You have no items in your shopping cart.
MDM2 Rabbit Polyclonal Antibody
Description
Research Area
Images & Validation
−| Tested Applications | WB |
|---|---|
| Reactivity | Human |
| Predicted Reactivity | Human |
Key Properties
−| Host | Rabbit |
|---|---|
| Clonality | Polyclonal |
| Immunogen | The immunogen is a synthetic peptide directed towards the middle region of Human MDM2 |
| Target | MDM2 |
| Molecular Weight | 55 kDa |
| Purification | Affinity purified |
| Conjugation | Unconjugated |
Storage & Handling
−| Storage | Maintain refrigerated at 2-8°C for up to 2 weeks. For long term storage store at -20°C in small aliquots to prevent freeze-thaw cycles. |
|---|---|
| Buffer/Preservatives | Liquid. Purified antibody supplied in 1x PBS buffer with 0.09% (w/v) sodium azide and 2% sucrose. |
| Concentration | 0.5 mg/ml |
| Disclaimer | For research use only |
Alternative Names
−Similar Products
−Phospho-MDM2 (Thr218) Rabbit Polyclonal Antibody [orb6405]
FC, IF, IHC-Fr, IHC-P
Bovine, Canine, Equine
Human, Mouse, Rat
Rabbit
Polyclonal
Unconjugated
50 μl, 100 μl, 200 μlMDM2 (phospho Ser166) rabbit pAb Antibody [orb769084]
ELISA, IF, IHC, WB
Human, Monkey, Mouse
Polyclonal
Unconjugated
100 μl, 50 μlMDM2 rabbit pAb Antibody [orb765639]
ELISA, IF, IHC, WB
Human, Monkey, Mouse
Polyclonal
Unconjugated
100 μl, 50 μlMDM2 rabbit pAb Antibody [orb766791]
ELISA, IF, IHC, WB
Human, Mouse, Rat
Polyclonal
Unconjugated
100 μl, 50 μl

Quality Guarantee
Explore bioreagents carefree to elevate your research. All our products are rigorously tested for performance. If a product does not perform as described on its datasheet, our scientific support team will provide expert troubleshooting, a prompt replacement, or a refund. For full details, please see our Terms & Conditions and Buying Guide. Contact us at support@biorbyt.com.

25 ug of the indicated Human whole cell extracts was loaded onto a 12% SDS-PAGE gel. 1 ug/ml of the antibody was used in this experiment.

Sample Type: Fetal Kidney lysates, Antibody Dilution: 1.0 ug/ml.

MDM2 was immunoprecipitated from 1 mg HEK293 Whole Cell Lysate with orb588417 with 1:200 dilution. Western blot was performed using orb588417 at 1/1000 dilution, Lane 1: Control IP in HEK293 Whole Cell Lysate, Lane 2: MDM2 IP with orb588417 in HEK293 Whole Cell Lysate, Lane 3: Input of HEK293 Whole Cell Lysate.

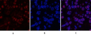
Rabbit Anti-MDM2 Antibody, Catalog Number: orb588417, Formalin Fixed Paraffin Embedded Tissue: Human Lymph Node Tissue, Observed Staining: Cytoplasm, Primary Antibody Concentration: 1:100, Other Working Concentrations: N/A, Secondary Antibody: Donkey anti-Rabbit-Cy3, Secondary Antibody Concentration: 1:200, Magnification: 20X, Exposure Time: 0.5-2.0 sec.
Quick Database Links
UniProt Details
−Documents Download
Request a Document
MDM2 Rabbit Polyclonal Antibody (orb588417)
Participating in our Biorbyt product reviews program enables you to support fellow scientists by sharing your firsthand experience with our products.
Login to Submit a Review


























