously tested for performance. If a product does not perform as described on its datasheet, our scientific support team will provide expert troubleshooting, a prompt replacement, or a refund. For full details, please see our Terms & Conditions and Buying Guide. Contact us at support@biorbyt.com.

k control (Black line): Hela (Black). Primary Antibody (green line): Rabbit Anti-MCPIP1 antibody (orb100504), Dilution: 1 µg/10^6 cells, Isotype Control Antibody (orange line): Rabbit IgG. Secondary Antibody (white blue line): Goat anti-rabbit IgG-AF647, Dilution: 1 µg/test. Protocol, The cells were fixed with 4% PFA (10 min at room temperature) and then permeabilized with 90% ice-cold methanol for 20 min at room temperature. The cells were then incubated in 5% BSA to block non-specific protein-protein interactions for 30 min at -20℃. Cells stained with Primary Antibody for 30 min at room temperature. The secondary antibody used for 40 min at room temperature. Acquisition of 20000 events was performed.

Sample: Lane 1: Mouse Raw264.7 cell lysates, Lane 2: Mouse Raw264.7 (LPS) cell lysates, Lane 3: Human HeLa cell lysates, Lane 4: Human HepG2 cell lysates, Primary: Anti-MCPIP1 (orb100486) at 1/1000 dilution, Secondary: IRDye800CW Goat Anti-Rabbit IgG at 1/20000 dilution, Predicted band size: 66 kDa, Observed band size: 60 kDa.
Quick Database Links
UniProt Details
−Documents Download
Request a Document
Protocol Information
MCPIP1 Rabbit Polyclonal Antibody (orb100486)
Participating in our Biorbyt product reviews program enables you to support fellow scientists by sharing your firsthand experience with our products.
Login to Submit a Review




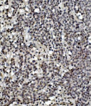
![ZC3H12A antibody [N3C3]](/images/pub/media/catalog/product/z/c/zc3h12a-antibody_orb556718_ifa_1.jpg)
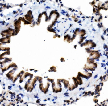
![ZC3H12A antibody [N3C3]](/images/pub/media/catalog/product/z/c/zc3h12a-antibody_orb556718_ihc-p_1.jpg)
![ZC3H12A antibody [N3C3]](/images/pub/media/catalog/product/z/c/zc3h12a-antibody_orb556718_wb_1.jpg)
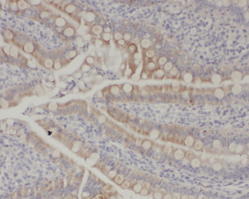
![ZC3H12A antibody [N3C3]](/images/pub/media/catalog/product/c/y/cyfip2-antibody_orb556719_wb_1.jpg)






