You have no items in your shopping cart.
MEK2 Mouse Monoclonal Antibody
Description
Research Area
Images & Validation
−| Tested Applications | IF, IHC-Fr, IHC-P, WB |
|---|---|
| Dilution Range | WB=1:1000-2000, IHC-P=1:200-1000, IHC-F=1:200-1000, IF=1:100-500 |
| Reactivity | Human, Mouse, Rat |
| Predicted Reactivity | Mouse, Rat |
Related Conjugates & Formulations
−Key Properties
−| Antibody Type | Primary Antibody |
|---|---|
| Host | Mouse |
| Clonality | Monoclonal |
| Isotype | IgG |
| Clone No. | 4C3 |
| Immunogen | Recombinant human MEK2 Protein (1-171/400aa) |
| Target | MAP2K2 |
| Molecular Weight | 46 kDa |
| Purification | Affinity purified by Protein G |
| Conjugation | Unconjugated |
Storage & Handling
−| Storage | Maintain refrigerated at 2-8°C for up to 2 weeks. For long term storage store at -20°C in small aliquots to prevent freeze-thaw cycles. |
|---|---|
| Form/Appearance | Liquid |
| Buffer/Preservatives | 0.01M TBS (pH7.4) with 1% rAlbumin, 0.02% Proclin300 and 50% Glycerol. |
| Concentration | 1mg/ml |
| Expiration Date | 12 months from date of receipt. |
| Disclaimer | For research use only |
Alternative Names
−Similar Products
−MEK2/MAP2K2 Mouse Monoclonal Antibody [orb738483]
FC, ICC, IF, IHC, WB
Human, Mouse, Rat
Mouse
Monoclonal
Unconjugated
100 μgMEK2/MAP2K2 Mouse Monoclonal Antibody [orb738482]
FC, ICC, IF, WB
Human, Mouse, Rat
Mouse
Monoclonal
Unconjugated
100 μg

Quality Guarantee
Explore bioreagents carefree to elevate your research. All our products are rigorously tested for performance. If a product does not perform as described on its datasheet, our scientific support team will provide expert troubleshooting, a prompt replacement, or a refund. For full details, please see our Terms & Conditions and Buying Guide. Contact us at support@biorbyt.com.

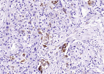
Paraformaldehyde-fixed, paraffin embedded (Human brain glioma), Antigen retrieval by boiling in sodium citrate buffer (pH6.0) for 15 min, Block endogenous peroxidase by 3% hydrogen peroxide for 20 minutes, Blocking buffer (normal goat serum) at 37°C for 30 min, Antibody incubation with (MEK2) Monoclonal Antibody, Unconjugated (ascites of orb499566 4C3) at 1:2000 overnight at 4°C, followed by operating according to SP Kit (Mouse) instructions and DAB staining.

Paraformaldehyde-fixed, paraffin embedded (Human brain glioma), Antigen retrieval by boiling in sodium citrate buffer (pH6.0) for 15 min, Block endogenous peroxidase by 3% hydrogen peroxide for 20 minutes, Blocking buffer (normal goat serum) at 37°C for 30 min, Antibody incubation with (MEK2) Monoclonal Antibody, Unconjugated (orb499566) at 1:400 overnight at 4°C, followed by operating according to SP Kit (Mouse) instructionsand DAB staining.

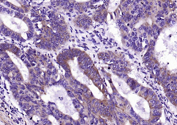
Paraformaldehyde-fixed, paraffin embedded (Human colon cancer), Antigen retrieval by boiling in sodium citrate buffer (pH6.0) for 15 min, Block endogenous peroxidase by 3% hydrogen peroxide for 20 minutes, Blocking buffer (normal goat serum) at 37°C for 30 min, Antibody incubation with (MEK2) Monoclonal Antibody, Unconjugated (ascites of orb499566 4C3) at 1:2000 overnight at 4°C, followed by operating according to SP Kit (Mouse) instructions and DAB staining.

Paraformaldehyde-fixed, paraffin embedded (human colon carcinoma), Antigen retrieval by boiling in sodium citrate buffer (pH6.0) for 15 min, Block endogenous peroxidase by 3% hydrogen peroxide for 20 minutes, Blocking buffer (normal goat serum) at 37°C for 30 min, Antibody incubation with (MEK2) Monoclonal Antibody, Unconjugated (ascites of orb499566 4C3) at 1:2000 overnight at 4°C, followed by operating according to SP Kit (Mouse) instructions and DAB staining.

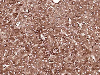
Paraformaldehyde-fixed, paraffin embedded (Human liver carcinoma), Antigen retrieval by boiling in sodium citrate buffer (pH6.0) for 15 min, Block endogenous peroxidase by 3% hydrogen peroxide for 20 minutes, Blocking buffer (normal goat serum) at 37°C for 30 min, Antibody incubation with (MEK2) Monoclonal Antibody, Unconjugated (orb499566) at 1:400 overnight at 4°C, followed by operating according to SP Kit (Mouse) instructionsand DAB staining.

Paraformaldehyde-fixed, paraffin embedded (human skin cancer), Antigen retrieval by boiling in sodium citrate buffer (pH6.0) for 15 min, Block endogenous peroxidase by 3% hydrogen peroxide for 20 minutes, Blocking buffer (normal goat serum) at 37°C for 30 min, Antibody incubation with (MEK2) Monoclonal Antibody, Unconjugated (ascites of orb499566 4C3) at 1:2000 overnight at 4°C, followed by operating according to SP Kit (Mouse) instructions and DAB staining.

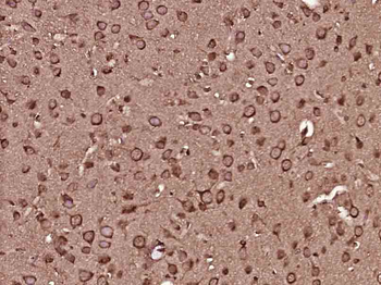
Paraformaldehyde-fixed, paraffin embedded (Mouse brain), Antigen retrieval by boiling in sodium citrate buffer (pH6.0) for 15 min, Block endogenous peroxidase by 3% hydrogen peroxide for 20 minutes, Blocking buffer (normal goat serum) at 37°C for 30 min, Antibody incubation with (MEK2) Monoclonal Antibody, Unconjugated at 1:400 overnight at 4°C, followed by a conjugated secondary for 20 minutes and DAB staining.

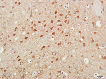
Paraformaldehyde-fixed, paraffin embedded (rat brain), Antigen retrieval by boiling in sodium citrate buffer (pH6.0) for 15 min, Block endogenous peroxidase by 3% hydrogen peroxide for 20 minutes, Blocking buffer (normal goat serum) at 37°C for 30 min, Antibody incubation with (MEK2) Monoclonal Antibody, Unconjugated (ascites of orb499566 4C3) at 1:2000 overnight at 4°C, followed by operating according to SP Kit (Mouse) instructions and DAB staining.

Paraformaldehyde-fixed, paraffin embedded (Rat brain), Antigen retrieval by boiling in sodium citrate buffer (pH6.0) for 15 min, Block endogenous peroxidase by 3% hydrogen peroxide for 20 minutes, Blocking buffer (normal goat serum) at 37°C for 30 min, Antibody incubation with (MEK2) Monoclonal Antibody, Unconjugated (orb499566) at 1:400 overnight at 4°C, followed by operating according to SP Kit (Mouse) instructionsand DAB staining.

Sample: HepG2 Cell (Human) Lysate at 40 ug, Primary: Anti-MEK2 (orb499566) at 1/2 000 dilution, Secondary: IRDye800CW Goat Anti-Mouse IgG at 1/20000 dilution, Predicted band size: 46 kD, Observed band size: 48 kD.

Sample: Lane 1: Human Hela cell lysates, Lane 2: Human 293T cell lysates, Lane 3: Human MCF-7 cell lysates, Lane 4: Human U937 cell lysates, Lane 5: Human MOLT-4 cell lysates, Primary: Anti-MEK2 (orb499566) at 1/1000 dilution, Secondary: IRDye800CW Goat Anti-Mouse IgG at 1/20000 dilution, Predicted band size: 46 kDa, Observed band size: 46 kDa.
Quick Database Links
UniProt Details
−Documents Download
Request a Document
Protocol Information
MEK2 Mouse Monoclonal Antibody (orb499566)
Participating in our Biorbyt product reviews program enables you to support fellow scientists by sharing your firsthand experience with our products.
Login to Submit a Review










